大家好!我是福爸,执业医师,专注研究体重管理和疾病营养治疗二十余年。希望我的文章对您有用。
现在经常听到有人说自己心脏不好,怎么不好啊?缺血!心脏不是负责血液循环的发动机吗,怎么分分秒秒和血液打交道的心脏也会缺血呢?福爸为您细细道来。
为什么会有心肌缺血
心脏和所有器官一样也是要有血液带去营养和氧气,带走代谢产物和二氧化碳的。供应心脏的血液通过冠状动脉进入心脏,冠状动脉有左右两根,从主动脉根部发出进入心脏。由于心脏一直不停的跳动,所以耗氧量很大,对于缺氧特别敏感。所以一旦心肌缺血,就会产生严重后果。

心肌缺血较轻的时候可以没有明显症状,或者耐力下降,活动后胸闷,心电图会有一些改变。重一点会有心绞痛,突然发作的心前区压榨性疼痛。再严重的堵塞了冠状动脉就会发生心肌梗塞,心功能衰竭,甚至死亡。
心肌缺血的病因
引起心肌缺血最重要的原因是冠状动脉粥样硬化,简称冠心病。因此,引起动脉粥样硬化的原因就是心肌缺血的原因。
- 有些是不能人为干预的因素,例如遗传、年龄、性别;
- 有些促进动脉粥样硬化的因素和饮食习惯生活习惯有关,例如高热量高脂高糖饮食,蔬菜吃得少,缺乏运动,烟酒嗜好等;
- 有些因素和疾病有关,例如高血压、糖尿病、高脂血症、高尿酸血症、高同型半胱氨酸血症等,都会加速动脉粥样硬化。

从青少年开始动脉粥样硬化就已经开始了,在多种因素共同影响下缓慢发展。影响因素多的人,三四十岁就会得冠心病。而影响因素少的人也许终身都不会有冠心病。
心肌缺血的预防
知道了心肌缺血的原因,那么就能知道该如何预防了。营养均衡的饮食、适当的运动、戒烟限酒、劳逸结合、减肥、积极治疗高血压糖尿病高脂血症等慢性病,都能有效减少冠心病风险。

这里还要强调一下预防冠心病的重要性。我们心脏的心肌是不能再生的,是终身一次性使用的,一旦缺血坏死就无法挽回了。偏偏现在没有能有效根治冠心病的方法,因此预防冠心病就非常重要了。
如何改善心肌缺血
首先还是前面讲到的预防措施,去除导致动脉粥样硬化的病因。这是治疗心肌缺血的基础。
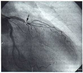
对于稳定性心绞痛,治疗重点在于稳定粥样斑块和抗血小板治疗。他汀类药物降低胆固醇和低密度脂蛋白,还能稳定粥样斑块。阿司匹林等抗血小板药物也是常用药物。另外根据病情使用其它药物。对于不稳定心绞痛,一定要做冠状动脉造影,了解有没有明显的狭窄,必要时冠状动脉支架置入,或者外科搭桥手术。

对于急性心梗的患者,一定要尽快再通堵塞的冠状动脉,3小时内可以选择溶栓治疗,超过3小时冠状动脉支架置入是最重要的治疗手段。
我是@福爸聊营养,执业医师,专注研究体重管理和疾病营养治疗二十余年。觉得我说得有道理,就关注我呗,这里有不少实用有趣的营养健康知识。