两个月前,本院一名做行政的中年男同事带着妻子张姐来到小钟医生的诊室。

他们的诉求是想早点把拖拖拉拉的月经搞干净,然后继续他们的求子之路!
咦,为什么他们会有这样的需求呢?
正常的月经是有3—7天的期限干净的,不需要人为干预的呀。小钟医生感觉其中另有隐情,所以很详细地询问了病史。

原来张姐今年已经是38岁的了,16年前已顺产生育一个女孩。家里旧风俗观念认为,一定要生育到男孩子才算传宗接代。
自从开放二胎以来,迫于家庭压力,张姐就开始了长达4年的求子之路。
期间访问过正规的医院、私人医院、私人诊所甚至出名的寺庙和尚,服用过数不清的“得子神药”,但依旧未能得偿所愿怀上孩子。
两年前,张姐在中山市某医院就医诊断为多囊卵巢综合症,这为她的求子之路又增添了很多困难。

正当她准备在中山接受正规的多囊卵巢治疗时,恰巧家里有人说隔壁镇有一神医李医生。神医专治不孕不育,医术高超,求医者几乎都在一两年内成功怀上孕,很多都是一举得子或是双胞胎。
因求子心切,他们也慕名而去。然而,这正是悲剧的开始。
李医生给张姐开具了长达一年的“神药”—他莫西芬,这是含有雌激素的激素药。张姐吃了这“神药”并没有怀孕,反而出现了反复的不规则阴道出血情况。但因极度信任李医生,张姐并未到正规医院就诊,而是三次到他的诊室进行刮宫术止血。
然而,第三次刮宫已经20天了,阴道出血仍未停止,这才来到小钟的诊室。

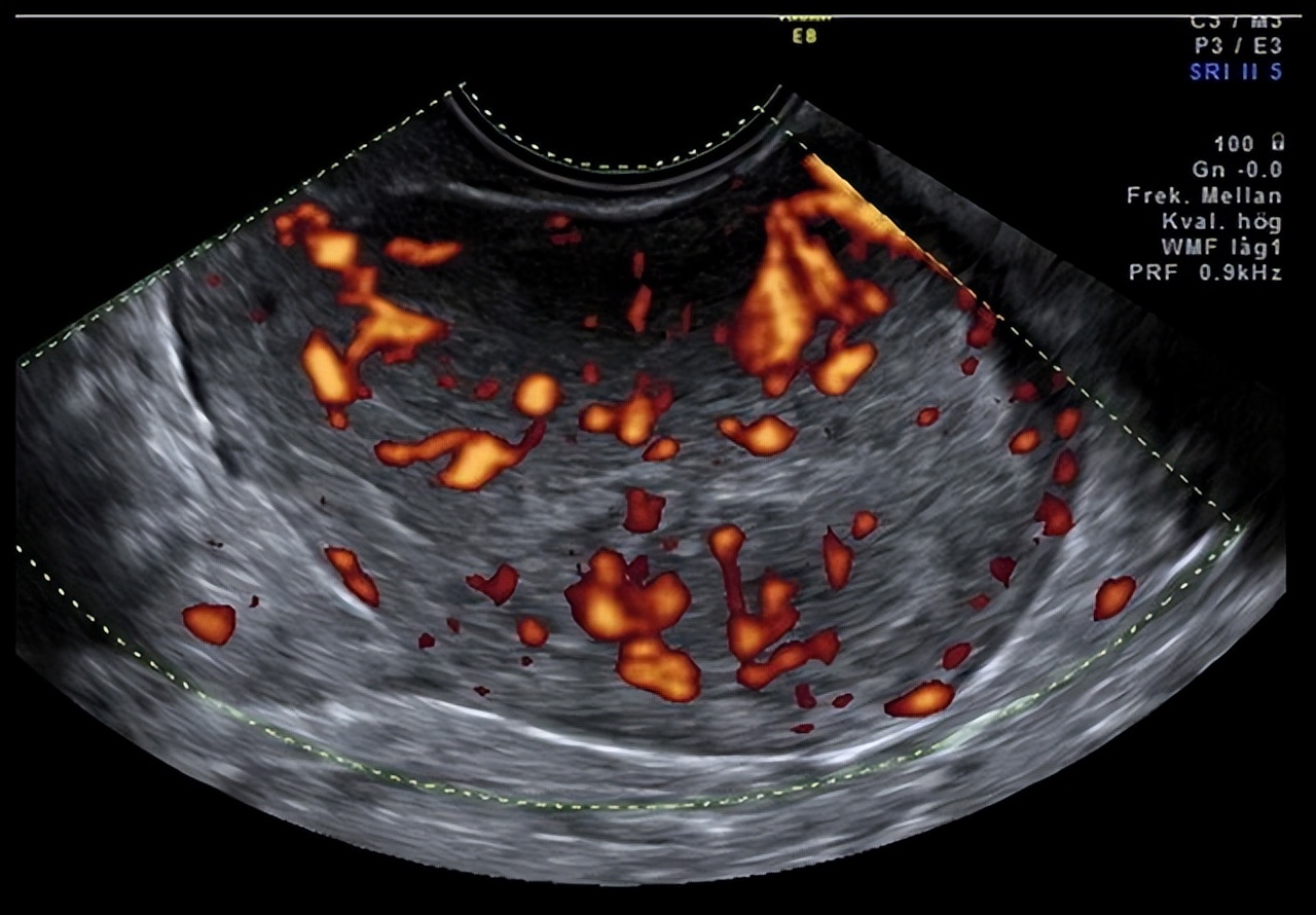
听完他们漫长而艰辛的求子之路,小钟医生为他们感到辛酸,但这个阴道出血不简单,遂常规开子宫附件彩超检查。
检查结果提示,子宫内膜厚度34 mm!正常来说,健康女人的子宫内膜厚度达到12 mm即可来月经。
而张姐刮宫后子宫内膜仍如此之厚,不必怀疑了,子宫内膜已经存在病变了。
于是,小钟医生建议张姐入院进行刮宫术送病理检查及盆腔MR检查。三天后,病理检查结果提示:子宫内膜样腺癌;盆腔MR提示:子宫内膜癌,未见转移。

盆腔内未见转移,这是不幸中的大幸呀。完善了周全的术前检查及预案后,张姐做了腹式全子宫+双侧附件切除术+盆腔淋巴结清扫术,术后14天顺利康复出院,但仍需终身随访!
子宫内膜癌的常见症状:
一:极早期可无症状,常通过常规的妇科体检发现。
二:不规则的阴道出血(即除了月经外有出血的情况)
三:阴道排液,即阴道排出各种清亮样、脓性或恶臭样液体。
四:腹部相关的疼痛,如腰痛,腰骶部痛或者下肢疼痛。
五:高危因素,如高血压,糖尿病,肥胖,多囊卵巢综合症病史,或者乱用雌激素药病史的人群
子宫内膜癌是妇科常见的恶性肿瘤,且发病年龄多为绝经期或绝经后的女性。近年来研究发现,子宫内膜癌发病率逐年上升且年龄逐渐年轻化。

重要的一个因素就是,当代不孕不育的患者逐年增加,而很多女性因病急乱投医,乱用雌激素药促排来备孕,从而导致了子宫内膜不断增生,最后发生了癌变。
在此,小钟医生温馨提示各位女性朋友,如果你正迫切想拥有一个天使宝宝,请一定要到正规的医院或辅助生殖中心就诊,莫乱吃激素药,警惕张姐的悲剧重演!

欢迎关注小钟医生,获取更多妇产科知识~~