血小板减少性紫癜: 是一组因外周血中血小板减少而导致皮肤、黏膜及内脏出血的疾病。
原发性ITP: 一种自身免疫性疾病,以没有原因的单纯性血小板减少(血小板数小于100 ×109 /L)为特征,诊断方式为排除性诊断。
继发性ITP: 是指原因明确的各种免疫介导的血小板减少症。在诊断时,应在括号内说明原因,比如:继发性ITP(药物诱导的)、继发性ITP(狼疮相关性)、继发性ITP(HIV相关性) 。
原发免疫性血小板减少症,既往亦称特发性血小板减少性紫瘫, 目前叫原发性血小板减少症 - ITP 是一组对自身抗原的免疫 失耐受 ,导致免疫介导的血小板破坏增多和免疫介导的巨核细胞产生血小板不足的一组疾病。以广泛皮肤黏膜及内脏出血、血小板减少、骨髓巨核细胞发育成熟障碍、血小板生存时间缩短及血小板膜糖蛋白特异性自身抗体出现等为特征。出血风险随年龄增长而增加。部分患者仅有血小板减少而没有出血症状。部分患者有明显的乏力症状。
发病率:
1、 5~10/10万人口;约占出血性疾病总数的1/3,是最常见的血小板减少性紫癜。 临床分为急性型和慢性型;多见于慢性型;
2、40岁以下女性多见,女:男为4:1;60岁以上老年人是该病的高发群体。
病因:
1. 感染 细菌或病毒与ITP关系非常密切,但非直接关系。
2. 免疫因素 可能是参与ITP发病的 重要原因。
3. 肝、脾的作用 肝脾特别是脾脏产生血小板相关抗体、血小板滞留以及单核-巨噬细胞系统的吞噬和清除。
4. 遗传因素 HLA-DRW9、DQW3与ITP密切相关。
5. 其他 如女性多见,可能与雌激素有关。
发病机制: 患者对自身抗原的免疫失耐受,导致免疫介导的血小板破坏增多和免疫介导的巨核细胞产生血小板不足。
急性ITP临床表现:
(一)起病: 儿童多见 发病前1-2周有上呼吸道感染史,特别是病毒感染史,起病急剧。
(二)出血 皮肤:全身皮肤瘀点、紫癜、瘀斑,重者可有血泡及血肿形成,注射部位可渗血不止或形成大小不等的瘀斑。
黏膜:鼻出血、牙龈出血、口腔黏膜及舌出血常见。
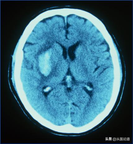
内脏出血:呕血、黑便、咯血、尿血、阴道出血、颅内出血危及生命。
(三)其他 大量出血可出现贫血,甚至失血性休克。


慢性ITP临床表现
(一) 起病 多见青年女性 隐袭、缓慢。无前驱症状
(二) 出血
皮肤:瘀点、瘀斑。以皮肤、粘膜出血为主要表现,常反复发作。出血轻而局限
粘膜:鼻出血、牙龈出血、月经过多。内脏出血少见。
(三) 其他其他 可见失血性贫血,感染可加重病情。脾脏一般不大或轻度增大;可有贫血。

实验室检查:
(一) 血小板
(1) 急性型<20×109//L,慢性型50 ×109//L左右;
(2)易见大型血小板;
(3)出血时间延长,血块收缩不良;
(4)血小板功能正常。 血小板生存时间缩短。
(二)骨髓检查:
红系及粒、单核系正常。
巨核细胞异常
急性型:轻度增多或正常,幼稚巨核细胞增多
慢性型: 显著增多 ,颗粒巨核细胞增多
前瞻性研究显示,ITP骨髓检查与临床符合率极高,所以欧美等国仅对60岁以上,临床症状不典型,拟行脾切除者作骨髓检查。
(三)血小板相关抗体(PAIg)、补体(PAC3)阳性
ITP特异诊断:血小板抗体检测
血小板相关免疫球蛋白(PAIg): 特异性差,可出现假阳性、假阴性。
血小板膜糖蛋白特异性抗体(GP): 特异性高(78-93%)敏感性低(49-66%)。阳性可诊断、阴性不排除
诊断标准:
1.广泛出血累及皮肤、黏膜及内脏;
2.至少2次化验血小板计数减少, 血细胞形态无异常 。
3.脾脏一般不增大。
4.骨髓检查:巨核细胞数增多或正常、有成熟障碍。
5.泼尼松或脾切除治疗有效;
6.排除其它继发性血小板减少症,如:假性血小板减少、先天性血小板减少、自身免疫性疾病、药物诱导的血小板减少、自身免疫性疾病、甲状腺疾病、淋巴系统增殖性疾病、骨髓增生异常(再生障碍性贫血和骨髓增生异常综合征)、恶性血液病、慢性肝病脾功能亢进、感染所致的继发性血小板减少,同种免疫性血小板减少,妊娠血小板减少,
7、诊断ITP的特殊实验室检查:
①血小板抗体的检测: MAIPA法和流式微球检测抗原特异性白身抗体的特异性较高,可以鉴别免疫性与非免疫性血小板减少,有助于ITP的诊断。
主要应用于下述情况:骨髓衰竭合并免疫性血小板减少;一线及二线治疗无效的ITP患者;药物性血小板减少;单克隆丙种球蛋白血症和获得性自身抗体介导的血小板无力症等罕见的复杂疾病。但该试验不能鉴别原发性ITP与继发性ITP。
②血小板生成素(TPO)检测: 可以鉴别血小板生成减少(TPO水平升高)和血小板破坏增加(TPO水平正常),有助于鉴别ITP与不典型再生障碍性贫血或低增生性骨髓增生异常综合征。上述项日不作为ITP的常规检测。
6.出血评分: 出血评分系统用于量化患者出血情况及风险评估。出血评分系统分为年龄和出血症状两个部分。ITP患者的出血分数=年龄评分十出血症状评分(患者所有出血症状中最高的分值)。
疾病分期:
1.新诊断的ITP:
确诊后3个月以内的ITP患者。
2.持续性ITP:
确诊后3~12个月血小板持续减少的ITP患者,包括没有自发缓解和停止治疗后不能维持完全缓解的患者。
3.慢性ITP:
指血小板持续减少超过12个月的ITP患者。
4.重症ITP:
PLT <10×109/L且就诊时存在需要治疗的出血症状或常规治疗中发生新的出血而需要加用其他升血小板药物治疗或增加现有治疗药物剂量。
5.难治性ITP:
指满足以下所有条件的患者:①进行诊断再评估仍确诊为ITP;②脾切除无效或术后复发。 ③仍需要治疗以降低出血的危险
糖皮质激素依赖: 指患者需要继续或反复给予糖皮质激素至少2个月,以维持血小板数在30 × 109/L以上和/或以避免出血。
治疗原则及方案
治疗目的: 使血小板提高到安全水平,大于30X109/L,无出血表现不从事增加 出血的危险工作不需治疗。避免过度治疗。血小板小于30×109/L时,致命性出血也只有0.016-0.0389,更多患者死于感染。
应充分考虑患者的意愿
对于老年、血小板功能缺陷、凝血障碍、高血压、感染、服用阿司匹林及华法林者,血小板应大于50×109/L。
促进血小板生成: rh-TPO(特比澳) ;AMG531(雷米斯汀);Eltrombopag(艾曲泊帕)
抑制血小板破坏: Steroids(甾体类激素); Splenectomy(切脾);IVIg(免疫球蛋白); Rituximab(美罗华)
ITP的一线治疗:
(1)肾上腺糖皮质激素:
①大剂量地塞米松( HD-DXM):40 mg/d×4 d,建议口服用药,无效患者可在半个月后重复1个疗程。治疗过程中应注意监测血压、血糖的变化,预防感染,保护胃黏膜。
②泼尼松 :起始剂量为1.0 mg/kg.d(分次或顿服),病情稳定后快速减至最小维持量(<15 mg/d),如不能维持应考虑二线治疗,治疗4周仍无反应,说明泼尼松治疗无效,应迅速减量至停用。
长期应用的不良反应: 骨质疏松、股骨头坏死,应及时进行检查并给予二膦酸盐预防治疗。高血压、糖尿病、急性胃黏膜病变等不良反应。另外,HBV DNA复制水平较高的患者慎用糖皮质激素,治疗方案的制定应参照"中国慢性乙型肝炎防治指南"。
(2)静脉免疫球蛋白 IVIg:
主要用于:①ITP的紧急治疗;②不能耐受肾上腺糖皮质激素的患者;③脾切除术前准备;④妊娠或分娩前;⑤部分慢作用药物发挥疗效之前。
常用剂量400 mg/kg.d×5 d或1 000 mg/kg给药1次(严重者每天1次、连用2 d)。必要时可以重复。
注意: IVIg慎用于IgA缺乏、糖尿病和肾功能不全的患者。
成人ITP的二线治疗
(1)促血小板生成药物: 此类药物起效快(1~2周),但停药后疗效一般不能维持,停药复发,需要进行个体化的维持治疗 。 血小板生成素: rhTPO:(rh TPO 特比澳)。 两种血小板生成素TPO受体激动剂:Romiplastin(罗米司亭,雷米斯汀)Eltrombopag(艾曲泊帕)。
①(rh TPO 特比澳) 剂量1.0 µg/kg.d×14 d,PLT≥100×109/L时停药。应用14 d血小板计数不升者视为无效,应停药。
疗效: 以rhTPO 300U/kg×14d治疗慢性难治性ITP,近期有效率达85.3%,血小板计数升高较为迅速,不良反应轻微。
②艾曲波帕:(Eltrombopag艾曲波帕) 25 mg/d(顿服),根据血小板计数调整剂量,维持PLT≥50×109/L,PLT≥100×109/L时减量,PLT≥200×109/L时停药,最大剂量75 mg/d。用药过程中需要监测肝功能
③罗米司亭:( Romiplastin雷米斯汀) 血小板生成素拟肽(Nplate ,AMG531),首次应用从1 μg/kg每周1次皮下注射开始,若PLT <50×109/L则每周增加1 μg/kg,最大剂量10 μg/kg。若持续2周PLT≥ 100×109/L,开始每周减量1 μg/kg。PLT≥200×109/L时停药。最大剂量应用4周血小板计数不升者视为无效,应停药。
(2)抗CD20单克隆抗体(Rituximab, 利妥昔单抗)( 美罗华 ) : 抗CD20单克隆抗体。
推荐剂量: 375 mg/m2每周1次静脉滴注,共4次。一般在首次注射4~8周内起效。小剂量利妥昔单抗(100 mg每周1次,共4次)同样有效,但起效时间略长。中位起效时间约38天(1-56天)。治疗早期出血风险大。
血小板生成素及其受体激动剂治疗ITP—— 维持治疗
1、特比澳维持治疗方案:rhTPO 特比澳
rhTPO治疗ITP有效率高,起效快,能在短时间内使血小板计数上升至安全水平,并有效控制出血症状。给予小剂量rhTPO维持治疗,可维持血小板计数在安全水平,防范出血风险。
rhTPO用于ITP患者长期维持治疗值得扩大病例进一步探索
rhTPO治疗部分激素无效/复发ITP患者,剂量为300U/kg qd,连续14天。有效患,
rhTPO 剂量调整至150U/kg 维持治疗。
紧急治疗:
1、重症ITP患者(PLT <10×109/L)发生胃肠道、泌尿生殖道、中枢神经系统或其他部位的活动性出血或需要急诊手术时,应迅速提高血小板计数至50×109/L以上。
2、对于病情十分危急,需要立即提升血小板水平的患者,应给予血小板输注,还可选用静脉输注 丙种球蛋白 (IVIg) (1 000 mg·kg-1·d-1×1~2 d)和(或)甲泼尼龙(1 000 mg/d × 3 d)和(或)促血小板生成药物(证据等级2c)
3、其他治疗措施包括停用抑制血小板功能的药物、控制高血压、局部加压止血、口服避孕药控制月经过多,以及应用纤溶*制剂抑**(如止血环酸、6-氨基已酸)等。
4、如上述治疗措施仍不能控制出血,可以考虑使用重组人活化因子Ⅶ (rhFⅦa)