前几天有个病例,我们分析过,如果肺内实性结节影像上是典型的恶性征象,那么不建议行肺穿刺活检。当然这也只是我们一家之言,不一定都正确。今天我们要分享的这个病例,我又是与此例不同,也是肺实性病灶,我是极力建议肺穿刺活检的!
金华的某A,今年66岁,前几天在当地医院查胸部CT平扫发现右上肺占位,当时来找我看时,我想首先肺内占位是要警惕肺癌的,建议其住院进一步做增强CT,以及完善其他相关检查。其中增强CT报告示:右上叶约7*6厘米的肿块,增强后显著强化。而且某A曾于2018年5月在本院做过肺部CT,当时右上肺没有病灶的。我们先来看这次的CT图像:






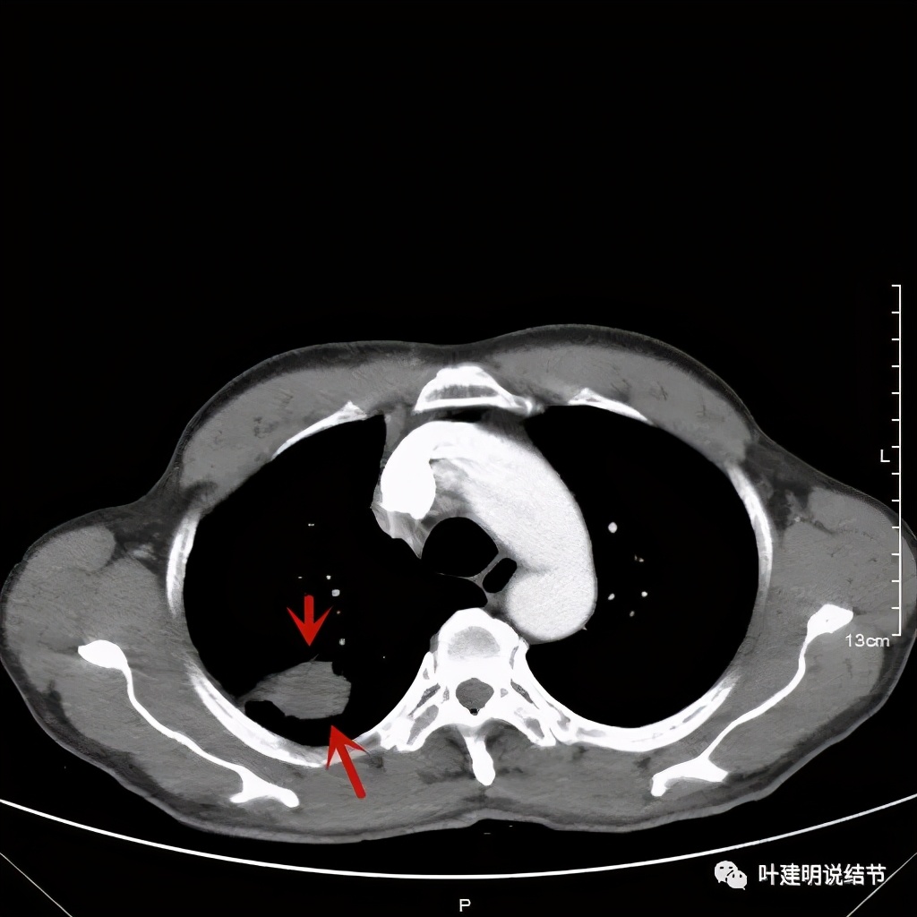
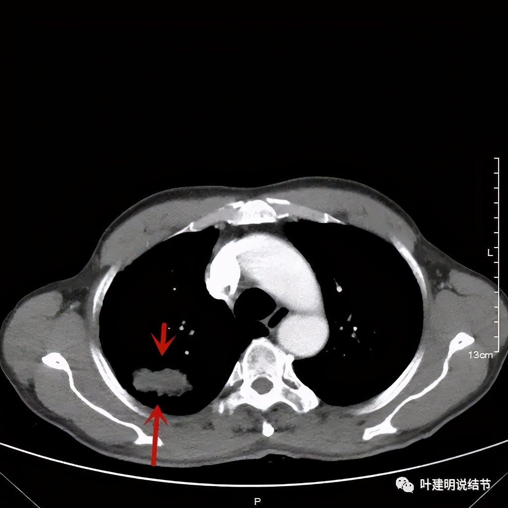
红色示病灶,绿色示病灶旁边有磨玻璃成分,但较为模糊;蓝色箭头示病灶与胸膜间有牵拉,但力度不太够。






以上诸图是纵隔窗
总体上感觉,病灶比较大,不规则,不是圆形或圆形生长,周围有模糊磨玻璃影(考虑炎性渗出性?),虽有胸膜牵拉,但力度不够;增强有显著强化。病灶明显却无明显临床症状,普通感染是不像的,要么是结核,要么是肺癌。但肺癌的话,在2年前没有,2年内长到这么大,恶性程度应该很高,但其纵隔淋巴结却没有明显肿大。而且病灶的边缘部分过于光滑,没有见到肿瘤的细毛刺,膨胀性也不够。整体看病灶有点像“腰子”形,弯弯曲曲的。所以我的感觉更倾向结核性。查了肿瘤筛查指标如下:

其中CEA是略高于正常。但这个不足以认定病灶是恶性。我建议其行CT引导下肺穿刺活检以取得病理依据。但某A因为打听来打听去,却比较抗拒。一是怕若是肺癌,穿刺导致播散风险(说明还比较了解的);二是结核可有相关血化验检查(认识的医生告诉他的);三是穿刺呀、检查呀,反正有东西在,还不如直接开刀后化验。本来把他联系好次日穿刺的,结果也没同意去穿。后来我与他家属及本人沟通了近半小时。我的意见是:1、这个病灶的影像典型,不像肺癌,虽不能排除,但同样不一定是,冒然手术不可取,如果开了是良性,不划算;2、进一步检查包括PET-CT、穿刺、结核相关检查等。但PET并不能完全百分之百定性,增强有强化下,估计PET也是SUV高摄取的,但炎性疾病也会摄取增高,何况要自费7500元,这钱虽然花得起,但获益有限,个人不建议;3、结核相关检查目前医院开展的包括PPD试验、痰找抗酸杆菌、T-SPOT以及结核抗体等,其中T-SPOT也是自费项目,要700块钱。从临床来看,若肺部不是活动性结核,痰菌阳性的比例极低,而且相关项目除了痰菌阳性都是间接的依据,如果PPD强阳性,T-SPOT也阳性,那还说可以试验性抗结核,若阴性同样不能排除结核;4、肺穿刺对于他的这个病灶来讲,风险低,准确性高,可获得直接诊断的依据,而且2天内就能出结果。真若穿刺示慢性炎(此时可能真是炎性,也可能是结核、肿瘤,只是假阴性),再来考虑T-SPOT、PPD试验以及PET检查等也不迟。所以我极力建议其穿刺,最后终于被说服,某A与儿子也知道我是真的这些方面都想到了的,而且综合考虑了时间效率、费用、风险等各方面因素。
穿刺活检后,结果还真是考虑结核:

我们有时候说不建议穿刺,有时候却极力建议穿刺,其实不是死板的教条,而是真的个体化考虑病情,而且综合为你考虑病情、时间效率、检查手术的风险、经济花费等各方面,期望是真正的以患者为中心!
(此处已添加医疗卡片,请到*今条头日**客户端查看)