几乎每个大学的女厕所,都用油性笔写满了代孕、捐卵的广告。看似违反常理的事情,却已经在国内形成了黑色的产业链。
2020年4月29日,网曝广州一家代孕机构为男同提供数百次代孕服务。而代孕的妈妈大多是20岁的年轻女性。

(图片来源 微博 )

(图片来源 微博 )
该机构称这些代孕的女性为“志愿妈妈”,捐卵的女性为“卵妹”。小编不禁想怀孕还能当“志愿者”?
据报道,国内代孕中介超过400家,一次费用40万至135万。主要根据外貌、身体健康、学历综合定价。
捐卵机构现状
据媒体记者报道,一个在上海学习活动策划的女生甜甜(化名),在十六岁经济不能自给时,选择了捐卵。
她说她是从网上找到的一个电话就直接打过去了,当时中介让她到佛山住下,然后在广州进行的体检和手术。
据甜甜描述,捐卵的中介并没有出示任何合法证件,也没有签订任何的合同,但是之前年纪太小,完全没有任何这方面的意识。
“到了广州,他们跟我见面之后,让我填了一些基本资料,他们说没问题,接下来就帮我找客户,然后就去他家住,大概有5-6天,然后我客户过来了,说确定要了。然后是体检。”

(图片来源 网络 )
该媒体也采访了上海某中介。该中介负责人说,捐卵之前要先去医院检查双侧卵泡数量,然后在月经的第二天打促排卵针,连着打七到十天,只取成熟的卵泡,最多取12个。
该中介声称:“我们只会取这个周期的卵泡,取完之后几天就会来月经,不会影响生育的。安全是有保障的。是公立医院的医生来做的,很安全。”
“取卵的针大概这么长”,甜甜比了比自己的腰,“大概两三毫米粗。”
当问及取卵的过程的时候,甜甜看起来有一些痛苦和后怕。“我问他了,就是说卵子怎么取,他们说会有一个手术,我问手术是全麻还是什么情况,他说手术不疼的。”
甜甜说:“但没有打麻药。手术前注意事项也都没有跟我说。当时的前半个过程疼得已经不行了,差点晕过去。”
“这个东西(捐卵)对身体伤害性实在太大了,它的过程实际上特别痛苦,每天都要打针,因为打在卵巢这个位置,每天都要往里面扎这块肌肉(卵巢外部)。”
中介跟甜甜说的是专业的医生、专业的手术室,但是在真正做手术的时候医生并没有出示医师资格证,手术室也仅仅是在居民楼里。
事后甜甜出现了严重的腹水,到了无法走路的地步。而当她想要追责的时候,该中介拒绝接听她的电话并且微信也被拉黑了,根本联系不上,由于事前没有任何合同,追责十分困难。
揭秘取卵手术
就像上文的甜甜一样。在国内,许多年轻的缺乏医学知识的女性由于经济状况不佳而去捐卵,她们从网上、厕所的墙上找到捐卵机构的电话,主动上了黑心机构的贼船。
然而,捐卵机构并不会告诉你手术的真相。通常人们在网上也只能找到对捐卵无关痛痒的描述——

(图片来源 网络 )
听起来似乎快速、无痛。但实际上,这个手术是这样——

(图片来源 网络 )
白色的这个是阴道超声,它右边的这个是穿刺针。穿刺针从阴道壁上穿破一个洞,一直伸到卵巢,刺进卵巢,进去吸取卵子。
穿刺针长下面这样——

(图片来源 微博 )
仅是取卵这个操作,会产生哪些当即就可能面对的风险呢?我们可以看一张来自某三甲医院的“超声引导下经阴道卵巢穿刺取卵术”知情同意书的相关内容——

(图片来源 网络 )
而国内大部分的取卵都是在小作坊、居民楼里,甚至手术全程都没有出示过医师职业资格证。手术的风险不言而喻。
卵巢过度刺激综合征
除了手术时的风险外,捐卵的女生们还要面对卵巢过度刺激综合征(ovarian hyperstimulation syndrome,OHSS)风险。
正常生育年龄女性每个月经周期排出一枚成熟卵子。
对捐卵者来说,取卵操作前需要打促排卵针,称为超促排卵。这种药物的使用可以在一个月经周期出现大量的卵泡。
这种药物使用会影响女性月经周期,影响卵巢功能。还有一种更为严重的后果,即卵巢过度刺激综合症。
由于促排针的影响,女性会达到一种高雌激素状态,使毛细血管通透性增加,引起腹水、胸水,进而导致低蛋白血症、血压下降、血液浓缩、肾血流量减少,出现少尿、电解质紊乱。
此时黑心机构会对她们说,“只要多喝水加强排泄就没事了。”
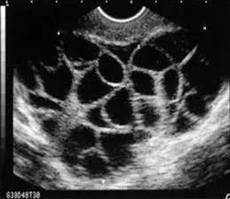
但是到了最后,肚子大到躺下都突出来,无法走路,结果到医院去检查是卵巢里长了两个十公分大的囊肿和很多小型囊肿。

(卵巢全是卵泡)
这样的情况在医院中并不少见。四川大学华西医院甚至专门有一个科室收治卵巢过度刺激综合征的患者。
微博上不少医生也纷纷站出来分享自己收治过的病例。

(图片来源 微博 )

(图片来源 微博 )
代孕和捐卵不仅是生理学上的问题,在伦理上也是应该被唾弃的。
由于各种黑心中介,将女性的器官、生殖功能明码标价,这个充满血腥与恶臭的市场才会形成;由于有些人想借此获得自己的孩子,就出钱买卵子、找代孕,这个市场才会如此庞大;由于有些女孩不懂医学知识,为了金钱,被骗去代孕、捐卵,才会有那么多悲剧……
女孩们,请保护好自己。不要被金钱所蛊惑,也不要被谎言蒙蔽。