一例高血压合并低血钾患者来诊,你会如何考虑?
病史患者男性,54岁,主因“发现血压升高24年,间断头痛2个月”入院。患者于24年前发现血压升高,血压最高达250/140 mmHg,平素未规律服药,血压波动在140~150/90~100 mmHg。2个月来无明显诱因间断头部胀痛,每次数分钟至半小时,不伴头晕及肢体活动障碍,头痛时未测血压,未诊治。2周来左下肢麻木加重(脑出血后遗留左侧肢体麻木),走路踩棉花感,为进一步治疗来诊收入院。
既往高脂血症病史10余年;脑出血病史7年,遗留左下肢麻木;2型糖尿病病史4年,血糖控制不详;发现左肾上腺占位4年,性质不明。吸烟10余年,10支/d,戒烟7年;饮酒10余年,200~300 g/d,戒酒7年。母亲及一个姐姐、一个哥哥均患有高血压、糖尿病。
体格检查
T 36.5℃,P 91次/分,R 19次/分,BP 158/92 mmHg,BMI 40.1 kg/m2。全身皮肤黏膜未见皮疹及出血点,浅表淋巴结未触及肿大。结膜无苍白,巩膜无黄染。双肺呼吸音清,未闻及干湿性啰音。心界不大,心率91次/分,律齐,P2=A2,心脏各瓣膜区未闻及杂音。腹平软,全腹无压痛、反跳痛、肌紧张,肝脾未触及,移动性浊音阴性,肝区脾区肾区无叩痛,肠鸣音4次/分,双下肢轻度凹陷性水肿。
实验室检查
血红蛋白139 g/L。
尿常规
尿比重1.018,尿蛋白+。
生化
血肌酐87 μmol/L,尿酸422 μmol/L,总胆固醇4.55 mmol/L,甘油三酯2.04 mmol/L(↑),高密度脂蛋白胆固醇0.70 mmol/L(↓),低密度脂蛋白胆固醇3.14 mmol/L,钾 3.46 mmol/L(↓)。
继发性高血压筛查
①肾素4.1 μIU/ml(卧位)、14.4 μIU/ml(立位),醛固酮7.6 ng/dl(卧位)、12.0 ng/dl(立位),醛固酮/肾素1.861(卧位)、0.833(立位);②皮质醇水平及节律正常;③24h尿钾28.06 mmol/d,24h尿钠146.6 mmol/d,24h尿蛋白0.64 g(↑)。
辅助检查
心电图
窦性心律,电轴不偏,Ⅰ、aVL、V5、V6导联T波倒置,左室高电压(图1)。

图1
超声心动图
左室壁弥漫性增厚,左房内径正常上限,主动脉瓣轻微反流,三尖瓣轻微反流,左室舒张功能减退。
胸部正侧位片
未见胸部活动性病变(图2)。

图2
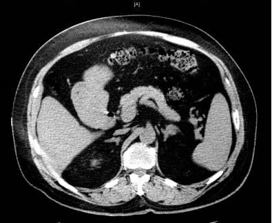
肾上腺CT(2017年9月)
左侧肾上腺占位,左肾上腺外肢类圆形等密度病变约2.0 ㎝×1.7 ㎝,考虑腺瘤可能,较2013年4月7日CT结果,无显著改变(图3)。

图3
病例分析
本病例的特点总结为:①30岁起病,血压长期控制不佳;②高血压合并低血钾及肾上腺占位;③并发症出现相对较早(47岁患脑出血);④有高血压、糖尿病家族史。本例患者入院后对其进行了如下的分析处理。
1.是否为肾性失钾?
该患者入院后多次测定血钾低于3.5 mmol/L,每天补充氯化钾3g,5天后血钾未见升高,提示补钾困难。入院次日血钾3.46 mmol/L,当日全天尿钾排泄量28.06 mmol/L,高于25 mmol/L,提示肾性失钾。
2.是否为原发性醛固酮增多症?
我院肾素及醛固酮的测定采用化学发光法,醛固酮/肾素比值的切点为3.7。该患者立位肾素14.4 uIU/ml,醛固酮12.0 ng/dl,醛固酮/肾素0.833,不支持原发性醛固酮增多症的诊断。但测定当日患者停用厄贝沙坦及硝苯地平控释片仅2天,同时存在低钾血症,而上述两种药物及低钾血症均会导致血浆醛固酮与肾素比值(ARR)测定出现假阴性结果。故将患者口服降压药物改为缓释维拉帕米240 mg qd,停用原有降压药物,拟4周后复查ARR。
3.是否为肾小管酸中毒?
该患者检查结果提示肾性失钾,而目前不支持原发性醛固酮增多症诊断。患者高血压多年,已出现夜尿增多、微量白蛋白尿等肾脏受损的表现,需考虑肾小管酸中毒可能。血气分析显示血PH值7.46;测定尿酸化功能显示尿PH值6.76,重碳酸盐17.82 mmol/L(正常≤26.8 mmol/L),可滴定酸3.78 mmol/L(≤10.4 mmol/L异常),铵离子19.71 mmol/L(≤25.14 mmol/L异常)。患者尿PH>5.5,且可滴定酸及铵离子浓度均异常,提示有肾小管酸中毒可能,但血液偏碱性,不支持肾小管酸中毒诊断。
4.其他导致高血压的可能原因
患者入院后行睡眠监测,提示中度阻塞性睡眠呼吸暂停低通气综合征;皮质醇节律提示皮质醇水平及节律均在正常范围;甲状腺功能正常。
综上所述,本例患者尚不能明确高血压合并低血钾的原因,待停药补钾后复查ARR,必要时行分肾静脉取血以辅助诊断原发性醛固酮增多症的可能性,并判断肾上腺占位的功能。
出院诊断:(1)高血压并低血钾(原发性醛固酮增多症可能性大);(2)左肾上腺占位(性质不明);(3)高血压心脏损害;(4)2型糖尿病 糖尿病肾病;(5)阻塞性睡眠呼吸暂停低通气综合征;(6)高脂血症;(7)脑出血(陈旧性);腰椎间盘突出症(术后)。
知识点链接
1、原发性醛固酮增多症病因及发病机制
原发性醛固酮增多症(简称原醛)是由于体内醛固酮分泌过多,导致水钠潴留,血容量增多而引起血压升高的疾病,是继发性高血压最常见的原因之一。原醛最常见的病因是肾上腺腺瘤,其次是单侧或双侧肾上腺增生,少见原因为肾上腺癌和糖皮质激素可调节性醛固酮增多症(GRA)。异位醛固酮增多症可发生在肾脏或卵巢的恶性肿瘤,甚为罕见。
2、原醛临床提示
高血压是原醛最主要和最早出现的症状,血压可轻中重度升高,常伴心率快、夜尿多、乏力,对一般降压药物反应欠佳。2016年《原发性醛固酮增多症诊断治疗的专家共识》提示下列情况要进行原醛的筛查:①持续性血压升高>160/100 mmHg;②顽固性高血压;③高血压+低血钾症(自发性或利尿剂导致);④高血压+肾上腺意外瘤;⑤高血压+睡眠呼吸暂停;⑥高血压+早发高血压家族史;⑦高血压+早发脑血管意外(40岁之前);⑧所有原醛患者合并高血压的一级亲属。
3、原醛的筛查
醛固酮自主分泌增多是原醛最核心的发病机制,增多的血浆醛固酮水平负反馈抑制肾素血管紧张素系统(RAAS),使得血浆肾素水平降低。高醛固酮、低肾素是其突出的生化特征。因此ARR近年来被国内外指南和共识推荐为筛查原醛的首要指标。由于血浆醛固酮及肾素活性受多种因素影响,在筛查之前一定要考虑患者当时使用的药物以及其他因素对肾素活性及醛固酮分泌的影响。目前,非二氢吡啶类钙离子拮抗剂(如缓释维拉帕米,地尔硫䓬)及α1受体拮抗剂(如特拉唑嗪、多沙唑嗪等)用于筛查前不能停用降压药物患者的血压控制。表1提示了可能导致ARR假阳性或假阴性的原因。
表1

注:摘自2016《原发性醛固酮增多症诊断治疗的专家共识》
4、原醛的诊断流程
简而言之,原醛的诊断分三步,筛查、确诊和定位,如流程图所示(图4)。

图4
5、原醛的鉴别诊断
★服用利尿剂的原发性高血压:停用利尿剂后复查血钾,必要时行血浆醛固酮水平和肾素活性测定。
★继发性醛固酮增多症:如肾血管性高血压、肾素瘤等,由于肾素水平增高,继发醛固酮分泌增多。
★Liddle综合征:先天性肾小管钠吸收增多,钾排泄增多,导致高血压合并低血钾,但血浆肾素和醛固酮水平正常或偏低,是常染色体显性遗传性疾病,氨苯蝶啶治疗有效。
★先天性肾上腺皮质增生:由于11β或17α-羟化酶缺乏,在肾上腺类固醇合成过程中,去氧皮质酮生成增多,具有强的盐皮质激素作用,导致高血压合并低血钾。同时有雄激素合成障碍及性腺发育异常,表现为原发闭经或假两性畸形等。
病例提供:北京大学人民医院 王鸿懿
病例征稿啦!
攻克疑难患者,您是否想传授经验、分享喜悦?遇到罕见病例,您是否想找“高手”指点,听取多方见解?那么,机会来了! “心在线”现面向全国征集心血管疾病相关病例啦!我们将为您提供传授经验、切磋技艺的平台,您不仅可以拓宽思路、丰富视角,还可获得丰厚稿酬!
投稿邮箱:content@cardiounion.cn
心在线 专业平台专家打造
编辑 刘倩┆美编 柴明霞┆制版 刘倩