镶牙选择哪一种材料好??义齿所用的材料从材质上分为三大类,金属、全瓷和高分子复合材料。
金属烤瓷牙 金属合金是镶牙最常使用的材料,分为贵金属(如金合金)、半贵金属(如银合金)和普通金属(如镍铬合金)。"镍铬合金"目前的应用存在一些争议,因其使用 一段时间后因金属氧化,会出现牙龈发黑等问题,另有国外报道会引起身体健康问题,所以有些规范的门诊都已经停止使用。
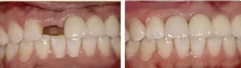
全瓷牙是颜色、质地最接近天然牙的一种较理想的修复材料。也是目前应用于缺牙的固定修复或前牙美容性修复最广的材料。

全瓷牙:弥补传统,塑造真牙
全瓷牙是目前全球公认的高端的修复体,它的出现弥补了多年来传统烤瓷牙美观不足上的空缺。现在,二氧化锆全瓷牙作为全瓷牙完美升级技术,在注重牙齿美观的前提下,更强调牙齿结构天然、完整,与口腔各部的高度生物相容,利用健康环保的仿生材料,塑造与真牙一样美观自然的牙齿,让你轻松绽放靓丽笑容。
(一)二氧化锆全瓷牙的七大显著优势:
1、无厚重感:二氧化锆全瓷牙牙龈边缘无黑线,无厚重感,无牙龈红肿出血现象,更无不良金属离子渗出影响健康,让你真正感觉到烤瓷牙是从你自己的牙龈里长出来的。
2、美观逼真:全瓷牙与真牙相匹配的透光性,不再有在灯光下青牙闪闪的尴尬。美观逼真,永久不变色,在外人看来会跟真牙一样。
3、适用范围广:全瓷牙适合各种不满意的牙齿,如个别牙不整齐,出现牙缝过宽、断牙、缺牙等都可以通过这种方法来弥补。
4、超强抗压强度:二氧化锆原为宇航材料,完全不必担心瓷崩裂的现象。通过高温,把金属与陶瓷粉结合在一起后,可以有足够的力量来承受口腔内的咀嚼力,耐磨耐用。
与任何有关镶牙的问题可以直接给我留言,或者是关注牙医小团获取最新的直播资讯吧!说不定你的问题也会被选中解答哦~
微信公众号搜索“KeenDental”,定期推送护牙资讯,还有福利送哦!