今天遇到一位晚期结肠癌的年轻女士,很清秀的一个人,才29岁,走不动路了,坐着轮椅过来做检查,由于网膜转移,肚子里出现大量腹水,脸色很白。她老公说,疼了小半年了,一直觉得年轻,不会有什么大事儿,断断续续吃过一些药,直到肚子鼓起来,医生说没法手术了……

结直肠癌是我国第3大癌症,城市居民发病率高于农村(城里人吃得不如农村干净?),大约每10个癌症病人中,就有一个是结直肠癌,早期发现可以手术彻底治愈!
结直肠癌的治疗要比肺癌、肝癌稍微简单一些,因为大肠全长1.5米,切除一段不影响身体健康。所以要重视早期症状,争取及时发现!分享一些常见的结直肠肿瘤早期信号,年轻的读者可以指导一下家里的老人,保障家人肠道健康。

结直肠癌的早期信号,常见有4个:
1.大便变细和大便习惯改变
癌细胞早期起源于肠黏膜,并逐渐增大,会像菜花状向肠腔内突起,挤压肠内容物造成大便变细和排便习惯改变。
2.反复腹疼、腹胀,甚至逐渐减重
肿瘤可以引起局部疼痛和不完全性肠梗阻,出现腹胀和肠鸣音亢进(每分钟>3次);当肿瘤较大时,可以在腹部摸到包块。今天这位女士就是经常右侧腹痛,开始以为是消化不良,吃药后略有好转,结果大意了……
3.反复大便带血,甚至出现贫血
结直肠肿瘤的肿块质地通常比较脆,表面黏膜容易糜烂,与粪块发生摩擦容易出血。大便带血常见的原因是痔疮和结直肠癌,长时间反复发作可以引起贫血、乏力、脸色苍白、容易心慌等。
4.不明原因的消瘦
肠道是消化吸收营养的场所,肿瘤发生后影响肠道功能,反复出血,还有肿瘤慢性消耗可以导致体重减轻。中老年人应该养成每周测量体重的习惯。孩子们可以买一个电子体重计放在家里,嘱咐老人每周上去测量一下,有助于早期发现危险信号,这是一个很好的预警方法,对各种消化道肿瘤、肺癌等都有预警意义。
不能忽视的十二指肠癌
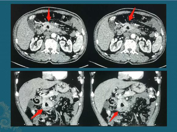
在胃的下方连接一段肠管,长度大约是12个手指的宽度,胆汁和胰液就是从这里汇入肠管内参与消化食物。十二指肠的癌症也不算罕见,近年来有上升趋势,尤其是中青年人,常见症状是上腹疼(餐后明显)和胃梗阻。

白色是高密度钡餐
这位病人59岁,因为胃胀和上腹痛半个月做钡餐检查,发现十二指肠下段梗阻,有一个半圆形的充盈缺损(箭头),进一步胃镜检查确诊为十二指肠腺癌,增强CT观察周围结构,没有肝脏转移和周围侵犯,具备手术条件:

这位病人在3年前已经成功手术切除,今年复查情况挺好的,体重恢复,也没有贫血。
我国的结直肠癌的发病率排在恶性肿瘤的第3位,而死亡率排第5位,说明它的预后比其它高发癌症要好一些,早期发现至关重要,结肠镜病理检查是诊断的金标准。
我是影像科豪大夫,分享小病例,传递正能量,欢迎关注!
#湖南医聊超能团# #她健康计划#