
病例简介
患者,女,32岁,办公室文员,2018-06-07入院;
主诉: 胸痛、咳嗽半月余伴气促一周;
现病史: 患者半月前(2018-5-13左右)无明显诱因下出现深呼吸时胸骨后疼痛,伴呼吸时咽痒、干咳,无发热、盗汗、咯血、胸闷等症状,未处理。一周后(2018-05-20)症状未缓解,于当地某三甲医院门诊就诊,考虑支气管炎。予以口服头孢克肟 0.2g bid、三拗片、银黄解毒片治疗1周,症状无缓解。2018-05-27再次就诊,查WBC 9.41*10^9/L,N 7.50*10^9/L,L 1.32*10^9/L,EOS 0.13*10^9/L,Hb 138g/L,PLT 223*10^9/L。肝肾功能、电解质、出凝血、CRP、ESR、G试验、T-SPOT、抗核抗体、肿瘤标志物、甲状腺功能均正常。肺炎支原体IgM阴性,IgG阳性,胸部CT示两肺散在炎症(影像未见),予头孢他啶2.0 bid(5.27-6.5),莫西沙星0.4 qd(5.27-6.1)抗感染治疗。患者2018.6.1出现活动后胸闷、气促,伴有低热,无盗汗、咳痰、咯血等症状,遂停莫西改阿奇霉素 0.5g qd静滴(6.2-6.5)。2018-06-05 复查胸部CT,两肺病灶较前进展(外院影像资料未见)。患者为行进一步诊治收住我科。患者起病前无禽类、粉尘、霉菌接触史。病程中无皮疹、光过敏、关节疼痛、脱发等。自发病来患者精神、胃纳可,睡眠佳,轻度乏力,二便无殊,体重无明显变化。
既往史: 否认高血压、糖尿病等病史。
个人史: 否认吸烟、酗酒,否认疫区驻留史,否认毒物、放射性物质接触史,否认饲养动物,否认生食史。2017年剖腹产手术史。
过敏史: 2018-06 静滴阿奇霉素3天后出现全身散在红色丘疹,无瘙痒、气喘、血压降低等症状。
婚育史: 已婚已育,育有1子,父母及儿子均体健。
月经史: 15 5-7/28-32 LMP 2018-05-14 周期正常,否认痛经史。
家族史: 否认家族遗传病、传染病、肿瘤病史。
体格检查: T:36.5℃,HR 87次/分,RR 17次/分,BP 103/70mmHg,SaO2 96%。
神清,呼吸平稳,胸廓无畸形,双肺叩诊清音,双肺听诊呼吸音清,未闻及干湿啰音。心律齐,未闻及杂音。四肢脊柱无畸形,活动自如,神经系统检查(-)。
辅助检查:
血常规:红细胞计数:4.62 *10^12/L;血红蛋白:140g/L;血小板计数:285 * 10^9/L;白细胞计数:6.69 *10^9/L;中性粒细胞百分比:75.0%;淋巴细胞百分比:15.5%;嗜酸性粒细胞百分比:3.4%,均正常
CRP 1.8mg/L,血沉18mm/H
粪常规、尿常规、肝肾功能、电解质、随机血糖、凝血功能、D-二聚体、细胞免疫、自身抗体均正常
HIV、RPR、丙肝、乙肝均阴性
隐球菌荚膜抗原:阴性
肿瘤指标:胃泌素释放肽前体:77.1pg/mL;细胞角蛋白19片段:13.9ng/mL;神经元特异烯醇化酶:16.8ng/mL均升高,余均正常
T-SPOT,A/B:0/0
免疫球蛋白:IgA、IgM、IgE、IgG均阴性。
血气分析:pH 7.44,PaCO2 34mmHg,PaO2 95mmHg,AB 23.1mmol/L,SB 24.5mmol/L,BE -1.1,SaO2 98%;
特异性IgE:阴性。
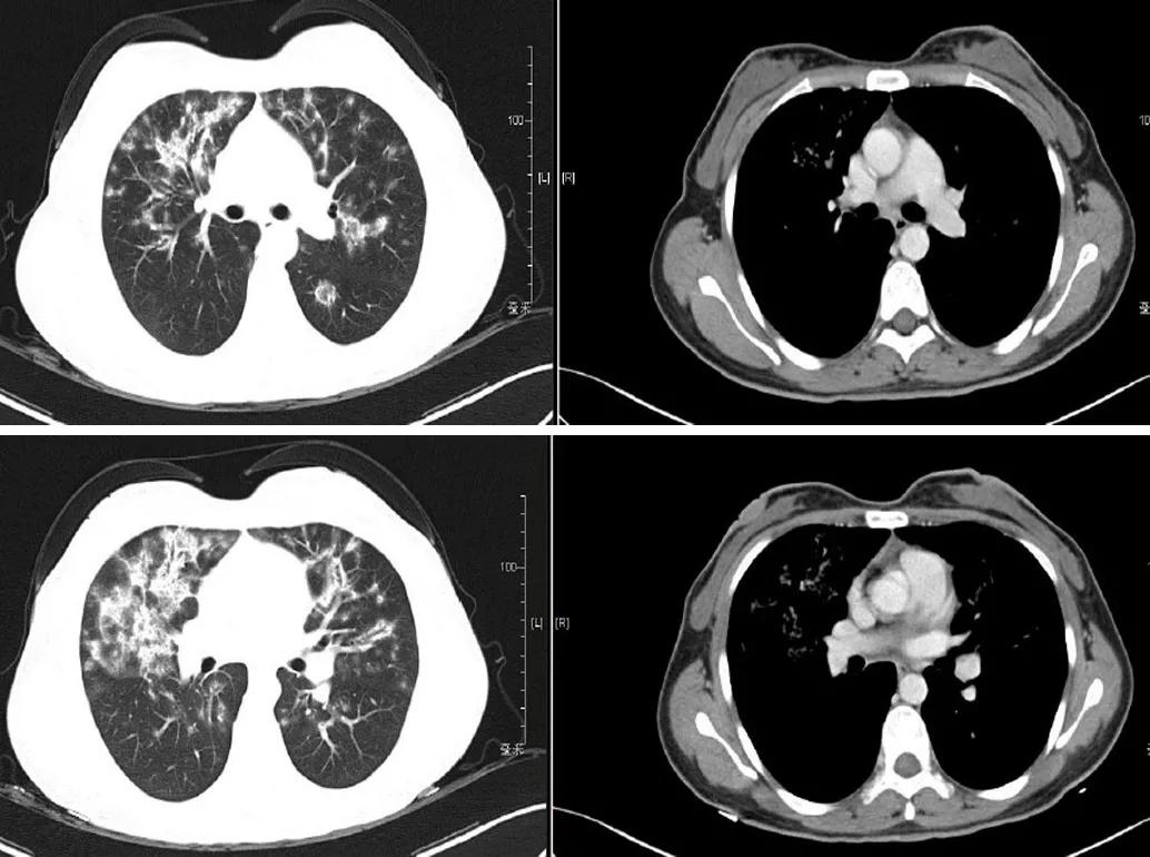
入院时胸部CT:

初步诊断
双肺弥漫性病变
鉴别诊断
患者青年女性,急性起病,临床症状主要为咳嗽、气促,胸骨后疼痛,无发热、咯血、低热,血常规、炎性指标正常,胸部影像学见双肺弥漫性病变,经抗生素抗感染后病情无改善。需要考虑社区获得性肺炎(CAP)、病毒性肺炎和机化性肺炎(OP)等疾病。该患者符合社区发病,有新出现的咳嗽气促,胸部CT有新出现的斑片浸润影,符合社区获得性肺炎的初步诊断。但经验性抗感染治疗后影像学有加重,需进一步排除肺结核、肿瘤、间质性病变等的可能。社区获得性肺炎常见病原体包括细菌、非典型病原体、军团菌,初始治疗已经覆盖,但影像学仍有进展,结合病毒性肺炎影像学也可表现为两肺多发的磨玻璃实变影,故需进一步排查有无病毒性肺炎。机化性肺炎分为SOP和COP。SOP多继发于肿瘤、感染或结缔组织病相关性疾病等。该患者目前无明确肿瘤疾病,无发热脱发、皮疹、关节疼痛等症状,自身抗体阴性,炎性指标正常,故SOP的可能性不大。COP患者一般有发热、气促、干咳等,经抗感染治疗无好转,影像学可表现为下叶、外周、胸膜下多发的磨玻璃实变影,可有反晕征,游走性,该患者需考虑COP的可能。
鉴别诊断流程:

进一步辅助检查:
支气管镜(2021-6-8)气管及支气管:管腔通畅,粘膜光滑,未见新生物、隆突锐利。透视引导下于右肺中叶阴影处行TBLB(ROSE可见纤毛细胞、淋巴细胞及少量中性粒细胞)。于右肺中叶内侧段行刷检。于右肺中叶内侧段灌入生理盐水60ml,回收液30ml送细菌、真菌及结核菌涂片和培养。冲洗液和肺组织细菌、真菌、结核、隐球菌荚膜抗原、抗酸染色均阴性。
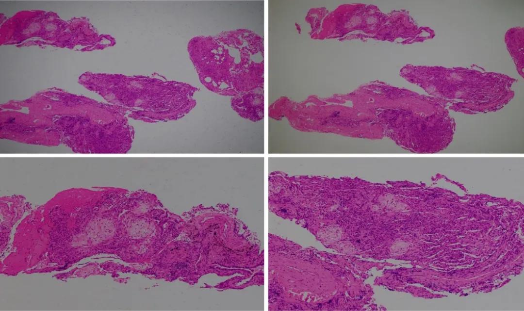
病理:(右肺中叶TBLB)支气管壁及肺泡组织,支气管粘膜内慢性炎症细胞浸润伴炭末沉积,肺泡腔内见增生纤维成团排列,肺泡间隔纤维组织增生,伴急慢性炎症细胞浸润致肺泡间隔增厚,现有组织符合机化性肺炎改变。补充报告:(右肺中叶TBLB)肺特殊染色未查见阳性菌。免疫组化:CK{pan}(上皮+),TTF-1(上皮+组织细胞+),CD68{KP1}(组织细胞+)。特殊染色:PAS(-),抗酸(-),六胺银(-),网染(网状纤维+)。

修正诊断
隐源性机化性肺炎(COP)
治疗方案
6-11至6-13:甲强龙40mg qd*3天,辅以兰索拉唑护胃、钙尔奇补钙治疗。
6-13(出院)开始:
- 醋酸泼尼松片 5mg/片 每日1次 每次6片 ;
-(奥克)奥美拉唑肠溶胶囊 每日1次 每次1片;
-(钙尔奇)碳酸钙D3片 每日1次 每次1片。
后续治疗方案
2018.6.13-9.7(约3月)醋酸泼尼松片 30mg qd po
2018.9.8-10.9(1月)醋酸泼尼松片 25mg qd po
2018.10.10-11.12(1月)醋酸泼尼松片 20mg qd po
2018.11.13-11.28(半月)醋酸泼尼松片 15mg qd po
2018.11.29-2019.1.4(5周)醋酸泼尼松片 10mg qd po
2019.1.5-2019.2.5(1月)醋酸泼尼松片 5mg qd po
2019.2.6 起停药
随访胸部影像学:

停药后随访情况:
2019-02-06 起停用药物。
2019-03-25 复查胸部CT,提示两肺病灶较停药前有所增多。考虑患者目前无明显咳嗽咳痰,胸闷,气促不适,炎症指标均正常,已停用激素1月余,嘱患者暂继续观察。
2019-05-13 胸部CT示「机化性肺炎」治疗后复查,与 2019-03-25片相比两上肺病变部分稍进展,余较前相仿。
随访胸部影像: 2019-5-13胸部CT见肺部阴影增多。

肺部阴影为何增多?
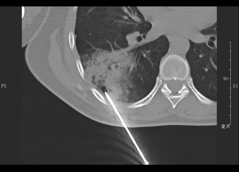
CT引导下肺穿刺活检(2019-05-14)

病理: (肺穿刺)少量支气管壁及肺组织,肺泡间隔明显增宽,可见浆细胞及淋巴细胞浸润,考虑炎症性病变。补充报告:(肺穿刺)特染未提示有血管炎病变。免疫组化:CD31(+),CD34(+)。特殊染色:弹力(-),Masson(-)。

调整治疗方案: 考虑患者机化性肺炎复发,予醋酸泼尼松片15mg qd、硫唑嘌呤片50mg qd治疗,同时辅以兰索拉唑护胃、钙尔奇补钙治疗。
继续用药随访情况:
患者2019年6月和7月随访胸部CT,较前2019-05-13片相仿。
2019-08-19来院复诊,无咳嗽,无发热,无气喘。入院后查血常规、肝肾功能、电解质、心肌标志物、免疫球蛋白、细胞免疫、肿瘤标志物均正常,CRP:7.4mg/l,ESR 18mm/H。
胸部CT(2019-08-19):右下肺新发炎症病变;余两肺炎性病变,较前相仿。

补充辅助检查: T-SPOT:A/B(76/46),隐球菌荚膜抗原 阴性,G试验、GM试验 阴性;自身抗体阴性。
CT引导下肺穿刺活检(2019-08-20)

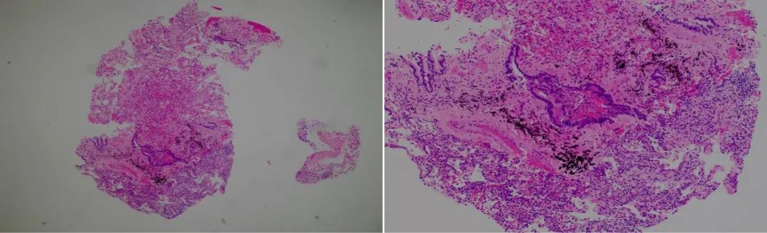
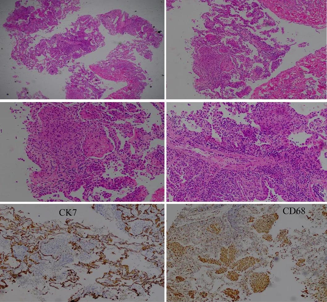
病理报告: (经皮CT引导右下肺斑片造穿刺活检)少量肺组织,肺泡间隔增宽,部分区域可见类上皮细胞巢和淋巴细胞浸润。免疫组化示肉芽性病变,伴肺泡上皮增生和T淋巴细胞浸润,特殊染色见抗酸阳性杆菌。免疫组化:CD68{KP1}(示组织细胞丰富),CK{pan}(上皮+),Ki-67(25%阳性),LCA(淋巴细胞+),CK7(上皮+),CD3(较多淋巴细胞+),CD20(少数淋巴细胞+)。特殊染色:PAS(-),抗酸(+),六胺银(-),网染(网状纤维+)。

再次调整治疗方案
开始予四联抗结核:异烟肼0.3g qd po,利福平0.45g qd po,乙胺丁醇0.75g qd po,吡嗪酰胺0.5g tid po
停用硫唑嘌呤;糖皮质激素逐步减量至停用。
转归:
(1)抗结核治疗1月后随访胸部CT:

(2)抗结核治疗1年随访胸部CT:

专家点评
张静教授
侯医生读片还是很全面的,但读片更应该结合病史。该患者青年女性,急性起病,胸部影像提示双肺弥漫性病变,读片时应关注累及的部位,是实质还是间质、血管等。此片目前未见胸水,胸膜未累及;再看分布,两肺弥漫性分布,沿着支气管血管束,肺血管疾病基本可排除。病灶性质,磨玻璃改变,支气管壁增厚,形成牵拉性支扩,有间质累及。同时有实变,存在反晕征,结节样改变,根据影像缩小诊断范围。结合该患者影像特点,首先考虑吸入性问题,是否有慢性过敏性肺炎可能,但病史上无反复发热,反复疾病发作的情况,暂不考虑。另外还需要考虑肺曲霉病,但患者无相关暴露史,无免疫抑制基础,暂不考虑肺曲霉病。结节病和机化性肺炎也存在类似的影像学改变。其他的如急性间质性肺炎和淋巴瘤,也需要进一步鉴别。沿支气管血管束分布的还有卡伯氏肉瘤,可根据免疫细胞、HIV等后续的辅助检查进行鉴别诊断。
金美玲教授
很高兴参加PCCM中山专场。王医生和杜医生分析很全面。作为呼吸科医生,要有疾病的诊断思路。该患者影像学表现为肺部阴影,可从肺部阴影待查的思路分析该病例。该患者青年女性,症状不典型,有胸痛,偶有咳嗽,现有实验室检测大部分为阴性,最主要特征为两肺散在肺部阴影,应从肺部阴影角度开始分析。根据杜医生做的诊断流程图,可从感染性和非感染性疾病分析。感染性疾病首先考虑细菌性感染,但经过抗感染治疗后病灶未见吸收,细菌感染可能性不大。其他的如隐球菌、结核、真菌感染等,结合患者症状和血化验等指标,考虑感染的可能性比较小。非感染性肺部阴影,首先考虑肿瘤,肿瘤临床表现多样,存在炎症样肿瘤可能。另外是否存在吸入、药物因素,鉴别诊断应该考虑的因素。肺部阴影中还有一些是与间质相关,如特发性间质性肺炎、隐源性机化性肺炎等,这些疾病有待进一步病理诊断。
病理科卢韶华主任医师
大体病理看是一个非肿瘤性病变,结合该病理无肉芽肿、坏死、菌丝、菌团,考虑非感染性病变。第二张病理可看到明显实变,在实性病变中可见纤维母细胞灶,是机化性肺炎典型的病理学改变。肺泡间隔有少许出血,少量炎症细胞浸润,较多的胶原纤维组织增生,肺泡腔塌陷。结合胸部影像学磨玻璃实变影,活检部位应该在实变部位,符合机化性肺炎病理改变。至于是隐源性还是继发性,在病理上目前还不能确定,还需要和临床结合进行诊断。
顾宇彤教授
各位学员思路清晰。该患者使用激素时间约8月,后逐渐减量只停药,复查胸部CT见病灶增多,首先考虑是机化性肺炎的复发。但长期使用激素患者免疫力低下,也要考虑到NTM、结核、真菌、隐球菌毒力低的病原体感染。除了复查T-SPOT、G、GM、隐球菌荚膜抗原等指标,另外,免疫细胞功能也需要完善,用了激素后T细胞亚群等如有低下,更能支持继发感染。当然,诊断的错误也会有发生,比如淋巴瘤、结核等,用了激素后也可有缩小,后续再增大。该患者前期排除比较彻底,除了炎症标志物、GM试验等,特别病理和特殊染色。综上,我也同意大家的观点,目前还是考虑隐源性机化性肺炎的复发。
李华茵教授
该病例真是一波三折,目前机化性肺炎诊断明确,停药后进展,进展后加用硫唑嘌呤。目前阶段出现右下肺新发病灶,和前面影像学表现不同。这次病灶靠近胸膜下、实变、支气管充气征,周围有晕征改变,结合T-SPOT,考虑结核感染。但本病灶位置并不是结核好发部位,虽然G和GM试验阴性,但也不能完全排除真菌性感染,此时需要借助侵袭性方法进行微生物培养,更有利于下一步更精准治疗。
何礼贤教授
我同意李教授的分析,这个病人诊断明确,是隐源性机化性肺炎,激素治疗约8月,目前右下肺出现新病灶,与之前病灶特征不同。另外,此机化性肺炎的影像学特点和通常看到的隐源性机化性肺炎不同,通常我们看到的隐源性机化性肺炎多为游走性的实变影,该患者闭塞性支气管炎的特征比较明显,支气管壁的增厚、扩张、扭曲,肺实质病变和炎症、小叶中央型小结节也存在,是闭塞性支气管炎伴机化性肺炎,这种表型比较少,可增加深呼吸相胸部CT协助诊断。此患者免疫抑制,免疫力低下,社区发病,有文献报告免疫力低下CAP和普通CAP病原体谱相同,但根据患者影像学特点和治疗反应,要注意特殊病原体感染。免疫抑制患者并发结核有两种情况:继发性肺结核,原来就存在潜伏肺结核,免疫力低下时复发;该病人我还是考虑原发性肺结核。
洪群英教授
这次病例讨论选择的病例很好,极具挑战,临床医生对该病例的诊治付出很多,各位学员总结资料较全,分析思路清晰。就这个病例我来谈谈我的看法。对于这种病例还是要临床结合影像、病理的综合诊断。该隐源性机化性肺炎激素治疗有效,最初诊断明确。那么,对于机化性肺炎,肯定要鉴别是COP还是SOP,诊断前提要排除继发的一些因素,大家已经做了很多的鉴别。该病人第三段出现右下肺新发病灶,活检抗酸染色阳性,抗结核治疗有效。对于该病人第二段,病理提示炎症性改变,和第一段机化性肺炎病理改变还是有些不同,是用机化性肺炎解释,还是存在感染的因素,仍存在一些疑问,后续尚需要密切随访。
杨冬教授
通过该病例也学到了很多。对于我们内科医生而言,要有福尔摩斯思维,从临床思维中抽茧丝剥,找到关键点,协助我们的诊断治疗。该病例凸显了我们综合大型医院的优势,在整个诊疗过程中,都取到了病理,病理诊断为机化性肺炎,开始系统性治疗。在治疗的过程中,出现了几处疑点,包括停激素后出现影像学进展,但病灶较小,在这种情况下仍进行了肺穿刺,一是我们临床医生诊疗思路缜密,另一方面和患者及家属有效的沟通。虽取到的组织较少,与第一次病理比较,支撑是机化性肺炎复发。最后一次病理结合T-SPOT,考虑是肺结核感染,并予抗结核治疗,也是有病理支撑的。从这个病例中,我们可以看到收集病理对我们的帮助,通过临床表现,影像学特征判断疾病。那么,从另一个角度,我们取到病理后,通过病理特征对比影像学特征会更有帮助。
宋元林教授
首先,感谢各位学员,还有点评教授,点评精彩到位。这次病例讨论选择的病例很好,各位学员总结资料齐全,分析思路清晰。我提出一点是这个患者未行肺功能检测,该患者的肺功能有可能会有气道阻塞表现。另外该患者影像学和临床表现分离,影像学表现弥漫性病变,病变重,但并未出现明显低氧血症,从此推动病理不是肺泡渗出性的,不是血管性的,是肉芽肿性的,这种情况下不会影响通气血流比例失调,不会出现低氧血症。还有一点是这个患者未出现气急、低氧,我们有机会取到病理,若该患者低氧很明显,取到病理就很难。这个病人的病情本身变化给我们创造了取病理的机会。如果患者不同意取病理,我们就要冒一定风险进行治疗。总体来说,这是个非常好的病例。另外,患者对激素的反应,同样接受激素治疗,为什么该患者会肺结核感染,所以应该检测免疫功能的变化,可就这方面总结一些经验。
作者介绍

王林林
复旦大学附属中山医院呼吸科 主治医师 医学博士;2018级PCCM学员;主要研究方向为急性肺损伤和肺部感染;在相关领域发表多篇SCI和核心期刊论著,主持和参加多项国家级课题。
本文完
*今条头日**排版:刘旋