随着人们对体检越来越重视,肾囊肿的发病率也越来越高。 平时我们门诊经常会碰到病人拿着肾脏B超报告,跑到门诊问我们“吴医生,肾脏囊肿要紧伐?要开刀吗?”,那 肾囊肿 到底是什么疾病呢? 是否一定要手术治疗呢?希望今天的科普,能帮大家扫盲,从而对肾囊肿有更客观的认识。

左侧2图正常肾脏,右侧2图为肾囊肿
1、 肾囊肿是怎么回事?
肾脏是人体最容易发生囊肿的器官之一,通俗讲,就是肾脏内部或是外部形成了与外界不同的闭合性腔隙,囊壁细胞可分泌囊液,继而囊肿会逐渐增大。肾脏有很多疾病会产生肾脏囊性变,被称为“肾囊性疾病”,大体分为两类,一类是遗传性的,另外一类是非遗传性的。
遗传性肾囊肿中,最为常见的是 多囊肾 (又分为常染色体显性遗传性和常染色体隐性遗传性)。发病率约1/500,具有家族聚集性,男女均可发病,一般30-50岁发病,往往没有临床症状,但随疾病发展,可出现腹痛、腹部包块、肾功能损害等临床表现,部分病例可有血尿、结石、尿路感染等症状。

左图为单纯性肾囊肿(多发),右图为多囊肾(遗传性肾囊性疾病)
非遗传性肾囊性疾病中,最常见的是单纯性囊肿 (临床中常说的散发性肾囊肿)、多发肾囊肿、获得性肾囊肿、肾盂旁囊肿等。
2、 为什么会长 肾囊肿呢?
截止目前为止,肾囊肿的成因并不十分明确,但是研究发现,不管哪一种类型的囊肿,都存在囊肿结构的相似性,多数起源于肾小管上皮,形成局部的囊泡,当超过2mm左右,便脱离了肾小管,形成了密闭性的囊泡。有些学者认为,肾囊肿的形成与肾小管上皮的细胞外基质发生了改变,比如基底膜变薄、多层、炎细胞浸润等;还有与细胞骨架的改变、细胞膜的极性变化等相关。当然,遗传性肾囊性疾病,主要是存在基因突变(PKD1\2\3),并遗传给子代的缘故。
也有人认为,当代生活工作的快节奏、不喜欢运动、长期久坐以及和不良的饮食习惯等因素会诱发肾囊肿的发生。
3、 肾囊肿会有什么感觉?
一般来说,肾囊肿在初期可能不会有任何不适的感觉,多数是因为健康体检或是因为其他疾病查腹部B超时候发现的。但随着疾病的发展,可能会出现以下症状1)腰酸腰胀,甚至腰痛; 2)肾囊肿压迫肾盂输尿管,引起尿路梗阻,继而导致尿路感染、肾功能受到影响;3)肾性高血压;4)血尿或蛋白尿;5)可以摸到腹部包块;6)癌变等。
4、 发现肾囊肿,需要做什么检查确诊?
肾囊肿的诊断,需要和肾积水、肾肿瘤等疾病鉴别。
平时我们一般是通过健康体检或是查B超时候发现肾囊肿的。所以我们要检查自己是不是有肾囊肿,最简单、经济的方式是做个1)双肾B超,1cm以上的囊肿基本上都能发现,能大概了解囊肿位置、大小、数目等情况。 而当B超提示囊肿有分隔、钙化、或是实性成分时,需要进一步建议大家做 肾脏的增强CT或是核磁共振(MRI) 来排除肾恶性肿瘤性疾病。可以进一步判断囊肿的分型,并和肿瘤性病变做鉴别。3)怀疑是肾盂旁囊肿,或是考虑肾囊肿与集合系统(肾盂、输尿管)等关系密切时,需要做泌尿系CTU辅助诊断。而对于双肾囊肿,多发性肾囊肿或 有家族史的人群,推荐基因检测,排除遗传性肾囊性疾病。

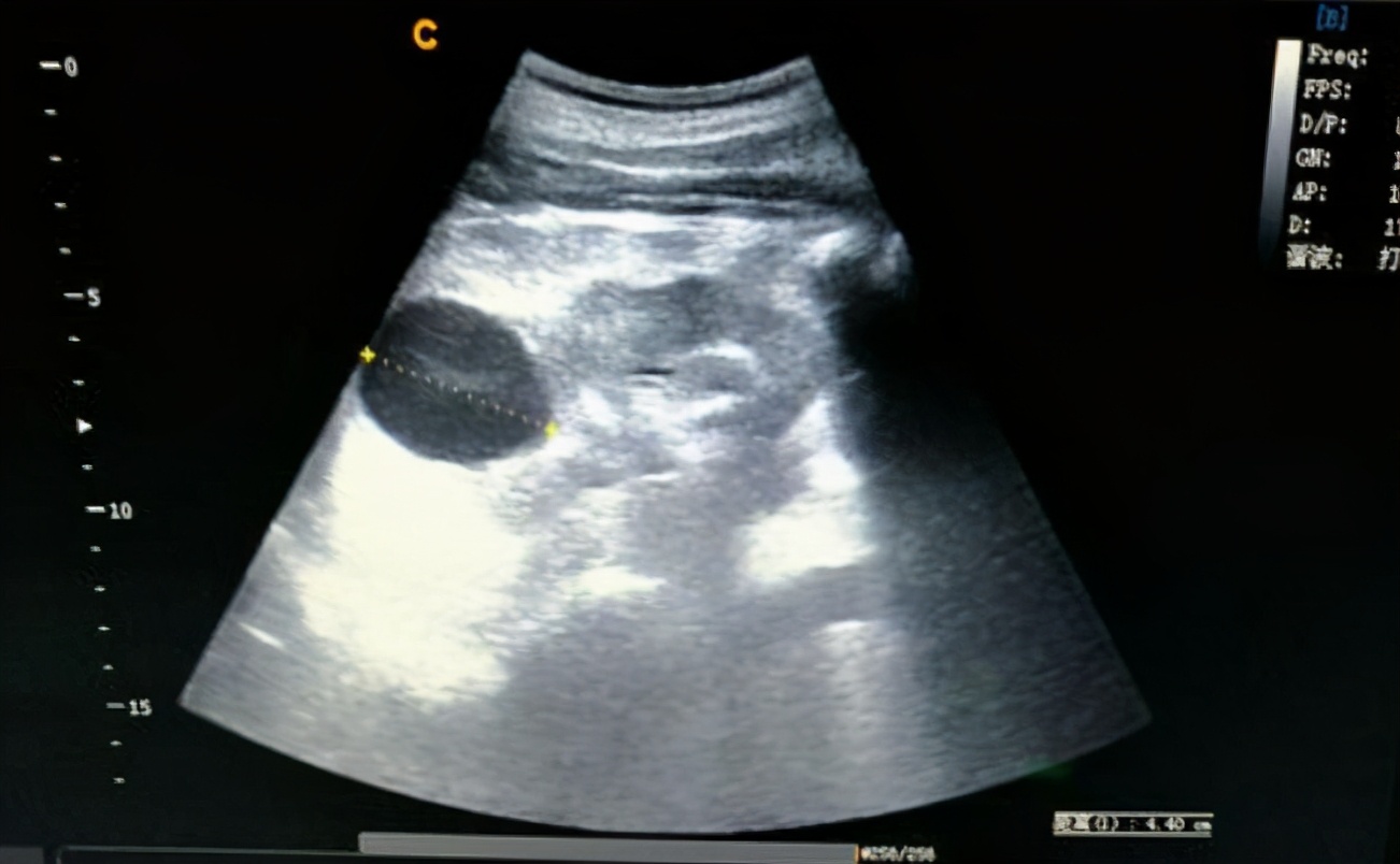
B超下肾囊肿典型表现为液性暗区

CT下可见左侧肾脏低密度灶,CT值与水分类似,无强化表现
5、 肾囊肿是否需要手术治疗?
肾囊肿是否需要治疗,取决于1)是否明确症状;2)是否有影响肾功能;3)是否出现高血压等合并症;4)是否存在肾恶性肿瘤病变的可能性;5)肾囊肿的大小;6)肾囊肿患者的治疗意愿。
多囊肾的主要的治疗方式:1)对症支持治疗,比如治疗高血压、预防感染;生活起居注意保护腰部,避免囊肿破裂等;2)定期随访,监测囊肿变化;3)囊肿去顶减压术,开放或是腹腔镜微创手术;4)透析或是肾移植:针对终末期肾病的多囊肾患者。
而对于我们平时所提的最常见的散发性肾囊肿,有一个分级系统,Bosniak分型系统。根据这个分型系统,我们推荐治疗:
1、Ⅰ型表现为薄壁无分隔、无钙化、无软组织,水密度,CT值小于20HU,无强化,恶性概率一般小于2%,推荐定期随访
2、Ⅱ型表现为薄壁无强化,可有1-2个薄壁分隔,有细小钙化,高密度病灶小于3cm,一般恶性概率为10%左右;推荐定期随访
3、ⅡF型表现为囊壁和分隔微强化,轻度增厚和结节状钙化,不强化软组织,不强化高密度病灶大于3cm,恶性概率一般为20%,需要严密随访监测;
4、Ⅲ型囊壁分隔不规则强化,囊壁均匀增厚,结节状或不规则钙化,恶性概率为30%-60%。治疗选择存在一定争议,但多数建议手术
5、Ⅳ型增强后强化明显,增强10HU以上,囊壁不均匀增厚,大结节和清晰软组织,恶性概率大于90%,囊性肾癌可能性大,建议手术
6、 肾囊肿有哪些治疗方式?
1) 随访:单纯性囊肿,<4cm, 无症状,无感染、出血等情况,定期随访即可
2) 囊肿去顶减压术:目前针对于>5cm的肾囊肿首选的治疗方式,可以通过开放或是腹腔镜(机器人)等术式,首选腹腔镜手术
3) 囊液抽吸+硬化剂注射治疗:经皮B超或CT定位下将囊液抽吸,并在囊肿内注入无水乙醇等硬化剂进行治疗,但复发率较高。