家住商丘的杨女士近日感觉右侧腘窝酸沉不适,影响了行走、蹲立等日常活动,且病情逐渐加重。当地医院做彩超示腘窝囊肿,直径已达11.5cm。杨女士四处求医,医生都建议她行开放手术切除。了解病情后杨女士的心里慌了,因为她的左侧膝关节1年前因半月板损伤于当地医院治疗,术后恢复地不理想,现在右膝又要做手术,以后生活怎么办呀?
杨女士经病友介绍郑州大学五附院骨外科*明徐**杰副主任擅长微创处理关节疾患,立即前来就诊。*明徐**杰副主任热情接待患者,并安排她入院,指示管床医师张鹏飞尽快完善检查。磁共振检查提示杨女士右侧膝关节不但存在巨大囊肿,同时合并严重的骨关节炎、半月板损伤。而且左膝恢复较差的原因是出现了慢性滑膜炎,上次手术对骨关节炎未能有效处理。*明徐**杰副主任仔细阅片,结合查体,并请示科主任张立贵主任医师。在张主任的准确判断和技术指导下,建议为患者右膝实施“关节镜下关节清理+囊肿切除手术”,并同时为左膝进行“关节镜下翻修术”。患者对骨外科团队非常信任,同意立即手术。

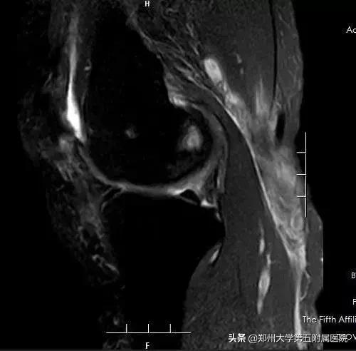
▲ 术前MRI检查巨大囊肿
检查完善后*明徐**杰副主任立即安排手术。术中徐主任精细操作,关节镜下切除囊肿需要侧方入路进行后室操作,具有一定难度。在完成关节清理后,建立侧方辅助小切口入路。虽然只是一个小小切口,避免了关节后侧的开放大切口,同时可以把囊壁刨除,并且打通了膝关节后室的通道,后期随着恢复,囊肿逐渐消失,该技术已达到了国内同级别医院先进水平。在进行左侧膝关节翻修时,因粘连严重,炎症反应明显,存在一定的难度。徐主任凭借高超的手术技能,耐心细心地处理完病患。术中大家积极配合,双膝手术顺利完成。

▲ 术中专心操作和辅助小切口

▲ 术中囊肿情况
术后*明徐**杰副主任和张鹏飞医师指导患者进行康复训练,每日查房亲自上手帮助患者活动膝关节、内推髌骨等,患者康复顺利,术后第2天即下床活动。住院期间杨女士多次表达对*明徐**杰副主任的感激之情,并于近日康复出院。

▲ 术后复查MRI囊肿明显缩小,随着囊壁的闭合,囊肿会逐渐消失
科普
腘窝囊肿是腘窝滑液囊肿的总称,多发生于半膜肌与腓肠肌,并常与关节相通,大多为骨关节炎引起,临床表现为关节疼痛及活动受限。
传统治疗方式有两种,第一种是开放手术治疗,为后方入路,切口较大,术中存在血管神经的风险,无法同时处理骨关节炎,留下的长疤也让患者感觉不舒服,影响关节功能。术后存在复发风险。第二种为先行关节镜下微创手术处理骨关节炎,再改变体位,将腘窝开放大切口切除囊肿,也存在手术时间长、感染率高、损伤大、恢复期长等缺点。
*明徐**杰副主任为杨女士设计的手术方案,不但清理了关节腔,同时切除囊肿。这样患者损失小,复发率大大降低,恢复的更快,减少下肢深静脉血栓等卧床并发症。