
许多人会发现自己的眼睛不再“黑白分明”,眼球上长出一块多余的“肉”,似翅膀状,因为不知道这是什么,所以恐慌。其实在医学上,我们把这种外形类似昆虫翅膀的肉称为“翼状胬肉”。翼状胬(nǔ)肉是一种眼科的常见病,早期症状并不明显,随着时间推移会逐渐增长,最终影响视力,甚至造成失明,因此需要重视起来。

来来来,我给大家说说翼状胬肉这个小老弟的一些事情。
问
什么是翼状胬肉?
中医称"攀睛",俗称"鱼肉",是一种常见的结膜变性疾患。为睑裂部球结膜及结膜下组织发生变性、肥厚、增生,向角膜内发展,呈三角形,如翼状,故名。可覆盖至瞳孔区而影响视力。单眼或双眼受犯。

问
“翼状胬肉”的病因
为什么会长翼状胬肉?如何预防?
主要是因为长期暴露于阳光下,与紫外线照射有关,其次与遗传因素、烟尘、风沙、生产性毒物、眼表炎症刺激有关。在日常生活中,应注意避免外界环境的刺激,减少眼睛受烟、尘埃、风尘、有害气体、过度阳光及寒冷干燥等的刺激,避免过度用眼、过度使用电脑、手机等电子产品,注意眼部卫生。眼部长期的慢性炎症刺激,如慢性泪囊炎,则需积极行泪囊手术,解除眼部刺激症状,减轻眼部慢性炎症,再行翼状胬肉切除术。




问
“翼状胬肉”的症状
1、初期一般无明显自觉症状,或仅有轻微异物感;
2、进行性胬肉充血明显会呈现红色,常给人一种眼红的感觉;
3、胬肉逐渐长入角膜后会牵拉产生散光,引起视力下降,如果长到角膜中央,遮盖瞳孔区,甚至可以引起失明,并且肥厚挛缩的胬肉也可限制眼球的运动。


呀呀呀那被翼状胬肉缠上了怎么办捏?
解
“翼状胬肉”的治疗方法
一、药物治疗
1、非甾体抗炎药,如普拉洛芬滴眼液,可以缓解胬肉引起的眼红、流泪、疼痛、异物感等不适但不能阻止胬肉的发展。可在医生指导下短期使用。

二、手术治疗
1、单纯切除:操作简单,时间短,术后复发机率大;
2、胬肉切除联合自体角膜缘干细胞移植:目前主流的手术方式,术中取患者自体角膜缘干细胞缝合于胬肉切除后缺损的球结膜处,可有效减少术后复发,极大程度改善术后的外观,术中也可根据病情使用抗代谢药物或羊膜。

大概了解了一下,但我还是好怕怕哦。


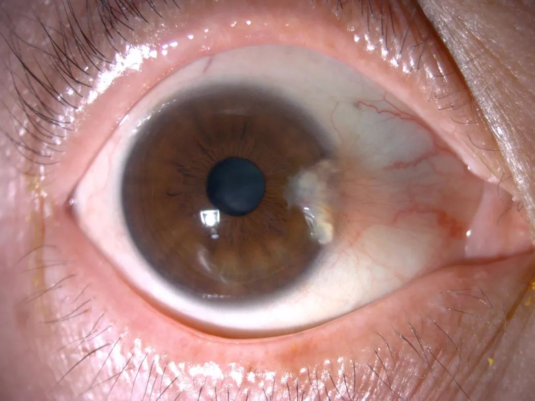
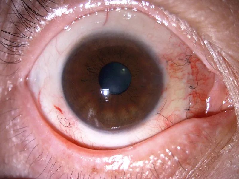
欣赏一下南阳医专一附院眼科显微镜下的“艺术”

手术前

手术后
眼科专家提醒
翼状胬肉是由于双眼长期暴露于烟尘、风沙、日光下,受到较多的冷、热刺激而引起,常见于户外劳动者,以渔民、农民多见,还可见于电焊工人。
但近几年来,年轻的病人越来越多,这与长时间盯着手机、电脑显示器等有关,让眼球就处于亚健康状态,容易出现干眼症等一些疾病,从而引起球结膜病变。

对于户外工作者,预防翼状胬肉首先要适当保护眼睛,户外活动尽量减少紫外线强度高的时段,可以佩戴墨镜防止风沙、紫外线对眼睛的伤害。
对于年轻人来说,眨眼睛就是缓解眼睛疲劳最简单的方法之一,眨眼的时候,眼睑会使眼泪在眼球表面形成一层泪膜,可以使眼睛表面保持湿润。
