今天上午,儿子带着母亲来到了我的诊室,看病的原因是口臭、牙龈出血!这种现象是常见的不能再常见啦,但是我看了他的牙齿后,我觉得有必要发声给大家科普一下,特别是转给你们的父母看看!
先欣赏美图:

上颌不良修复体

下颌不良修复体

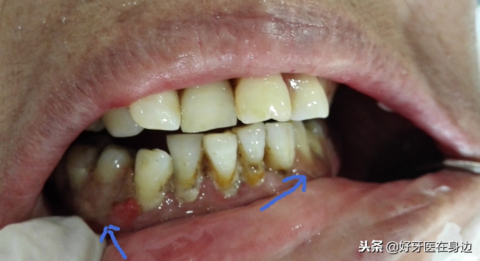
不良修复体导致的牙龈红肿

塑料牙

X片显示旁边的牙齿有钢丝,多牙残冠残根

拆下的塑料牙
事情的经过是这样的,1个月前这位母亲在菜市场旁边的祖传牙医哪里镶了“固定牙”,16颗牙齿总共花了1000元,1个小时就全部搞定,母亲当时很满意,原因如下:便宜实惠,还不需要拔牙,还是固定牙,当场就可以戴牙,这是任何一家医院都无法做到的!

江湖牙医
然而好景不长,近段时间来出现口臭,牙龈出血,肿痛,根本无法吃东西。那么为什么会出现这些情况呢?且听我一一道来:
1.这种牙齿是种什么样的牙齿?
这种被江湖牙医号称“祖传再植牙”的牙齿,其实就是用自凝塑料做成的牙齿,但是为了其“固定不动",常常需要钢丝结扎在旁边的牙齿,或者用塑料将旁边的牙齿牙龈连成一个整体,就像我们建房子用的钢筋水泥一样的,开始材料是软的,10分钟后就硬起来啦!平时这种材料我们都是用在活动牙上,且经过高度抛光,每天都要取戴!
2.这种牙齿有什么危害?
1.牙龈红肿、口臭:由于牙龈被塑料包住,口腔卫生无法清理,食物残渣残留,以及塑料对牙龈的刺激,都会造成牙龈发炎、肿胀,细菌发酵而产生臭味!
2.牙齿疼痛:这些江湖牙医,对于残根残冠都不会处理的,直接在其上面做牙齿,塑料刺激等都会导致牙齿的疼痛。
3.牙齿松动:由于常用钢丝将旁边的牙齿固定,将不合理的力量分担到这些牙齿,以及牙龈的退缩,都会导致牙齿的松动。
4.继发龋:长期的食物嵌塞和口腔卫生的维护不当都会导致龋坏的发生!
5.癌变:长期的塑料刺激以及边缘毛糙都会导致口腔粘膜的癌变!
3.这种牙齿该如何处理?
早发现早拆除,镶牙要到正规医院,对于多数牙缺少,一般都建议镶活动牙,当然经济情况允许,可考虑种植牙!
如果你身边也有这样的牙齿在使用,请转发给你身边的人,你的善意将会救牙一命!
