异位妊娠就是除了在正常位置着床的,都是异位妊娠。如下图

以上8个地方都是异位妊娠。即使在子宫内,不在正常位置也叫异位妊娠。
异位妊娠的症状:
停经,腹痛,阴道出血。这是典型的。
女性腹痛伴阴道出血,或者单纯腹痛,或者腹痛、呕吐伴休克等、需警惕宫外孕可能。
如果有明显停经史,月经不规律,要么断断续续一直来,要么过了时间不来,常常伴有腹部不适,或者疼痛,一定要去医院行彩超检查和尿妊娠试验,排除宫外孕可能。
宫外孕有一个特点,经常在月经要来的时候会出血,让人以为这是月经,而忽视宫外孕的可能,其实这个时候来的不是月经,而是宫外孕导致的出血。但是这个出血量比较少,时间短,或者断断续续时间长,和以往的会有不同。一般是一侧疼痛为主。宫外孕一般不超过49天就会破,当然很多也长不到这么大就会出血。宫角妊娠或宫颈妊娠可以长的很大,这两个比较特别。
异位妊娠病因:
确切病因尚未明了,可能与以下因素相关:
第一,输卵管异常。炎症,扭曲,肿瘤压迫,先天发育异常,粘连再通术后等。所有可能导致输卵管狭窄的因素都有可能。
第二,避孕失败。使用避孕药,避孕套、或者宫内节育器避孕失败时,发生输卵管妊娠机会大。
第三,受精卵游走。精子与卵子在一侧的输卵管结合形成受精卵,游走到另一侧的输卵管内,因为游走时间过长,受精卵发育增大,种植在输卵管。
第四,宫内不正常着床,比如宫角、宫颈妊娠。
异位妊娠结局如何?
输卵管妊娠流产,这种出血比较缓慢,断断续续。
破裂,这种比较凶险,很多急诊的都是这种,常伴有休克。
持续妊娠,常见于保守术后残留等。
腹腔妊娠,胚胎在腹腔存活。
如何诊断:
抽血HCG,尿妊娠试验,彩超检查,后穹隆穿刺。
彩超检查如果有阴超,当然是最好,看的最清楚。腹部彩超+阴超是最佳检查方式。
对有怀疑的病人千万不要叫患者憋尿,先检查,一般这种很多都有出血,患者根本无法憋尿,有些甚至伴有休克。如果盆腔没有积液,又看不清楚的,再叫患者去憋尿。
治疗:
大出血的,或者没有生育需要的,或者两侧输卵管健在的,一般都是手术病损切除。
少或无出血的,可以行药物治疗。这类主要是对年轻,或者只有一侧输卵管的女性,还要生孩子的女性为主。但是药物保守治疗是有风险的,不能完全杀死胚胎最后还是要手术。
宫颈妊娠或者宫角妊娠的还要刮宫,动脉栓塞,药物化疗等。
鉴别:
黄体破裂:一般是剧烈运动后出现的腹痛,月经第20天左右常见,同房后腹痛最多,但尿妊娠试验是阴性的,一般可以保守治疗。
肿瘤破裂:这个最好有既往病史,常见巧克力囊肿破裂。各种炎症,阑尾炎,盆腔炎等。
预防措施:
没有百分百安全的措施,除非子宫或卵巢切除。所以带套是最简单、实惠的措施。但是要带就每次都带,不要觉得安全期内就不带。安全期这个说法是很不靠谱的。结扎的,带环的,体外射精的,这些都是有可能怀孕的。
案例:
前段一位女士上个月刚上宫内节育器,这个月宫外孕,盆腔腹腔都有出血,已经伴有休克症状了,尿妊娠阳性,彩超检查看到附件区一个孕囊声像。
还有一个女的做了绝育手术,也就是双侧输卵管切断结扎后,意外怀孕了。两例患者行急诊手术,证实宫外孕。
还有一个腹痛、呕吐伴休克的,最后也是宫外孕破裂,大出血。

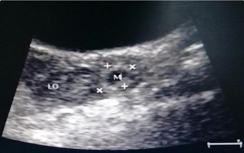
残角子宫妊娠2个月大小

M代表输卵管妊娠囊,LO代表左侧卵巢
不想怀孕的措施一定要做好,没有绝对的安全期,发现问题早点到正规医院处理。宫外孕很多都要切输卵管,少部分可以保守治疗。一个人就两条,切了以后想怀孕咋办?
记得《扫毒》里面张家辉有句话:段坤我吃定了,耶稣也留不住他。这里我想借用这句话:
不能怀孕的人,怎么都怀不上, 不想怀孕的人,总是意外怀上, 耶稣都挡不住。。。。。。。。
男人要保护、爱惜自己女人;
女人也一定要保护、爱惜自己;
爱自己,生活才会更美好!