输卵管间质部妊娠有哪些症状 (输卵管间质部妊娠易误诊吗)

【临床概述】

1.相关知识

输卵管间质部妊娠是妊娠物种植在输卵管壁内部分,即输卵管通过子宫角的部分,占异位妊娠的2%~4%。这种异位妊娠比较少见,破裂时可危机生命,在辅助生殖技术妊娠的妇女中其发病率比自然怀孕的妇女要多。

未破裂型输卵管妊娠的超声表现,宫角妊娠与输卵管间质部妊娠区别 2.临床特征

输卵管间质部肌层较厚,妊娠可维持至14 ~ 16 周才发生破裂。临床表现多为妊娠14 ~ 16 周时突然腹痛,伴有脸色苍白、手脚冰冷、大汗淋漓等休克症状。妇科检查:子宫不对称性增大,一侧宫角明显突起。

【超声表现】

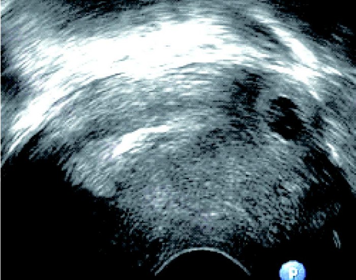
1.子宫增大,内膜增厚,宫腔内无孕囊结构, 一侧宫角向外膨大突出,内见妊娠囊。

2.子宫横切扫查时,妊娠囊或不均质团块位于子宫角部;子宫纵切扫查时,妊娠囊或不均质团块靠近宫底,妊娠囊周围的子宫肌层很薄。

未破裂型输卵管妊娠的超声表现,宫角妊娠与输卵管间质部妊娠区别 3.子宫内膜线在角部呈闭合状,与包块无连续关系。

未破裂型输卵管妊娠的超声表现,宫角妊娠与输卵管间质部妊娠区别 4.彩色多普勒于妊娠囊或不均质团块周围常可见滋养层周围血流。

【鉴别诊断】

1.宫内妊娠孕8周以前的输卵管间质部妊娠难以和宫内妊娠区别,B超检查对间质部妊娠可较清楚地辨认,子宫增大,一角突出,其中可见妊娠环或胚胎,宫腔内无妊娠物。

2.间质部妊娠和偏心位置的子宫内妊娠诊断有一定的难度,妊娠囊周围肌层的显像能够鉴别。偏心部位的妊娠囊,周围始终都包绕着正常厚度的肌层(5mm 或更厚),即为子宫内妊娠;若是包绕妊娠囊的肌层极少或根本没有,则诊断为输卵管间质部妊娠。

【检查技巧】

经阴道超声行子宫纵切面及横切面扫查,在横切面图上比较左右宫角的对称性,如果一侧宫角向外膨大突出,内见孕囊结构,孕囊周围肌层极少则应考虑输卵管间质部妊娠。

【点评】

输卵管间质部妊娠破裂会造成大出血,甚至危及生命。由于临床上较难诊断间质部妊娠,故超声辅助诊断变得十分重要。超声可以较早地做出诊断,指导临床及时处理。

【经典病例】

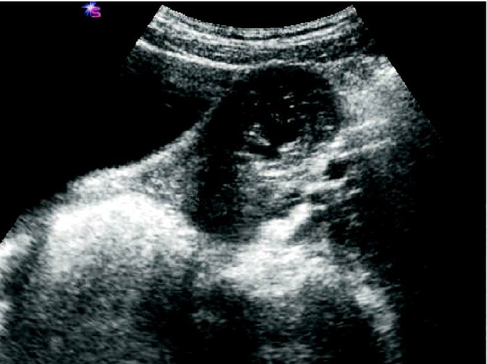
患者,女,25 岁。停经56 天,尿HCG(+),外院人工流产失败转来本院。经阴道超声检查显示:子宫横切面,宫腔内未见胚囊,右宫角突起肌层内见胚囊、胚芽、胎心,胚囊与宫腔不相通。

超声诊断:右宫角肌层内见胚囊、胚芽、胎心,间质部妊娠。

手术病理:(右)输卵管间质部妊娠。

更多专业知识!请关注微信公众号“超声掌中宝”