来源:熊猫放射
作者:花人青(授权发送)




















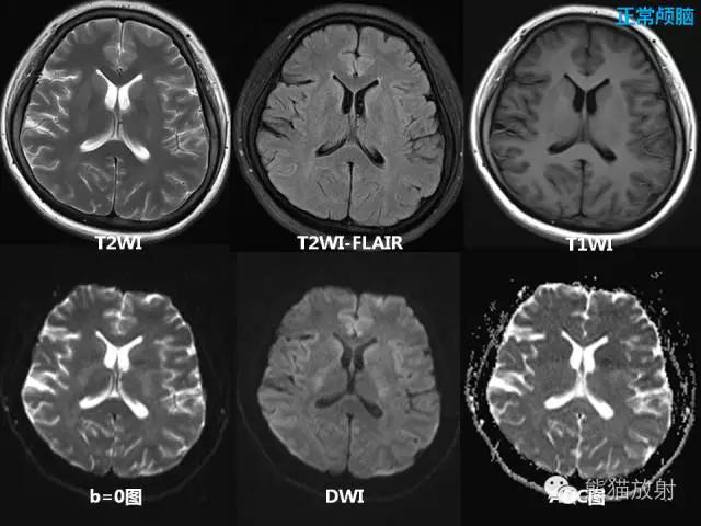
浅析核磁共振里的T1,T2参数
1、T1观察解剖结构较好。
2、T2显示组织病变较好。
3、水为长T1长T2,脂肪为短T1长T2。
4、长T1为低信号(暗),短T1为高信号(亮)。
5、长T2为高信号(亮),短T2为低信号(暗)。
6、水T1黑,T2白。
7、脂肪T1白,T2灰白。
8、T2对出血敏感,因水T2呈白色。
T1加权成像、T2加权成像
所谓的加权就是“突出”的意思
T1加权成像(T1WI)----突出组织T1弛豫(纵向弛豫)差别
T2加权成像(T2WI)----突出组织T2弛豫(横向弛豫)差别。
在任何序列图像上,信号采集时刻横向的磁化矢量越大,MR信号越强。
T1加权像 短TR、短TE——T1加权像,T1像特点:组织的T1越短,恢复越快,信号就越强;组织的T1越长,恢复越慢,信号就越弱。
T2加权像 长TR、长TE——T2加权像, T2像特点:组织的T2越长,恢复越慢,信号就越强;组织的T2越短,恢复越快,信号就越弱。
质子密度加权像 长TR、短TE——质子密度加权像,图像特点:组织的 rH 越大,信号就越强;rH 越小,信号就越弱。脑白质:65 % 脑灰质:75 % CSF:97 %
脂肪、骨髓不论在T1WI、T2WI和PDWI(质子加权像)图像上均呈高信号
肌肉、肌腱、韧带:肌肉在T1WI、T2WI和PdWI上均呈中等强度信号(黑灰或灰色)。肌腱和韧带组织含纤维成分较多,其质子密度低于肌肉,其信号强度较肌肉组织略低,该组织也有长T1和短T2,其MR信号为等信号或较低的信号。
骨骼、钙化:T1WI、T2WI和PDWI图像上均呈信号缺如的无(低)信号区。
软 骨:在T1、T2加权像上信号强度不高,呈中低信号
血 流:快速流动的血液因其“流空效应”,在各种成像上均低(无)信号血管影;而缓慢或不规则的血流,如:湍流、旋流等,血管内信号增加且不均匀。
淋巴结: 淋巴结组织的质子密度较高,且具有较长的T1和较短的T2弛豫特点。根据信号强度公式,质子密度高,信号强度也高。但在T1WI时,因其长T1特点,使其信号强度不高,呈中等信号;而在T2WI上,因其T2不长,使信号强度增加也不多,也呈中等信号。
水 肿: 无论何种类型水肿,细胞内或组织间隙内的含水量增加,均使T1值和T2值延长,Pd值降低,故在T1WI和PDWI图像上水肿区呈较低信号,而在T2WI图像上则呈明显的高信号,对比鲜明。
【版权声明】本平台属公益学习平台,转载系出于传递更多学习信息之目的,且已标明作者和出处,如不希望被传播的老师可与我们联系删除