“医生你看一下我的脑子有问题,是不是该治疗呢?”
这句话看上去有点问题,好像是在说别人坏话,但是仔细想想,这是在面对患者的提问,这可并不是开玩笑。
很多患者在医院检查的时候会发现大脑中有各种各样的问题,做一个CT或者头部核磁共振报告单上的描述性语言,一行又一行,看起来甚是头疼。
本来感觉自己没病,看着看着,越来越觉得自己有病了。

可是所有的大脑疾病都需要治疗吗?当然不是。
这种绝对性的话语,肯定是以偏概全的,有一些问题即使出现了,报告单上写了,也别太害怕,很可能并不需要治疗,也不需要花钱。
最重要的是真的认识到疾病的问题所在,而不是一味地追求大脑的完美。
今天就盘点4种疾病,我们如果真的碰到了也别害怕,很可能并不需要花太多的心思去治疗。
@康复Therapy
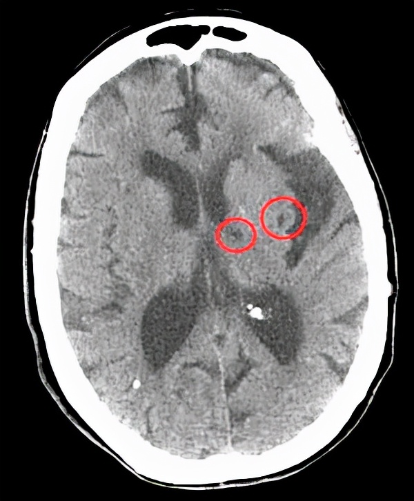
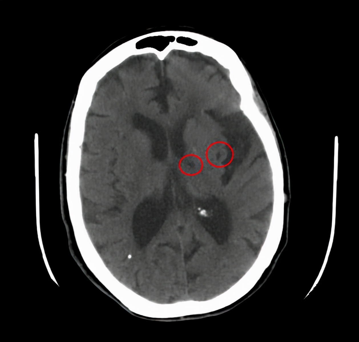
一、脉络丛钙化。
在报告单上经常可以看到脉络丛钙化这个名词,很多人一看:脑子里面有钙化了,一定是不好的东西。
真是这样吗?其实并不用害怕,脉络丛钙化可能并没有什么问题,只是你的大脑血管有些老化而已。
脉络丛其实是一束血管,通常来说是软脑膜以及在软脑膜中穿行的血管,和其他组织共同所组成的,这类组织最主要的特点就是有血管在里面穿行。

所以把它视为“一束血管”,可能会比较恰当。
而随着年龄的增长脉络丛可能出现钙化,通常都是生理性的,并不需要太在意。
另外也要看具体情况,有没有其他的症状体征,如果什么问题都没有,一般是不需要处理的,也不需要用药。
但是如果有症状呢,身体真的感觉不一样了,脉络丛钙化可能也预示着某些肿瘤的出现,甚至和脑积水也相关,这个时候就不要轻易放过了。
总之具体情况具体分析,不能以偏概全,也不要吓唬自己。

二、无症状的腔梗。
如果出现腔隙性脑梗死该怎么办呢?
当然,这个问题其实也应该分情况讨论。
如果有了具体症状,腔梗还是该治疗的,比如一侧肢体的运动感觉障碍,这个时候要小心,具体怎么治疗还是听医生的吩咐比较好。
但是如果没什么表现,仅仅是在体检或者在检查其他疾病的过程中发现有腔梗,这个时候该怎么办呢?
临床当中这种情况是很常见的,我们称为无症状的腔隙性脑梗死,对于这类患者,请您别害怕。

虽然我们称之为脑梗死,但他对我们的危害并不大,只需要改善生活方式,积极预防下一次腔梗就可以了。
需要用药吗?需要用治疗脑梗死的扩血管药物吗?是不是应该活血化瘀呢?
都不用,千万别被骗。
三、生理性脑萎缩。
很多人一看脑萎缩出现了,就害怕了,难道就是奔着老年痴呆去吗?
先别着急,脑萎缩并不一定都是严重的问题,很有可能是生理性的,换句话说就是正常现象。
你能抵抗衰老吗?能永葆青春吗?答案是否定的。

人势必要衰老,身体上的每一个器官和组织都会面临衰老,大脑也不例外。
大脑的衰老方式其实有很多,其中重要的一点,就是可以明显发现大脑萎缩。
在脑CT,或者颅脑核磁共振中可以看到,脑组织一点一点变小,这种萎缩通常都是比较正常的现象。
而且即使出现脑萎缩,很多人并没有什么感觉,也没有什么症状,仅仅是在体检中发现而已,对于这种情况并不需要太过担心,这是非常正常的现象。
可是,如果是阿尔兹海默症患者就该值得关注了,具体的治疗还是应该重视医生的建议。

四、脑白质脱髓鞘。
面对一份头部的CT报告单,最常见的字眼其实就是脑白质脱髓鞘了,对于这种问题该怎么解决呢?
其实对于大多数患者来说,并不需要解决。
看上去脑白,质脱髓鞘是一种疾病,可是实际上只要岁数到了,或多或少都会有这种情况,轻度的脑白质脱髓鞘在55岁以上的人群当中其实是很常见的。

当然,很多人虽然有脑白质脱髓鞘,但并没有什么症状也没有什么感觉。
对于这类患者其实并不需要治疗,症状较轻的时候也没有什么好的治疗方式可以改善,最重要的就是强调改善生活方式,把自己大脑子的状态调整好。
但是要小心,如果是非常严重的脑白质脱髓鞘可能就是一种疾病了,我们也应该好好的治疗,比如脑神经炎,而且出现头痛。

总结。
看到头部疾病真的都需要治疗吗?并不需要,其实有很多问题都是退变,或者改善生活方式就可以有效改善的。
虽然有问题,但是也并不需要很多药物,也别被报告单吓到。
这种情况其实并不需要治疗,千万不要道听途说,用了很多治疗方法或者很昂贵的药物,很可能收效甚微。
正确看待疾病,也正确看待自己器官组织的老化,不要再花冤枉钱了。
#腔隙性脑梗##哆咔医生超能团##谣零零计划# @头条健康

痛风无药可用?医生辟谣:抑制尿酸生成的药物,帮您盘点一下
阿尔兹海默病该吃什么药?医生:实不相瞒,有3种药物可以用
睡不着觉也是病?*眠药安**怎么可以随便用
「高血压」患者看这里,降压药有五种可以选,看看哪一种适合你