
图片来源网络
我们都知道,一口整齐洁净的牙齿会给我们的笑容加分,可要是牙齿天生长得不整齐,那就只能靠牙齿矫正了,坚持个一两年就会挽回颜值。可是,最近有小伙伴留言问我,网络上还有一种“7天快速矫正牙齿”的方式,这到底是真是假?
说实话,小编也是头一回听说还有这种快速矫正牙齿的方法,出于好奇于是就去咨询了咱们的专业医师,也去查阅了相关资料,终于明白了网络上流传的这种矫正牙齿的方法,到底是个什么名堂了,现在就给大家讲一讲~
1.快速矫正之—拔牙后种植修复

图片来源网络
像某些前牙不齐的患者,会跟医生讲“可不可以拔掉一颗牙,然后再种植一颗牙在正常位置上?”,对于这个说法,小编认为该患者还是挺有想象力的,但是按照牙医的治疗原则是不建议使用这种方式,拔掉畸形牙后,很难保证有足够的空间进行种植,而且还可能对邻牙造成影响,所以种植修复不能替代矫正。
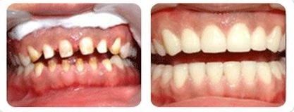
2.快速矫正之—美容冠

图片来源网络
首先大家要清楚,这里的美容冠不等于我们平常所说的牙冠,牙冠作为口腔科常用的修复体,使用合理有助于保护我们的牙齿。如因牙神经坏死牙齿变得脆弱,可用牙冠协助保护;前牙外伤、内源性变色牙患者可考虑牙冠修复或贴面修复等。
而网络上流传的美容冠矫正,其实原理就是将健康牙齿磨小后安装美容冠,以达到快速矫正的目的,这个7天也说的比较忽悠人,其实就是制作美容冠的周期。那么这种方式真的好吗?其实不见得。
前面说过,牙医一般使用牙冠是为了保护本来不健康的牙齿,那么牙齿长得不整齐并不代表每颗牙齿不健康。这种快速矫正方式,其实就是把健康的牙齿刻意磨小。娱乐圈里一些明星为了缩短时间会去做美容冠,可数年之后呢?还不是等着收拾烂摊子。

知名演员刘涛年轻时做过美容冠,后来各种受罪
所谓磨牙排齐美容冠,其实是一种不科学的矫正方式,牙齿本身没有移动到正常位置,而是把它们磨小,正规磨牙有一定的度,但这种方式很容易磨牙过度,甚至有些还得故意抽掉牙神经再套上冠,让牙齿看起来很齐,但其实就是金玉其外,败絮其中。

图片来源网络
磨牙很容易损伤健康的牙釉质,对原生牙有着不可逆转的伤害,维护起来也特别麻烦,不方便清洁还要定期更换,后期很容易出现各种问题。

图片来源网络
牙齿矫正是需要一个过程的,有钱去相信网络流传的快速方法,何不花钱做更有保障更值得的事情呢?如今牙齿矫正技术发展迅速,讲究经济实惠的可以选择托槽牙套,追求美观便捷的可以选择隐形牙套,总之都能达到正确的矫治作用。牙齿的移动是有生理极限的,保持耐心很重要哦~
【本文来源子和口腔微信公众号:cdzhkq】