胚胎解剖学基础
呼吸憩室(肺芽)是前肠腹侧壁的一个分支。

肺芽与前肠相通。气管、食管的脊状突起将憩室与前肠分开。前肠背侧分化为食管,腹侧分化为气管和肺芽。孕8周时,前肠与气管食道隔分裂未能正常完成,就会引起相应的畸形。

食管闭锁定义
食管闭锁是指 食管的中断,导致食管形成盲袋,通常位于气管分叉处或其上方。食管闭锁的发病率约为2.4/10000。90%的食管闭锁合并气管食管瘘。
食道闭锁的分类
I型:单纯食管闭锁。食管上、下两段不相通均为盲端,不伴气管食管瘘。此型胃不充盈,上端食管呈盲端,占6%~7%。

II型:食管闭锁伴上段气管食管痿。上段食管闭锁并与气管形成痿管,下段食管为盲端,此型胃不充盈,上端食管呈盲端,此型少见,占1%~2%。

III型:食管闭锁伴下段气管食管瘘,上段食管呈盲端,下段食管与气管间有痿管相通。此型胃充盈,上端食管呈盲端,最常见,约占86%。


IV型:食管闭锁伴上、下段气管食管痿。此型胃充盈,上、下端食管呈盲端并均与气管形成痿管,占1%~5%。

V型:无食管闭锁,单纯气管食管痿。此型胃充盈,食管不呈盲端,占4%~6%。

超声表现
食道是连接咽和胃的结构。食道通常呈闭合状态。
超声表现为四条线状高回声,代表食道的前后壁。食道内因胎儿吞咽偶尔可见液体,因而可显示为一根细小的管道。

由于食道并不成一条直线,多数情况下显示整体结构比较困难。颈部、胸部和腹部部分可分别显示。

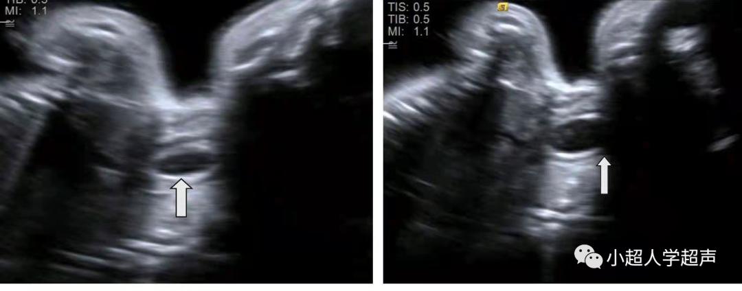
直接征象 :食道盲端的囊袋征,胎儿颈部的囊性结构


间接征象 :
- 小胃或者胃不显示

- 羊水过多
- 多数伴发其它畸形或染色体问题
产前超声很难显示食管闭锁部位,所以很难进行准确的分型,常常通过羊水过多、胃泡不显示、腹围小等一些间接征象并动态观察胎儿吞咽羊水时是否出现颈部的“囊袋样”无回声来提示食管闭锁,因此产前超声对食管闭锁的检出率各家报道不一,大多不超过50%。
小技巧
- 颈段食道在矢状面显示最佳
- 胸段则在气管后面,与气管平行
- 最远端的腹部部分偏离脊柱,在胃的入口处可以看见。
- 在早孕期(12--16周)采用经阴道探头观察食道比晚孕期容易
- 晚孕期则可用高分辨线性探头观察
鉴别诊断
淋巴管瘤、鳃源性囊肿、舌骨囊肿、喉囊肿等囊性肿块
鉴别点:上述肿块在检查过程中形态、大小不变,有囊性肿块的占位效应。
食管闭锁的“囊袋样”无回声在检查过程中会观察到无回声结构 随胎儿吞咽动作大小有所改变 。
