微风皖韵,镜技徽煌。11月2号至5号中华医学会第二十四届全国泌尿外科学术会议(CUA2017年会)在安徽合肥举行。来自全国泌尿外科领域的各位权威和大咖齐聚一堂。
我也非常高兴的和全国的各位同道一起分享信息,学习新知。此次盛会给人最大的感受就是“创新”,新知识新技术新理念不断推陈出新,带动整个泌尿外科诊疗技术的发展,给医护人员更大的施展舞台,更给患病群众带来更多的健康希望。
今天我要谈的一个“故事”就和医学技术的进步和发展有关。
三十年前左右肾各患有结石,治疗过程坎坷
2016年的春季我接待了一对特殊的病患,说特殊因为他们是父子,真正的亲父子。他们先后来到我的门诊,又前后进行了泌尿结石的微创手术。情况还是先从父亲开始说起。

病患老陈,50岁,男性,福建三明人。他因“反复右侧腰痛30余年,加重2月余”来到我的门诊。
从问诊交流中得知老陈是泌尿结石的“老”病友,30多年前就因右肾结石急性发作,腰部疼痛难忍,进行过体外冲击波碎石,术后腰痛较前明显缓解,但多年来隐约阵痛还是时有发作。由于痛感都在可以忍受范围之内,也就未及时进行复查治疗。

2000年前后,老陈的左肾也出现了“故障”,情况更加复杂,来福州省级医院进行了“左肾结石切开取石术”,也就是俗称的开大刀,术后腰间出现12公分长的疤痕,老陈也花了好一段时间才全完愈合,因此对后期泌尿结石治疗一直心有余悸。

入院记录
在了解了老陈泌尿结石治疗的抗争史后,我也深深感受到病患朋友宁可忍受身体不适,也不愿意来医院就诊的“痛点”。
经皮肾镜完全无管化治疗,术后三天出院
根据老陈的病情情况,我们在接诊后三天,安排了“右经皮肾结石激光碎石取石术+右经皮肾造口术+右输尿管支架置入术”方案下的微创手术治疗。

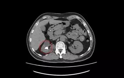
在B超的监视引导下,于右侧腰背部11肋间用PTCD针穿刺右肾含石上盏,拔除针芯后可见尿液流出,然后逐步扩张经皮肾通道并置入工作鞘,然后置入超细经皮肾镜,经输尿管镜可看到,结石大小约1.6X1.2X1.0CM,黄褐色,质地硬,表面粗糙。
使用钬激光将镜下可见结石击碎为粉末状,通过水流冲出。观察见PUJ处无狭窄,直视退镜通道无出血,我们特别设计了不放置造瘘管的完全“无管化”方案,直接缝合手术切口。整体手术过程顺利圆满。
在病房休养三天后,老陈康复情况良好,办理出院手术后返家休养。

术前KUB

术前CT

术后CT

手术创口
Tips
经皮肾镜无管化的优点:
无管化分为部分无管化(不放肾造瘘管,但是需放置双J管)及完全无管化(肾造瘘管及双J管均不放置)。无管化可以让病人减轻管子带来的疼痛,减少卧床时间,手术瘢痕小,恢复快,减少住院天数,节省医疗费用等优点。
经皮肾镜无管化适用人群:
并不是所有患者都适合或者说有条件做无管化,这需要严格把握适应症。一般认为,无管化PCNL的适应症为
1.结石直径<3cm;
2.通常为单一通道;
3.术后无明显结石残留;
4.无明显集合系统穿孔;
5.出血较少;
6.无须行二期手术;
7.无合并重度肾积水。
临床医生需根据上述适应症严格选择患者进行无管化PCNL。
儿子为何成为父亲的“榜样”
大家一定好奇,为何经历一周的微创手术治疗就能康复,回到正常生活转态的老陈要久拖不决,忍受常年不适而不及早就诊就医呢?
又是哪些情况的变化让老陈改变了原有的坚持?

这里还要特别谈谈老陈的儿子小陈。
小陈是在2016年3月份,早其父一个月来到我的门诊。
出现的问题主要是左腰阵发性绞痛,这种疼痛一般很难忍受。经泌尿系彩超检查显示,小陈左输尿管下段结石并伴有左肾轻度积水以及右肾结石。
卡在输尿管的结石让小陈疼痛难忍,根据他的情况,安排了“左下段输尿管结石经尿道输尿管镜激光碎石术+右经皮肾结石激光碎石取石术+右经皮肾造口术+双侧输尿管支架置入术”的微创手术治疗方案。

手术过程顺利,左肾输尿管和右肾结石都被彻底清除,小陈前后住院十天也返家休养了。一个月后拔出双“J”管后完全康复。

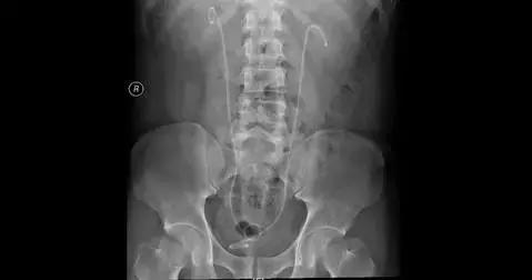
术后KUB
看着儿子顺利的治疗过程,常年忍受腰痛袭扰的老陈既惊又喜。微小的手术创口,一周的治疗周期,
也使他重新燃起了根治结石病症的信心和决心。可以说,儿子小陈给父亲老陈做了一个很好的“榜样”。这也就有了父子二人前后手术的经历。

从症状的复杂性方面评估,这对父子的情况不算严重,都是常规性的泌尿结石手术,但给我留下深刻印象的是这对父子具有代表性的诊疗经历和他们背后的故事。
很多不了解泌尿系治疗方式和手段的患者来说对上医院检查身体是有心理负担和抵触情绪的。对传统的开放式手术还存在恐惧的心理。
医学进步,健康观念从“治”到“防”
时代在向前发展,医学科技也在不断的进步中,新理念、新材料、新技术在医学诊疗中的运用,解决了很多原来不好治疗或者不能治疗的疑难杂症。
当天就能返家的日间手术、经皮肾镜无管化手术、结石成分分析、泌尿结石患者24小时尿液分析等一大批新技术的运用,使广大病患的健康得到了更大的保障。

例如老陈父子同时患有泌尿结石,原因是多方面的,有生活习性也有环境因素或者是基因遗传。我们在运用手术治疗病症这是处理问题的知其然,还可以用于一些新的方式如“结石成分分析” “泌尿结石患者24小时尿液分析”来知道父子为何均患有泌尿结石、结石成份的结构以及需要采取的生活饮食调整。
这就是知其所以然。疾病从“治”走到“防”,科技的创新改变着我们的生活。
应该庆幸生活在这个日新月异的新时代。科普这么多“干货”就是要矫正一些病患朋友的认知误区,使大家对健康的管理可以做到像旅行、购物、休闲一样成为日常生活的一部分。

最后作为主刀医生我也要特别强调,像老陈这么久拖不决的患病经历是不可取的。有身体不适应该及早面对,小病不治容易变成大病,小结石不处理,也可能变为为复杂结石或症状迁延对肾脏产生其他伤害。
从合肥返回福州,依旧感受到CUA2017年会上泌尿外科这个大家庭前行的脚步和传递的科技之风,我依旧要不断学习和与同行的交流中继续探索,将最新最好的治疗方法服务于广大病患朋友,不忘选择成为一名泌尿外科医生的初心,为泌尿结石健康事业尽自己的一份绵薄之力。
