
结合《克罗恩病内镜治疗的原则、准备及技术(上)》更好看奥!
来源:医学界消化频道(CCCF—IBD学习驿站出品)
翻译:上海国际医学中心 夏璐
Endoscopic Therapy in Crohn’s disease: Principle, Preparation and Technique Min Chen, Bo Shen
文章来源:Inflmm Bowel Dis 2015; 21: 2222-2240
服用抗凝药物(如华法林和肝素)、抗血小板药物(如阿司匹林和NSAIDS药物)或噻吩吡啶类药物(氯吡格雷和噻氯匹定)的患者,如抗血栓药物为短期使用,可考虑择期内镜治疗,延期至患者不需要抗血栓治疗后再进行,如果患者需长期抗血栓治疗而内镜治疗又不能延后,则需对患者术前的抗血栓治疗进行个体化调整。美国胃肠病学会建议阿司匹林和NSAIDS药物可在内镜治疗期间持续使用,患者如服用噻吩吡啶类药物或华法林,高血栓并发症风险者可更换为阿司匹林或肝素(肝素窗),低分险者可在术前停药5-10天。如患者术后出血的风险低,可立即重新开始抗血栓治疗。因此,针对每例患者均应进行评估以均衡利弊,必要时内镜医师还应与患者的心脏科医生讨论具体用药方案。
克罗恩病内镜治疗的技术
狭窄及瘘管是克罗恩病(CD)的常见并发症,CD狭窄的主要内镜治疗方式是球囊扩张和针刀狭窄切开术,CD相关性瘘管的内镜治疗方式包括局部注射、内镜夹瘘管闭合术及瘘管切开术。
狭窄的球囊扩张EBD
即时的扩张成功(immediate technical success)定义为内镜可无阻力通过所治疗的狭窄部,EBD可达到45-97%的成功率,并且大多数患者在随访中不需手术治疗。

图4. 选择合适的内镜和球囊。 (A 和B) 比较常规胃镜和肠镜的管径和屈曲度。 (C) 比较内镜球囊:有导丝的短球囊和无导丝的长球囊
1. 顺向或逆向扩张狭窄
EBD是内镜治疗CD狭窄的主要方式,使用最多的是经内镜水压性球囊。两种治疗方式顺向及逆向法分别对应于可通过的及不可通过的狭窄。如内镜可通过狭窄部,球囊则可在内镜直视下送入,并随内镜后退而退后在狭窄部充盈扩张。如为严重狭窄或成角狭窄,内镜不能通过者,可用导丝交换技术(顺向方式),内镜医生稳定持镜,内镜护士向狭窄口送入导丝,如导丝传送无抵抗,可将球囊向前推入,同时护士退后导丝,在狭窄部位完成交换,如球囊顺利通过狭窄部,导丝需再次向前推送至越过球囊头端,这一动作有助于预防球囊头端造成肠壁损伤进一步引起穿孔的风险,尤其是短球囊在狭窄部位充盈后较易向前方滑动。(图5B)

图5. 球囊顺向或逆向扩张狭窄。 (A) 逆向方式: 内镜在球囊引导下通过狭窄部,内镜退回,在狭窄部位充盈球囊。 (B) 顺向方式: 不需要退回内镜,内镜对准严重狭窄的开口部位使用球囊内的导引钢丝通过狭窄部位,用导丝交换技术(一边拉出导丝一边送入球囊)
2. 是否需要X线透视辅助
临床一般需要在透视辅助下行球囊扩张术,透视有助于勾勒狭窄病灶的形态以及球囊的方位,当然射线也将患者及医护人员均暴露在辐射中。在我们中心一般不需要在透视辅助下进行治疗,即便是内镜不能通过的重度或成角狭窄。
3. 大口径或小口径球囊
治疗CD狭窄的球囊有多种直径规格,在一项包含了13项研究、347例CD患者的荟萃分析中,球囊的最大径(18-25 mm)与操作的即时成功率(内镜可当即无阻力通过狭窄部)无关,与长期随访的预后也无关(即在随访期不需要再次扩张或手术治疗)。然而,直径大于25 mm的球囊却可能造成更多穿孔的并发症。我们的IBD中心对原发或吻合口的狭窄一般使用18-20 mm的球囊。
4.是否需分级扩张
目前对是否需分级扩张及扩张时间均无共识性意见,为减少穿孔的风险,我们常规以多步骤的方式进行扩张,从18 mm直径开始,逐步过渡到更大的扩张直径,球囊充盈的时间由狭窄程度决定,一般维持5-20秒。
5. 短球囊或长球囊
球囊有5.5 cm和8 cm两种长度,选择何种球囊取决于狭窄的长度及性质。短球囊的优点包括:①易于从内镜工作钳道推送;②可以通过小儿肠镜到达空肠、回肠及近端结肠的深部狭窄; ③往往配备导丝,可使用导丝交换的顺向技术治疗重度狭窄。短球囊的主要缺点是难以确保球囊越过了狭窄部,尤其是较长的狭窄,因此可能导致球囊向前或向后滑动。内镜医师可能会有拇指及食指握着“湿的西瓜籽”一样的感觉,球囊向前的滑动可能导致肠壁损伤,因此我们常规在球囊充盈的时候将导丝留在球囊头端以远以避免尖锐的球囊头端损伤到肠壁。长球囊的主要优点是可用于治疗较长的狭窄,但长球囊往往不配备导丝。(图4C)
6.扩张后再次内镜探查
在扩张治疗后我们往往需要再一次观察病灶,其作用主要在判断EBD是否成功、有无并发症发生(PAC,主要指出血及穿孔),并且要判断近侧肠段是否还有需要治疗的狭窄,当然也要防范由于再次内镜探查造成的肠道损伤。
7. 病灶内类固醇注射
狭窄的扩张治疗造成纤维组织的破裂,这一情况可能进一步引发局部的炎症和纤维化,从而导致狭窄复发。为维持长期疗效、预防狭窄复发,一些内镜医师主张在CD狭窄的EBD治疗后在病灶内注射长效皮质激素,然而,在扩张前或扩张后注射皮质激素是否能改善临床预后目前还有争议,我们的体会是病灶内皮质激素注射并不能进一步改善疗效,因此在2005年后这一方法在我们中心已不再使用。
8. 狭窄部位是否需要活检
在初次或诊断性内镜操作中,原发狭窄一般均需活检以排除恶性梗阻,因恶性病灶行肠段切除术后的CD吻合口狭窄或EBD及针刀治疗后的复发性吻合口狭窄也需活检,然而组织病理学结果对判断炎性或纤维性狭窄并无价值。
9. 远端肠道和肛管狭窄
肛直肠区域富含神经,当在此处进行治疗往往会造成患者的剧烈疼痛,在前壁还有前列腺、阴道等生殖器官及其神经,因此远端直肠、远端储袋和肛管区域的操作对内镜医师是巨大的挑战。内镜医生必须对局部解剖非常熟悉,患者左侧卧位、内镜取直时方向如图6所示,前侧壁在4-5点方向,后侧壁在10-11点方向。
EBD或探条扩张可造成远端肠道前壁及邻近器官不可预知的压力伤,导致直肠膀胱瘘和直肠阴道瘘。EBD和探条造成的撕裂是盲目不可控的,与之相反,针刀治疗可以克服这一缺点,可精准地在靶向部位实施治疗(图7),为确保治疗安全,内镜针刀狭窄切开术必须在肠道后壁邻近骶前的部位进行,如在前壁进行针刀治疗则可能会损伤阴道或前列腺(图6C)。
药物治疗远端肠道及肛管直肠的炎症非常重要,可以使狭窄部位更趋于纤维化并减少炎性相关的治疗后出血。EBD治疗应该更为谨慎,女性患者应选用直径较小的球囊(如16-18mm)以防止发生直肠阴道瘘或储袋阴道瘘。可在术前局部使用利多卡因以减少不适。为尽量减少肛管及括约肌受损,在治疗远端直肠的狭窄时应在内镜远端及球囊近侧段之间预留一个开放空间。可使用透明帽减少肛管收缩造成的视野干扰。


图6. 下消化道内镜的定向: 患者取左侧卧位,内镜医师镜身取直。 红点: 远端肠道的腔道。 (A) 远端肠道前侧壁,在五点方向有阴道瘘开口 (绿色箭头). (B) 远端肠道的后侧壁,在11点方向有骶前吻合口漏(绿色箭头). (C)在远端肠道后侧壁的11点方向行针刀狭窄切开术。

图7. 狭窄的治疗: 球囊扩张及针刀狭窄切开术。 (A 和B) 球囊扩张造成的深度撕裂- 较难控制深度及部位。 (C 和D) 针刀治疗前后对比- 深度和部位均在可控范围之内。
10. 回结肠吻合口狭窄
回结肠切除是CD患者最常进行的手术治疗,术后一般有端-侧回结肠吻合口(ICA)。从ICA插镜一般比较困难,因为ICA的开口可能是侧向的视野。倒镜或90度技术有助于插镜及扩张ICA狭窄。可使用小儿肠镜,倒转及钩拉镜身进入ICA狭窄部(图8)。端侧的ICA与新的末端回肠之间90度成角,使得我们需要使用90度技术进行操作。90度技术可在顺向或逆向的方式下治疗各种成角狭窄,尤其是ICA狭窄,当球囊置入越过了狭窄部,内镜医师在推送球囊的同时退回肠镜,使球囊和球囊导管形成90度的角度(图9)。


图8. 回结肠吻合口狭窄: 内镜倒转技术。 (A) 吻合口狭窄的前视图。 (B) 吻合口狭窄倒镜时的视野。 (C) 球囊通过狭窄部。 (D) 在狭窄部位充盈球囊。 (E) 倒镜技术行回结肠吻合口狭窄球囊扩张的示意图。


图9. 回结肠吻合口狭窄的扩张: 90度技术。 (A)球囊通过狭窄部。 (B)在狭窄部位充盈球囊。 (C) 90度技术行回结肠吻合口狭窄球囊扩张治疗的示意图。
11. 复发瘘管处的狭窄
肠内瘘一般与肠道狭窄相关,比如CD相关的回肠-乙结肠瘘(ISF)经常合并末端回肠的重度狭窄,此狭窄一般远离ISF的回肠开口处,与ISF相关的狭窄是否需要扩张治疗取决于狭窄和瘘管的距离,如果ISF位于狭窄近侧端,其开口和狭窄距离大于5 cm,可进行内镜扩张治疗,这样可以有助于引流并关闭瘘管(图10A),但是如狭窄和瘘道开口或复发性的脓肿距离小于5 cm则不能行内镜治疗,否则可能因为破坏瘘道造成肠道穿孔(图10B)。

图 10. 与复发性回乙结肠瘘相关的狭窄。 (A)如狭窄与瘘道开口距离大于5cm,狭窄可进行球囊扩张治疗。 (B) 如距离小于5cm应避免EBD治疗。
CD的针刀治疗
针刀一般用于ERCP术的乳头肌预切开,也可用于上消化道狭窄的治疗。两项治疗CD并发症的新技术,包括针刀狭窄切开术和窦道切开术均由作者首先报道(B.S.)。
1.内镜针刀成形术
针刀狭窄切开术可用于回结肠狭窄、回肠J型储袋狭窄和Kock储袋狭窄的治疗,我们认为针刀较EBD治疗CD或非CD狭窄均更有优势,主要表现在治疗后复发率低。针刀治疗虽然在有经验的内镜医生手中能确保一定的安全性,但它较之于EBD创伤更大(表2),因此一般用于EBD治疗后复发的纤维性狭窄。
表2. 内镜球囊扩张和针刀狭窄切开术比较

针刀治疗对内镜技术性要求较高,要求医师对内镜头端稳定性有绝对的控制能力,我们可使用一次性的多普勒超声导管从内镜工作钳道插入并对狭窄部进行扫描,以发现在狭窄部的高血流信号,然后沿垂直或正切方向切除狭窄部的纤维组织,针刀采用ERBE系统中ERCP 电切的模式(最小电切功率,最大的电凝功率)。
2. 内镜针刀窦道切开术
针刀治疗也可用于肛直肠吻合和储袋-肛管吻合口的窦道,治疗前也需要常规行多普勒超声探查切开的窦道壁局部无血管结构,用ERCP电切模式切开窦道和储袋的共同壁,再以金属夹沿切缘夹闭切开的窦道防止肠壁间的再通(图11)。局部喷洒双氧水以清洁窦腔,最后,窦腔内喷洒强力霉素(100mg静脉用粉剂,用10 ml生理盐水稀释)或50%葡萄糖10 ml以促进肉芽增生和纤维化。

图11. 内镜针刀窦切开术。 (A) 吻合口窦道 (绿色箭头) (B) 以针刀切开。 (C) 金属夹沿切缘夹闭切开的窦道。 (D)管腔上皮化使窦道转化为憩室(绿色箭头)。
瘘的内镜治疗
瘘的结构与窦道不同,有两端开口并且瘘道常有上皮覆盖,因此其内镜治疗的目标也不一样,窦的治疗目标为打开窦道开口方便内引流,使窦道转化为有上皮覆盖的憩室。而瘘的内镜治疗目标为关闭内口,尽量减少外引流,打开外口,使瘘管“去上皮化”(图12)。与CD瘘管内镜治疗相关的技术包括瘘管注射与OTSC吻合夹系统内镜夹闭瘘管(“熊爪”)。内镜下瘘管内注射强力霉素、50%右旋糖及组织胶等均在我们既往的综述中讨论过。现在重点讨论干细胞注射及OTSC。

图12. 窦道及瘘的治疗目标。 (A) 窦道一般起源于吻合口漏或慢性脓腔,有盲端及非上皮组织覆盖。 窦道治疗的技术: 打开窦道开口,行肠腔内引流。 (B) 窦道治疗的目标: 使管腔上皮化并使窦道转化为憩室。 (C) 瘘道连接两端开口,有上皮覆盖和开口区域。 瘘治疗的技术: 关闭入口处的瘘口,开放出口处的瘘口,进行外引流。 (D) 瘘治疗的目标: 去上皮化,关闭瘘道。
1.干细胞治疗
干细胞注射治疗CD相关瘘管的临床试验已经取得了初步结果,一般使用脂肪间充质干细胞(Adipose-derived Mesenchymal Stem Cells,AMSC)。第一项临床试验发表于2005年,4例共有8处瘘管的CD患者以AMSC治疗,8周后6处瘘管愈合,2处部分闭合。一项随机临床试验发现AMSC和组织胶联合使用对CD肛周复杂瘘管效果优于单用组织胶治疗,另有数项相关研究,因此AMSC局部注射治疗CD相关瘘管是可行且有效的。
2. 使用金属夹或OTSC治疗瘘道
肠外瘘(ECF)的两端开口应该用不同方式治疗。为减少引流,需要关闭肠道开口,而皮肤端的开口需切开(图12),可在肠腔内使用导丝寻找瘘的外口(图13),ECF肠腔内的开口也可通过从皮肤开口处注射双氧水确定,而后在肠腔内通过金属夹夹闭肠内开口(图14),然而金属夹治疗瘘的效果受其抓取及固定炎性组织的厚度限制。
OTSC系统(“熊爪”)由施夹帽、抓取钳等部分组成,首先喷洒强力霉素溶液清洁瘘道,用细胞刷刮刷瘘道和开口处使瘘道去上皮化,然后以OTSC抓取钳抓取瘘管目标区域组织并用内镜吸入施夹帽,当抓取足够量的组织后即释放熊爪(图15)。已有文献报道OTSC可有效治疗胃皮瘘及其他消化道瘘,无并发症发生。我们也有用OTSC治疗回肠储袋-肛管吻合“J”漏顶端的成功经验。OTSC治疗CD瘘尚无文献报道,但此项技术已在我们中心进行,我们使用OTSC关闭ECF的肠内开口,我们认为它仅仅在较小的肠端开口处治疗有效,而皮肤端的开口需要用针刀或手术刀切开。另外需指出CD瘘的内镜治疗仅限于单一瘘管及较长的瘘道,疗效较好者一般见于直肠或储袋炎症程度得到最好控制的单纯肛周瘘,因此在内镜治疗前应该使用抗生素、抗炎药物及免疫调节剂、生物制剂等充分控制炎性。

图13. 内镜探查瘘道。 (A) 肠道内的瘘道开口。 (B) 以导丝进行探查。

图14. 内镜金属夹治疗瘘管。 (A) ECF皮肤开口 (B) ECF肠道开口 (绿色箭头). (C) 内镜喷洒双氧水确定瘘道。 (D) 在瘘道的开口处释放金属夹。

图15. 使用“熊爪”OTSC治疗瘘管。 (A) 注射强力霉素以清洁瘘管管腔。 (B) 使用细胞刷清洁瘘道,使瘘道去上皮化。 (C) 送入组织抓持钳,将组织负压吸引入透明帽。 (D) 释放OTSC吻合夹。
内镜操作相关的并发症PACs
主要包括大量的出血及穿孔。其他还包括直肠膀胱瘘及直肠阴道瘘的形成、镇静相关的不良事件、吸入性肺炎等(图16)。EBD术后造成的大量出血较少见,即便是在合并粘膜炎症的狭窄治疗中,大多数出血也是自限性的,不需要进一步处理。迟发性出血(数小时、数天后)比较罕见,如在操作过程中出血较多,我们可使用50%葡萄糖局部喷洒,经常能达到较好的止血效果。我们重点讨论急性肠穿孔的预防,这在任何治疗性内镜中都是非常重要的,术前我们要有三套方案(见总结部分),并有早期识别并发症的能力和意识。如患者在术中或术后出现明显腹痛、腹胀及生命体征的变化,应采取及时、适当的评估及治疗。

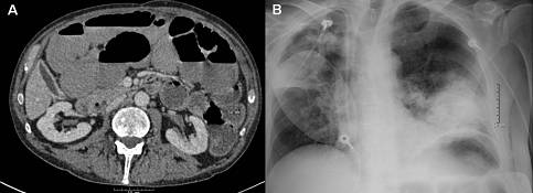
图16. 预防内镜操作引起的误吸。 (A) 小肠CT显示腔内有大量造影剂。 (B) 吸入性肺炎。

图17. 损伤的控制。 (A) CT显示内镜穿孔之后的游离穿孔。 (B) 用带针导管释放腹腔内气体,改善呼吸状况并可减少腹膜炎发生的风险。
内镜穿孔发生的概率
EBD治疗CD狭窄在有经验的内镜医生手里还是比较安全的,但并发症并不能绝对避免,一项荟萃分析发现347例CD狭窄发生内镜治疗主要并发症的比例为2%,另一项针对EBD的荟萃分析结果为4%。
穿孔的危险因素
EBD相关肠穿孔的危险因素包括合并粘膜的活动性炎症、皮质激素的使用、回乙结肠吻合或回直肠吻合狭窄、有原发的狭窄等,但结果均来源于观察性研究,还需要病例对照研究来加强这一结论。我们的病例对照研究(30例CD狭窄,60例非CD狭窄)发现EBD并发症与是否为CD性狭窄无关,我们的另一项研究也发现内镜操作所致肠穿孔后IBD患者的肠道切除及造口术比例并不高于非IBD患者,然而我们发现静脉使用皮质激素者行肠镜操作后发生并发症的风险会增高13倍,包括器官衰竭,需进入ICU治疗、需接受结肠切除及造口术等。
预防并发症发生
预防并发症的关键在于操作者对IBD治疗、内镜治疗技术和肠道解剖有全面的掌握并在治疗前做好充分的准备与预案。为尽量减少并发症的发生,我们提出以下建议:
1.对内镜医师及团队进行充分的培训;
2.在选择性的基础上实施内镜治疗,避免在仓促之中行急诊内镜治疗;
3.在治疗前停止或更换抗凝药物;
4.高风险患者应在术前进行心血管及呼吸功能的评估;
5.如有可能,在治疗前避免使用静脉皮质激素及生物制剂,如患者使用免疫*制剂抑**,应延期至停药后进行内镜治疗;
6.进行充分的肠道准备,可改善可能的肠穿孔预后、减少穿孔相关腹膜炎的风险;
7.术前影像学检查,为病灶绘制路标、确定病灶性质、发现合并的脓肿及瘘管,还可发现隐藏的微小穿孔,尤其是使用免疫*制剂抑**者或老年患者;
8.内镜操作过程中尽量少注气,并使用二氧化碳代替空气;
9.内镜取直,完全掌控内镜头端的方向;
10.如能采用逆向的方式,尽量避免盲目的顺向法进行扩张,也可考虑透视辅助、在导丝引导下扩张针样狭窄;
11.术后立即进行评估,即时发现并发症,并非所有并发症均需要手术治疗,出血及穿孔都可以尝试内镜治疗;
12.特别需留意并发原发性硬化性胆管炎的患者,因可能由于潜在的门脉高压导致出血;
13.术后及出院后建议患者采用清流质饮食,以防再一次内镜及手术治疗的可能性;
14.怀疑肠穿孔的患者应静脉补液并使用抗生素;
15.降低此类患者入院留观的门槛,密切观察有无术后并发症的发生。
损伤的控制
尽管某些并发症可通过内镜金属夹等方式在内镜下处理,但也有一些患者发生会导致更严重后果的并发症基础上的并发症(Complications of complications)。应该对PACs采取适当的处理方式,一项回顾性研究发现如果肠道穿孔发现的时间超过24小时,则其接受损伤最小的内镜金属夹治疗的机会大大降低。一旦怀疑穿孔,应立即行腹部影像学检查、静脉补液和静脉抗生素使用,如有严重腹胀及呼吸困难,肠道减压也很重要,腹腔游离穿孔会造成腹腔气体的大量积聚、粪水污染和呼吸压迫,可使用大孔径的穿刺针小心插入腹腔释放气体,还需放置直肠引流管和胃管并请外科评估。外科手术的目的是清洁腹腔、减少腹膜炎风险、治疗脓肿或败血症,尽量减少肠道切除和造口的可能性。
总结及建议
内镜治疗CD相关并发症是有效、可行的治疗方法,但它在技术上有较大的挑战,为使疗效最优并尽量减少并发症的发生,内镜医师应该对IBD有全面的认识并熟练掌握治疗性内镜。内镜介入治疗应该在合适的患者、合适的病灶和合适的时间进行,术前各项充分的准备工作可以使手术的安全性和成功得到保障,各项治疗技术如球囊扩张、针刀狭窄切开术、瘘道注射、瘘道关闭等可单独实施也可联合进行,然而即使是最有经验的内镜医师也不可能绝对避免并发症的发生,因此在治疗前应制定全面的方案:计划A,进行预期的内镜治疗;计划B,发生并发症时如何控制损伤和采取补救措施;计划C, 外科手术作为后备。防止在并发症的基础上再发生并发症,尤其是那些合并全身性使用皮质激素的患者。早期识别内镜并发症的发生可以有效改善预后。
(本文仅做学术交流用)
作者简介

沈博教授,凯斯西储大学Lerner医学院教授,美国克利夫兰医疗中心炎症性肠病(IBD)中心主任,Ed and Joey Story 基金会主席。国际知名IBD专家,主要研究方向是炎症性肠病以及储袋相关疾病。沈博教授亲自创立了世界上第一个储袋炎中心,同时也是美国第一家IBD及结直肠术后并发症内镜诊疗中心,首次提出了诊断标准及分型治疗程序以及新的疾病命名,如储袋易激综合症等。他的研究工作获得了美国国立卫生研究院 (NIH),美国消化病学会(ACG), Broad 基金, 美国炎症性肠病基金会 (CCFA), 美国结直肠外科学会, 美国胃肠病协会(AGA), 博爱基金的资助。300余篇SCI论文与摘要被包括Science、Gut、Inflamm Bowel Dis等在内的专业领域高质量杂志收录。
作为美国胃肠病学科领军人物之一,沈博教授曾先后担任美国胃肠病协会(AGA)、美国消化病学会(ACG)、美国胃肠内窥镜协会(ASGE)的委员会成员;美国FDA顾问委员会成员;胃肠病学会基金及Broad Foundation基金会、克利夫兰医疗中心基金会评审委员。担任《Inflamm Bowel Dis》、《Gastroenterology & Hepatology》、《BMC Gastroenterology》和《Gastroenterology Report》等专业期刊杂志的编委或副主编, 担任《Gastroenterology》、《Gut》、《Annals of Surgery》、《PLoS Genetics》 和 《Nature Review Gastroenterology & Hepatology》等多家专业期刊审稿人。并受邀作为美国、加拿大、中国等国40家主要学术机构的客座教授。
欢迎投稿到小编邮箱:liushiyi@yxj.org.cn 来稿邮件主题为:【投稿】医院+科室+姓名
小编微信:choudan110