@头条健康 @头条健康联盟 @丁香医生 #了不起的医生#
#清风计划#
对于普通人来说,很多人理解的骨科医生做“接骨”手术,肯定是把骨头完全接回原来的样子是最好的。这样理解当然没有错,但是“接骨”手术并非这么简单,今天杨医生带大家了解一下这里面的门道。

“接骨”手术,是个通俗的说法,专业叫法称为“切开复位内固定”或者“闭合复位内固定”。内固定比较好理解,就是使用钢板螺丝钉、髓内钉、钢针、钢丝等工具固定断裂的骨头。

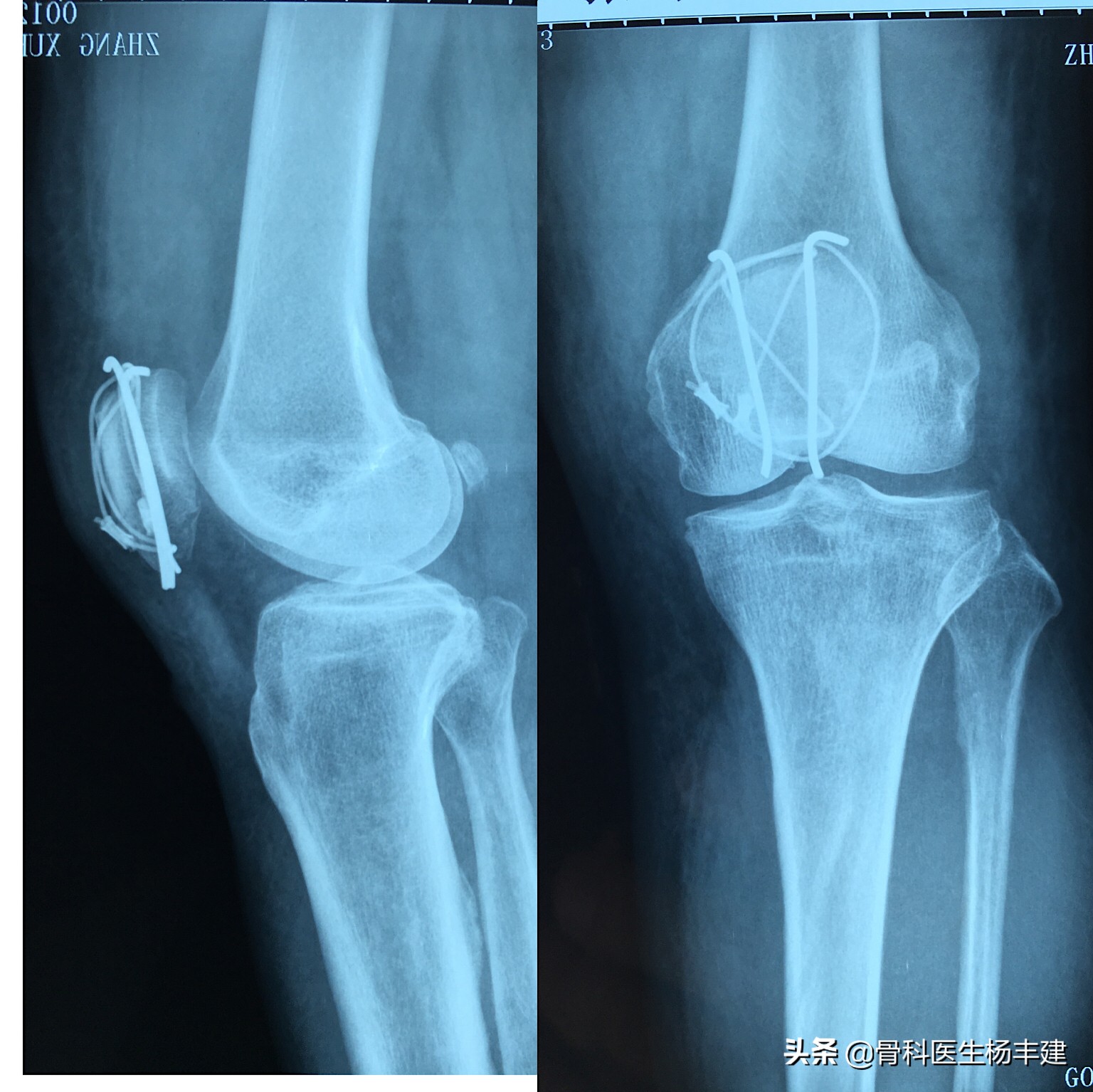
使用克氏针和钢丝固定的髌骨骨折
那么什么是切开复位,什么是闭合复位呢?既然是内固定了,还能闭合复位吗?复位是内固定之前的一个步骤,大多数的手术都是先做复位,复位满意后再做内固定。所谓切开复位,就是需要在骨折的位置做手术切口,暴露骨折的地方,然后进行复位和固定;而闭合复位通常是不切开皮肤,在X光透视帮助下,通过牵拉骨折的肢体进行复位。复位满意后,进行固定时往往也不需要切开骨折的位置,而是在远离骨折的部位做小切口,把钢板、髓内钉等材料顺着骨头的表面或者髓腔插进去,进行骨折的固定。

使用髓内钉固定的老年人转子间骨折,典型的闭合复位手术,红箭处小转子是不需要处理的

长度17cm的髓内钉,只需要2-3个小切口就可以搞定了,手术中出血很少
长骨的骨折根据位置不同可以分为干部骨折(骨头的中间部分)和干骺端骨折(骨头的末端,一部分甚至在关节内)。比如说大腿骨、小腿骨的中段骨折,基本上都属于长骨干部骨折;而如果骨折发生在长骨的一端,则多数影响关节,比如膝关节、踝关节内的骨折。是不是所有的骨折手术都要求完全复位呢?答案是否定的,不同位置的骨折要求是完全不一样的。
对于关节内的骨折,特别是膝关节、踝关节,由于担负着承受身体分量的作用,类似于机械结构的“齿轮”,所以对于骨折的错位是完全不能容忍的。因此,医学上管这种关节内的手术称为“毫米级”手术,就是说骨折的复位尽量完全恢复正常,哪怕骨折的错位超过1~2mm,后期出现关节磨损加快,甚至过早出现关节炎的概率就会大幅度增加。

踝关节内骨折,要求完全的复位,牢固固定,早期活动锻炼
那么,骨干部位的骨折是不是也这样要求呢?在很早之前,医生们也是这么做手术的。但是手术做完以后,发现会有一部分病人的骨头愈合很慢,甚至有不少人出现骨不连。后来的研究发现,长骨中段的骨折愈合难度要比干骺端困难很多,但是由于不影响关节,所以对于骨折复位的要求没有那么高。这些研究的发现指导骨科医生开始转变观念,对于骨干部的骨折,特别是粉碎的骨折,尽量不切开骨折的位置,否则一些碎骨片就会变成没有血液循环的骨头(专业叫法称为“死骨”),严重影响骨折的愈合。
随着微创技术,以及内固定设计的进步,目前越来越多的干部骨折采用闭合复位,或者不直接在骨折部位切开的方法进行治疗。只要手术中纠正了力线、旋转和成角的移位,骨折愈合过程中,会对周围的骨片和侧方的错位进行一定程度的自我纠正。下图是一个股骨干部骨折的19岁病人,使用髓内钉固定后,前方的骨折片有一定程度的移位,但是在骨折后6周,骨片的位置明显改善。

股骨干部骨折采用闭合复位的典型例子,从上至下分别是手术前、手术后,手术后6周
那么,是不是说,只要随便复一下骨折的位置就可以呢?这个想法当然也是不对的。对于复位这个问题来说,肯定是尽量复位到完美,但是越是完美的复位对骨折处的血液循环就破坏越大。既要做到满意的复位,又要保护好血液循环,医生要做的事情就是在这两者之间找一个平衡点。
通常来说,以下几种错位是不能接受的。
1)骨折手术后,成年人下肢的短缩超过1cm。(1cm以内的短缩人体可以自我纠正,儿童可以放宽到2cm) 2)骨折的位置出现分离移位。(骨折的地方互相分离,不接触,这种情况容易造成肌肉等软组织填塞在骨折的中间,造成骨折不愈合) 3)出现旋转错位。比如说下肢出现了内旋错位,骨折愈合后,就会变成一只脚内八字,影响走路。 4)与关节活动方向不一致的成角移位。以下肢为例,如果说前后方向有微小的成角,这个问题是不大的;但是如果左右方向有哪怕是一点点的成角,也会严重影响下肢的功能,这是不能容忍的。 5)如果骨折的位置有碎骨片,比如前面的那个例子,骨折片稍微远一点问题不大,但是如果骨折片的方向是翻转过来的,就是说本来骨头的外面朝向里面,这种情况也是会造成不愈合的,需要就行矫正。

不断学习是一名合格医生的基本素养