文 | 米粒妈 (公众号 米粒妈爱分享)
根据国家卫健委发布的调查结果显示,5岁儿童乳牙龋患率为70.9%,也就是说 ,5岁儿童中“十个孩子中,有7个龋齿!”。最迷幻的是,即使天天刷牙,龋齿还是会找上来!

小朋友最常蛀牙的地方TOP3:
1、上排门牙
2、臼齿咬合面
3、牙缝

上排门牙
首先,上排门牙是宝宝最早萌发的牙齿,一般来说,最早五六个月时,上排大门牙就开始崭露头角了,所以就时间上来说,这几颗牙齿是最开始使用的,所以也常是最早发生蛀牙的。
其次,很多孩子都有奶睡的问题,不管是瓶喂还是亲喂;因为"奶瓶性龋齿"这个名字,让很多妈妈们误会,只有用奶瓶喝配方奶奶睡才会蛀牙;其实,吃母乳亲喂,只要不刷牙,一样会蛀牙!

甚至亲喂得龋齿的几率会更高。因为晚上喂母乳,几乎没有人会拍醒宝宝刷牙或者漱口吧。
此外,上排门牙常被嘴唇盖住, 清洁上比较困难;再加上这部分口水浸润少,比较难保护到牙齿;这些都是造成孩子小小年纪,门牙黑黑的主要原因。

怎么办呢?
两件事:戒夜奶、清洁口腔
米粒妈在《什么时候戒夜奶?怎么戒?这篇全都告诉你!》中讲过,宝宝6个月起,就已经具备了戒夜奶的条件,最迟1岁,也要帮宝宝把夜奶戒掉!

再来就是从孩子长第一颗牙起,妈妈就一定要每天早晚帮孩子刷牙,注意!是帮孩子刷牙不是让孩子自己刷牙。
美国儿童牙医学会明确表示,在孩子七岁有能力把自己的牙齿确实刷干净之前,都应该是由家长每天早晚两次帮孩子把牙刷干净。
记得,上下嘴唇都要掰开来,把牙齿跟齿龈间轻轻刷干净,每次刷牙要刷足两分钟才能真正把牙齿刷干净。

臼齿咬合面
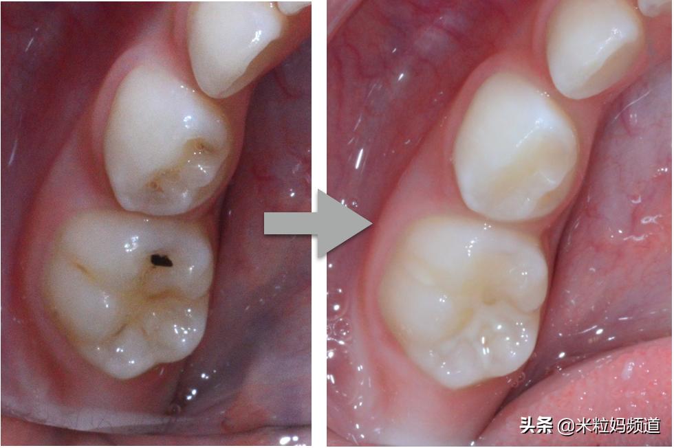
臼齿咬合面有许多沟纹,特别是那些又甜又黏的食物最容易堆积陷在凹槽里,更糟糕的是,这个部位牙刷又刷不到,完全是清洁的死角,就妥妥的变成牙菌斑滋生,蛀牙发生的绝佳位置了。

怎么办呢?
除了加强清洁、少吃又甜又黏类似麦芽糖之类的食物以外,窝沟封闭是个CP值超高的牙齿保健好办法。


很多孩子臼齿咬合面的沟隙看起来是黑黑的,很多家长会以为这就算是蛀牙,也只是一点点,反正乳牙掉了以后换恒齿就没事了,其实这样的观念大错特错!

不要小看这一点点的蛀牙,它很可能就像冰山一角一样,上面看起来只有一点点,其实底下已经快蛀到牙髓腔(下图粉红色的地方),而发生这种状况时,通常牙齿就开始痛了,也就是要做根管治疗(抽神经)的时候了。

美国牙科学会指出,臼齿窝沟封闭可以减少80%的蛀牙机率;而且经过窝沟封闭的臼齿,两年后表面的细菌数量,比没有经过沟隙封填处理的要少了2000倍!是不是很惊人!

牙缝
牙缝容易蛀牙就很好理解了,不但容易卡食物,而且食物塞在缝隙里,牙刷也束手无策,根本刷不出来;更糟糕的是,肉眼还不容易发现,要借助X光才能知道看清楚牙缝里到底有没有蛀牙。


怎么办呢?
除了跟上面两种蛀牙的预防方式类似的,包括少吃甜酸的食物;7岁以下的小朋友要由家长每天早晚两次帮忙把牙齿刷干净;从长出第一颗牙开始,就要养成定期看牙医、涂氟的习惯以外。
每天晚上刷牙前,要用牙线把牙缝彻底清干净。

那么,多大的宝宝就要开始用牙线了呢?
只要孩子的长出两颗很接近彼此的牙齿,形成一个能够塞食物又不容易清理的牙缝后,就要养成每天用牙线把牙缝清干净的好习惯。


米粒妈提醒妈妈们注意孩子一些常有的、却会影响牙齿健康的坏习惯,如果你家小孩刚好也有这些习惯,记得一定要让孩子尽快改掉这些习惯:
- 用牙齿开饮料、撕包装,结果就是牙齿断掉了
包括把牙齿当开罐器、用牙齿撕包装袋、用牙齿咬断胶带…
用牙齿咬异物,容易造成牙齿表面微小的裂纹,这样的裂痕起初难以察觉,但一段时间后可能恶化,会造成牙裂或牙断裂。

- 咬冰块、咬坚果壳,结果就是牙齿啃掉一块
包括有些孩子喜欢啃咬冰块、习惯用牙齿剥坚果、啃海鲜壳、骨头等硬物;
长期习惯啃咬硬物或过韧的食物,会造成牙齿磨损比较快,如果又刚好有蛀牙的问题,就可能加速蛀蚀的速度,让蛀牙的状况迅速恶化。

- 喝太多含糖饮料,结果就是牙齿酸酸的
许多孩子都喜欢喝汽水,可是碳酸加上糖,就会造成牙齿的酸蚀;除了汽水,妈妈还要注意,包括天然果汁跟乳酸饮料都容易侵蚀牙齿;
所以可能的话,尽量不要让孩子养成喝含糖饮料的习惯,偶尔为之也要记得喝完饮料后,多喝水或漱口,降低口中酸性,而且睡前一定要使用含氟牙膏,彻底清洁牙齿。

- 食物太黏牙,结果就是补的牙被黏下来
包括麦芽糖、太妃糖、牛扎糖都容易黏牙,而这类高糖分又黏牙的食物,因为不容易清除,特別容易黏在牙齿表面或卡在牙齿的隙缝中,时间一久,就增加蛀牙的机率;
此外包括麻糬、汤圆这类食物,也很容易造成补牙的不管是填充剂、牙套或假牙移位或脱落。
此外一些过韧的肉干或是鱿鱼丝,也不太适合孩子食用,容易扯坏牙齿,妈妈们都请特别留意。


学校还没开,熊孩子成天在家,米粒妈最后提供妈妈们一个孩子一定喜欢的有趣亲子讨论话题:“动物没有刷牙,他们会蛀牙吗?”
我们先从国宝猫熊说起,猫熊每天至少有12个小时在吃竹子,竹子富含纤维,就像天然的牙刷一样,也就是说,猫熊每天至少有一半的时间都在清洁牙齿、按摩牙龈。

至于狗狗猫猫,他们的口水偏弱碱性,蛀牙虫喜欢酸性的环境,所以狗狗猫猫们是用口水赶走蛀牙虫。
兔子和老鼠这些啮齿类动物,牙齿会不断生长,所以它们需要不停磨牙,磨掉旧的,因为新的一直长出来,所以他们也不会蛀牙。

说到鲨鱼就更厉害了,鲨鱼一生中可以长出上千颗牙齿,有的鲨鱼甚至7天就换一次牙,所以鲨鱼总有一口闪闪发亮的白牙。

更重要的是,所有的动物都:没喝含糖饮料、没吃甜食、三餐少糖!所以他们当然也就不容易蛀牙!
孩子的口腔健康一定要特别注意,坚持每天给孩子刷牙,大一点的孩子可以自己刷牙,别怕麻烦,也要定时带孩子去看牙医。
米粒妈大学室友的妈妈是个牙医。记得大学那年暑假,米粒妈去看她。她妈妈送给我的“见面礼”是洗牙
希望大家把这篇转给更多的家长,就算是宅在家,健康问题也不能忽略哟!


前段时间,米粒妈结膜炎又犯了,还没带药,结膜炎在美国开药必须医生处方,幸好好朋友就是医生,才能顺利买到药。

结果好不容易弄到了美国医生处方,花了31美金排队买,网上查用法,发现这个药在猫眼药区可以直接买,只要10美金,而咱们国内只卖2块钱

只能说结膜炎伤不起,看我结膜炎反反复复那么痛苦,米粒爸心疼我,经常让我不要那么拼命写稿。
米粒妈(mlm603)当然知道,经常对着电脑对眼睛有影响,但每次想到,自己写的东西能给大家传递一些有用的东西,再怎么辛苦都值得

做着自己喜爱的事业,能在力所能及范围内为社会做点贡献,还有一直默默支持米粒妈(mlm603)的你们,这就是意义所在吧
作者简介:@米粒妈爱分享(欢迎关注哦),美国海归、原500强高管麻麻一枚,专注于0-5岁宝贝的科学养育、英文和数学启蒙,以及全世界的新奇好物推荐,欢迎关注!(5-12岁宝妈请关注:@米粒妈频道)
想阅读更多精彩文章,请点击下方“了解更多”