关于烤瓷冠,相信大家都或多或少有些了解,写这篇文章也是由于一个粉丝的提问,所以我准备了一些内容分享给大家,包括大家比较在意的问题都做了比较详尽的解答,话不多说我们直接进入正题:
烤瓷冠兴起于上个世纪八九十年代,相对于现在来说,当时的技术还不太成熟,且寿命只有5-10年左右,很多做过的人就会发现这个烤瓷牙用的越久,所暴露出的问题也就越多,像我们题目中提到的牙龈黑线、口臭、塞牙时有发生,除此以外还有诸如:牙龈红肿、烤瓷牙脱落等问题,那究竟是什么原因导致这些问题的发生呢?发生了这些问题后我们又要怎么办呢?

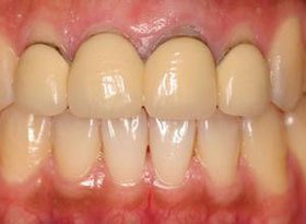
牙龈黑线

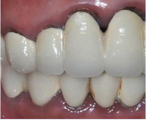
牙龈退缩
我们边了解烤瓷冠,边回答问题,这样比较连贯哈!
烤瓷冠由内部的金属基底层和外部的瓷层两层构成,根据其金属基底冠材料的不同分为三类:非贵金属合金烤瓷冠、贵金属合金烤瓷冠、钛合金烤瓷冠。
1.非贵金属合金烤瓷冠,在临床上最常用的非贵金属包括:镍、铬、钴、铝等,其中以镍铬合金烤瓷冠、钴铬合金烤瓷冠为代表,这两种材料当前市面上使用最多的烤瓷冠,价格相对来说比较容易让人接受。非贵金属在高温下容易被氧化,抗腐蚀能力相对较弱,尤其在湿润的口腔环境中,易析出金属离子,它游离出来后在牙龈中沉积下来,可能致使牙龈呈现灰黑色或灰色,就形成了牙龈黑线,当然这也不单只是材料的问题,与医生的技术水平也有一定的关系,发生这种情况的话只能重新更换牙冠,材料的话可以选择贵金属烤瓷冠大大降低牙龈黑线出现的几率,而全瓷冠则可以避免黑线的出现。另外,牙周有问题的话,会导致牙龈退缩,暴露烤瓷牙的边缘,也会影响美观,这与前面说的牙龈黑线是两种情况,要区别对待,对于后者,首先牙龈退缩是不可逆的,只能以预防为主,所以建议做烤瓷牙之前要充分检查口腔状况,有牙周问题的建议先进行治疗,再进行做冠修复,这里划个重点:并不是说控制了牙周炎症,牙龈就能长回来哦!如果已经发生了这种情况的话,需要摘冠进行牙周治疗,然后重新做冠。另外,牙龈退缩了以后,原修复体与牙龈的接触面必然会出现不够密合的状况,时间久了自然会有食物塞嵌,口臭的情况发生。回归正题,还有一点需要注意的是:部分非贵金属还具有致敏性,容易造成牙龈红肿等现象;发生这种现象要及时就医,摘冠进行脱敏治疗。

钴铬合金烤瓷冠
2.贵金属合金烤瓷冠,贵金属具有良好的化学惰性使其具有抗氧化和抗腐蚀的能力,临床上最常用的贵金属包括:金、铂、钯等,其中贵金属合金烤瓷冠多以金合金烤瓷冠为代表,我们常说的贵金属合金烤瓷冠多是指黄金合金烤瓷冠,这种材质生物相容性要优于非金属合金烤瓷冠,但普遍报价比较高,另外就是,牙龈黑线问题发生的概率也有,只不过比非金属合金烤瓷冠低。

黄金合金烤瓷冠
3.钛合金烤瓷冠,介于贵金属与非贵金属合金烤瓷冠之间,首先钛这种材料具有良好的生物相容性、耐腐蚀性、低导热性等优点。但由于其铸造成本比较高,且极易被氧化,金属基底与瓷层的结合相对较差,容易出现崩瓷的现象,所以,限制了其广泛应用。
烤瓷冠我们一般统称金属烤瓷冠,就现在而言做的人已经没有以前那么多了,再结合未来的趋势来看:修复无金属化技术受众人群更加广泛,因此,全瓷冠就应运而生了,作为当前比较理想的牙齿美容技术,它的优势也是无可厚非的:其与人体的生物相容性最好,不会刺激牙龈而出现牙龈发炎,牙龈变色现象,而且较于金属烤瓷冠来说,颜色表现方面更胜一筹,通透自然,不仅有更多的瓷块儿可以选择,而且整体更接近于真牙。

全瓷冠
这是我的一例全瓷冠案例,大家可以看一下:

另外,就是大家如果有问题的话可以在文章下方留言,或者直接搜索@北京口腔医生王丽 私信咨询,一定在第一时间回复大家。