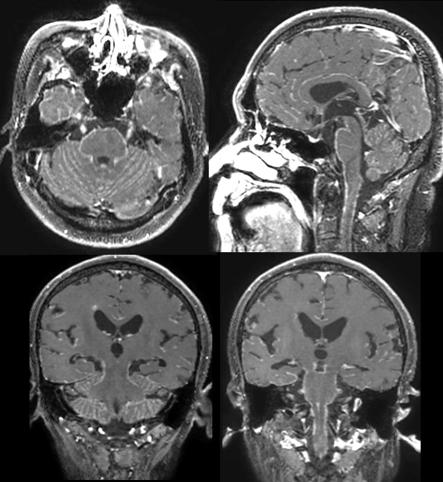
患者王大叔58岁。自觉视物重影多天,伴咳嗽、咳痰、胸闷,遂来我院看门诊,医生给开了头部磁共振平扫检查。恰逢我值班,平扫MRI发现左侧枕叶及右侧脑室脉络丛长T2信号灶伴(SWI)出血,我觉得考虑肿瘤性病变可能,在扫描当时我建议患者进行MRI增强扫描,以进一步明确诊断。
第二天王大叔来找我做完增强扫描完成后,增强图像上可见双侧大脑、小脑可见多发的强化小结节灶,分布以皮层及皮层下为主,最常见的首先是转移瘤,其次脓肿及囊虫病也可以如此,结合病史我认为符合转移瘤表现,建议患者行胸部CT检查排除肺癌脑转移可能。

增强扫描后的MRI图像和病变的典型层面
患者行胸部CT后,入院,进一步行支气管镜活检,病理确诊右肺下叶基底段腺癌(cT4N3M1c IVB期) , 纵隔、锁骨下淋巴结转移。

胸部CT提示右肺下叶基底段支气管壁不均匀增厚,局部不规则结节灶,纵隔及右侧肺门淋巴结增大。病理证实腺癌

贝伐珠单抗+培美曲塞+卡铂”化疗3个月后复查,脑病变好转
遗憾的是王大叔的病情在治疗7个月后还是进展了。

软脑膜广泛转移:可以看到颅内广泛的软脑膜强化及多发颅神经强化