哪种肺结节最易癌变?
随着CT等影像检查的进步,越来越多的人在体检时被发现存在肺结节,因为担心肺结节转变成癌,很多人对这些结节一直提心吊胆。哪种肺结节最易转变成肺癌?和大家深度了解肺结节的分类!
肺结节分类
在薄层CT上,根据肺结节的密度大小,将肺结节分为以下三种:
1纯磨玻璃结节

纯磨玻璃结节,影像表现像磨砂玻璃一样,看起来影像比较虚。
2部分实性磨玻璃结节

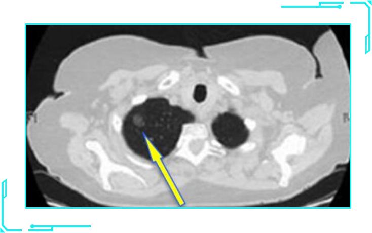
部分实性磨玻璃结节就如同一个荷包蛋,磨玻璃成分类似其中的蛋清,而实性且密度较高的部分则类似蛋黄。
3纯实性结节

纯实性结节类似于单独分离的蛋黄,是一个实性且密度较高的病灶。
发现肺部结节后怎么办?
一旦发现肺部结节,首先应到三甲医院复查薄层CT,并到医院的胸外科进行随诊。
小于一厘米的肺结节,整体恶性程度偏低,肺结节小于五毫米恶性程度为0%-1%,肺结节在11-20毫米之间,恶性程度为33%-64%,当肺结节大于20毫米时恶性程度为64%-82%。

发现肺结节后的随访策略
根据不同的结节类型,大小,需要遵循不同的复查随访策略:







如何进行肺结节复查?

如果要定期随访自己的肺结节情况,那么CT就是最好的复查手段。但门诊经常有病人对做CT检查心存顾忌,主要原因来自于CT的辐射。
CT和X线都存在一定的辐射,CT比X线辐射略大,所以备孕期、孕妇和婴幼儿应该尽量避免CT或X线检查。但成人一般一年做几次检查(10次以内)都是没有问题的,患者朋友应该调整好心态,配合检查。
各种CT该如何选择?
1低剂量CT
目前证据显示,低剂量CT是筛查肺癌的有效手段,主要优点是辐射剂量小,其辐射剂量大约是普通CT的1/4左右。
2普通CT平扫
普通CT平扫是目前临床应用最广的CT检查手段,绝大多数基层医院都有配备,普通CT平扫扫描的层距通常为8-10mm。低剂量CT和普通CT都常用作体检胸部检查,优点是检查快、设备要求低,缺点是层距过宽,可能造成小结节的漏诊。
3高分辨CT
高分辨CT是指层距较小的CT,一般层距小于5mm,与常规CT相比,精度更高,分辨率更强,可以看清肺内细小结构,可用作肺结节特别是磨玻璃结节的随访。
4肺结节薄层CT(首选)
肺结节薄层CT是放射科专门针对肺结节开设的检查项目,层距小于2mm,对肺结节的分辨率更高,还可以精确测定结节的密度,通过三维重建可精确测量结节的体积、与血管的关系、边缘等,有利于良恶性的判断,可用于肺结节的明确诊断及随访检查。
5增强CT
一般肺结节不需要增强CT检查,但动态增强CT特别是结节动态增强CT对鉴别孤立性结节具有一定的意义,具体应由经验丰富的呼吸科医师或胸外科医师把握。
6PET/CT
PET/CT主要可用于肺癌高危实性结节或部分实性结节的诊断,多个结节时还可为选择哪个结节进行活检提供参考意见,主要原理是肿瘤细胞具有较高的葡萄糖摄取和代谢,缺点是价格昂贵,不推荐作为肺结节的常规随访。
检测肺癌自身抗体目前大的医院检验科开展了“肺癌七项自身抗体检测”项目,这个检测是一项临床肺结节恶变趋势评估和早期肺癌血液筛查技术,通过这个检测能了解肺结节细胞生长的速度和侵袭转移能力。此外,它还能够比CT更早发现异常,能在肺癌发生之前捕捉到肺癌肿瘤细胞的存在,也即:发现癌前病变,因此能够比较早期地解决上述困境。
1 什么是肺癌七项自身抗体检测
人体的免疫系统非常强大,当机体出现肿瘤细胞“敌情”时,免疫系统就会对肿瘤细胞产生免疫应答。在这个过程中,针对肿瘤细胞表达的少量抗原,机体会产生大量的特异性的免疫球蛋白,即“肿瘤自身抗体”。这项检查包括7个肺癌相关指标(p53、GAGE 7、PGP9.5、CAGE、MAGE A1、SOX2、GBU4-5),每个指标都是独立、非交叉的,能够从多个角度反映体内免疫状态。
2 哪些人群需要做这项检测? (1) 有肺癌家族史的人;CT检测出肺部结节,且不确定是否为恶性肿瘤的人群;(2) 有结核病史、肺部真菌感染、慢阻肺,弥漫性肺纤维化疾病的患者;(3) 40岁以上有长期吸烟或者接触二手烟的人;(4) 有环境和职业暴露,长期受外界环境污染及室内环境污染如煤烟、烹饪油烟、装潢类材料的放射性物质;职业污染如接触粉尘、石棉、镍、铬、煤烟、焦油、石油等。
3 做这项检测,需要哪些准备呢? 门诊和病房都可以开展这项检查。门诊患者,挂号后由门诊医生开具即可。这项检查不需要空腹,只需抽取一管血就行,一次可以得出7个指标,十分方便。
4 肺癌七项自身抗体阳性是否就是“高危”肺结节或肺癌? 如果出现肺癌七项自身抗体结果阳性,是否就是“高危”肺结节?这个并不一定。拿到肺癌七项自身抗体结果后,先不要慌张,这个阳性结果需要由专业的临床医生综合您的CT检测结果,其它肿瘤标志物及身体状况后进行解读,以及采取后续的相应措施。
最后需要强调的是,在发现肺结节后,除改变不良生活方式,提高自身免疫力外,我们还要保持正确的处理态度,那就是:“不忽视,不紧张,早检查,早干预”。