
拿到一张检查单,想必大家都想知道每一项代表的意义,而许多东西更是在来医院之前闻所未闻。今天我们就带大家了解一张“前列腺液常规检查”报告单中的那些要点!
前列腺分泌的液体叫前列腺液,里面富含卵磷脂小体、锌、柠檬酸、前列腺特异性抗原等物质,参与精液的组成(约占精液的30%),维持精液的量及PH值,为精子提供能量。

调查发现,中国15-60岁男性报告前列腺炎症状的比例高达8.4%,很多患者因此产生严重的心理负担,担心影响性功能、生育、传染配偶、变为恶性肿瘤等,四处求医,花费大量金钱,甚至出现失眠、焦虑、抑郁等情况。许多患者在已经确诊前列腺炎后,并不知道自己是如何被诊断的,也弄不清楚前列腺液的检查结果是怎样的。还有些患者仅仅记得每次检查前列腺液内的白细胞有多少个,且仅仅根据白细胞的升降来判断病情好转与否。实际上,这些认识都是有偏差的,如果单纯以某一项前列腺液化验结果来判断前列腺炎的病情好与坏,这样简单的分析患者自己就可以了,也就不需要医生了。仔细分析一份前列腺液的检查结果:先观察前列腺液内的许多检查项目,同时需要结合患者的许多具体情况和临床症状的全面判断,综合分析的。前列腺炎患者前列腺液的显微镜下细胞学检查是实验室诊断的常用方法:主要通过检查卵磷脂小体、红细胞、白细胞、脓细胞、颗粒细胞、淀粉样小体等的数量来判断前列腺是否发生炎症及其程度,协助对前列腺炎的临床诊断。通常以按摩前列腺液内的卵磷脂小体多于+++/HP,白细胞<10个/HP,无脓细胞,无或偶见红细胞,表示前列腺未发生微生物感染或不存在前列腺炎症。

一、 如何获取前列腺液
1、建议禁欲3-7天,因为排精及情绪兴奋可使前列腺液中的白细胞计数增高,影响诊断,但如果禁欲超过7天,前列腺也会有白细胞积聚,可能会造成炎症的假象。
2、首先患者应排空大便,按摩前取“弯腰扶椅位”,露出*头龟**及尿道口,施术者右手示指带指套或乳手套,也可用避孕套代替,涂抹少量凡士林或 石蜡 油在指套上,操作时先在肛门周围按摩几下,促使肛门肌肉放松,然后将示指慢慢入肛门,指腹向下,在其下方大约3—4cm处可扪及栗子大小的列腺,中央有一浅沟。在前列腺两侧叶自外上方向内下方各按:3—4次,再在 中央沟 从上向下依次按压3—4次,此时患者会有排尿感,并有乳白色液体自 尿道 流出,用玻璃片接着,就可送检。如无液体流出,可在按摩后取尿送检,只要按摩后 尿液 混浊,说明有少量前列腺液经按摩挤压后进入尿道,被尿液冲出。


3、急性前列腺炎禁按摩前列腺,有痔疮的患者慎行。
4、取出前列腺液后要立即送检。

二、前列腺常规检查化验单主要内容
1、前列腺液外观
前列腺液外观是乳白色稀薄液体,当外观呈黄色、红色、棕红色或含黑色血块都是不正常的。见于长时间不排精,血精。
2、前列腺液量
前列腺液量一般0.5ml-2ml,量过多或者按摩不出来(排除技术问题)都是不正常的。见于炎症,腺管梗阻。
3、PH值
正常前列腺液呈酸性PH值为6.5--6.8,前列腺炎时PH值可增高。
4、白细胞
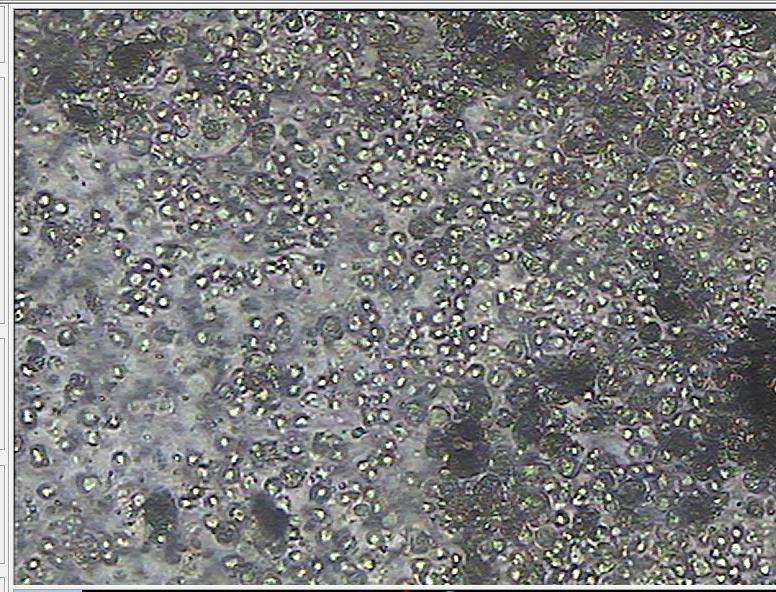
正常前列腺液内有少数白细胞,但无红细胞,白细胞一般<10 个/高倍视野,临床上白细胞数如>10个/高倍视野,或成堆出现,即可诊断为慢性前列腺炎。 白细胞:0-9个/HP(即每个高倍镜视野)为(-)或(±)、11-20个/HP为(+)、21-30个/HP为(++)、31-40个/HP为(+++)、40个以上/HP为(++++);前列腺炎时,前列腺液中白细胞数量增多,并成堆分布。临床上认为报告白细胞数量大于10个/HP或成堆出现,即可诊断为前列腺炎,特别是前列腺液中发现含有脂肪的巨噬细胞,基本可确诊为前列腺炎;报告大堆、小堆、条索状(镜下WBC成大堆并有黏液形成),说明存在前列腺导管(腺管)堵塞现象;报告白细胞活跃表示吞噬旺盛,说明急性炎性反应,报告白细胞陈旧说明处于慢性期。 不要把化验单上前列腺液中的白细胞数量作为“晴雨表” 。如果经治疗后症状减轻,甚至消失了,前列腺液中白细胞数反而增加,这可能并不意味着病情加重,而是堵塞的腺管疏通了,是疾病有所改善的表现。

(显微镜下的白细胞)

(显微镜下可见:白细胞大于10个/HP)

(显微镜下可见:脓细胞团,提示前列腺有明显感染)

(显微镜下见:白细胞4+?脓球4+?10倍视野)
5、卵磷脂小体
卵磷脂小体 为大小不等、圆形或卵圆形、均匀分布、有折光性的小体,略小于红细胞。正常前列腺液可见多量或满布视野的卵磷脂小体。前列腺炎时,卵磷脂小体常减少,并有成堆现象。 卵磷脂小体三个或三个以上“+”号(75%)以上为正常,最高为四个“+”号。也就是说正常值是75%―100%(+++~++++)。小于三个“+”号即前列腺有炎症。两个“+”号是轻度炎症,一个“+”号是重度炎症。(说明卵磷脂小体一个“+”号代表25%比率。)

(显微镜下卵磷脂小体)
6、红细胞
正常前列腺液中无或仅有少量红细胞,当前列腺出血或按摩手法过重时。会有大量红细胞存在。此时镜检可见多量红细胞,如下图所示:

7、精子
前列腺液中偶可见少量精子,无临床意义。

8、淀粉样颗粒
淀粉样颗粒由磷酸钙沉淀后形成,与胆固醇结合可形成前列腺结石。

这些检查中的项目,以PH值、卵磷脂小体、白细胞最具临床意义,是主要检查指标。您,了解了吗?
总结:1、前列腺液常规检查是诊断前列腺炎的主要方法,白细胞为炎症的标志,卵磷脂小体为前列腺上皮细胞所分泌,炎症时,前列腺上皮细胞分泌功能降低,巨噬细胞的吞噬作用也导致卵磷脂小体减少。当镜检时白细胞>10个/HP,且成堆存在,上皮细胞量增多,卵磷脂小体减少,且分布不均匀或有成堆现象,腺液外观无明显改变时,可诊断为慢性前列腺炎。而前列腺液浓稠,外观呈不同程度的脓性或脓血性液体。镜检时可见大量成堆白细胞及上皮细胞和不同数量的红细胞,卵磷脂小体明显减少,提示前列腺严重感染或脓肿。红细胞增多或大量出现,常认为由精囊炎、前列腺化脓性炎症及前列腺癌等病变所致,当然若按摩用力过重也可引起红细胞大量出现。
2、 前列腺液 pH值与白细胞、卵磷脂小体的关系: 前列腺液 pH值增高,白细胞增多,卵磷脂小体的检出量减少; pH值减低,白细胞减少,卵磷脂小体的检出量增高。对临床诊断有意义。
3、患者多次按摩均无前列腺液排出,往往提示前列腺分泌功能严重不足,一般认为是前列腺炎症性纤维化和某些性腺功能低下等疾患。
4、一般泌尿外科或男科医师认可的是前列腺液常规检查3次以上正常,才可视为痊愈。这是因为,前列腺由30-50个腺泡组成,借助15-30条导管(腺管)开口于尿道,按摩取液时,有时候感染小房病灶的EPS因导管堵塞未能把有炎症的部分挤出,前列腺液中的白细胞数量就很多,或成堆,或满视野,而有时也会挤出的前列腺液则可能来自于无感染的腺泡,前列腺液就是正常的。所以,临床上可遇到一些患者,首次检查前列腺液常规中的白细胞数有可能正常,但前列腺局部的压痛肿胀体征却很明显,经过治疗后堵塞的导管畅通了,症状减轻了,复查时又可见到成堆的白细胞。
5、前列腺液常规检查不能作为前列腺炎疾病严重程度的评估指标。因为:(1)前列腺中不同部位的炎症程度往往不同,前列腺按摩取得的标本常常以中央带腺泡分泌液为主,而前列腺炎好发于外周带,外周带腺泡中聚集的白细胞无法进人标本,所以某一次收集的前列腺液难以准确反映整个前列腺的病变。(2)前列腺发生炎症时,腺腔内有炎性细胞和炎性渗出物存留,腺体上皮组织有不同程度的.破坏而分泌功能降低,卵磷脂小体分泌减少。但是,卵磷脂小体数量的减少仅仅反映了前列腺炎症的浸润程度,并不能反映腺_上皮受破坏的程度。(3)前列腺炎致病原因和发病机制复杂,患者症状不单纯是由前列腺局部的细菌感染和炎症所致,而是多种因素作用的结果,尤其是当患者存在精神心理因素、盆底神经肌肉痉挛等非致炎因素的作用下更表现这种特点。