患者,杜某某,男性,24岁,于5岁时渐出现眨眼及面部不自主抽动。16岁时出现前臂不自主抽动。18岁伴发声、说脏话,生活中因不自主爆发式抽动会打到别人,有时会误伤自己,至今19年。家属曾多次就诊各大医院,诊断为“抽动秽语综合征”并服用氟哌啶醇、硫必利等药物治疗多年,即使服用氟哌啶醇最大剂量症状也无法有效改善。因病史较久,患者出现严重的焦虑、抑郁,因此也影响了日常生活和学业。家属为了寻求最佳治疗方法,在他院医生的介绍下,转至上海市东方医院功能神经外科手术治疗。
“抽动秽语综合征”,这是一种儿童发育行为疾病,以突发性抽动、爆发性发声和伴随秽语性语言为特征的抽动障碍,还可伴发多种多样的行为症状或精神障碍。主要症状是不受控制的肌群抽动和发声。这种抽动可以是身体上的,也可以是语言上的(比如突然发出怪声和说出脏话)。由于此病治疗困难,成年患者多数不能回归社会,也经常受人歧视,无法控制的症状经常被误解为“精神病”。
此病经药物治疗,如氟哌啶醇或硫必利等至少5年以上,若抽动症状仍不能有效控制,并严重影响日常生活者,可考虑功能神经科的手术治疗。同济大学附属东方医院功能神经科,采用手术治疗“药物难治性抽动秽语综合征”,其手术特点是多靶点的核团调控,如:内囊前肢、苍白球、杏仁核、扣带回、伏隔核等。通过手术调控这些核团功能,使得患者症状减轻或消除。由于“第五代脑立体定向”的核心DTI技术,它可清晰精确定位脑内神经核团,从而避免伤及其它部位,使得手术更安全、有效。

DTI技术:脑中重要的神经系纤维束走向

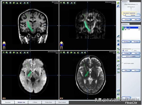
手术计划系统,通过多影像融合计算手术靶点位置及进入路径

立体定向系统,确保手术入路的精准性
术中将扫描图像输入计算机的立体定向手术计划系统,进行神经核团靶点的选定、校正。使用微电极记录系统不断记录植入通路的细胞电信号,进一步了解植入位置的精准程度。

神经调控治疗抽动秽语综合征,主要有两种手术方式,一种是脑深部电刺激术治疗(DBS)技术-DBS脑起搏器治疗,脑功能是可逆调节的。该手术术后三周可开机调控,症状改善率达90%以上。通过手术,患者可摆脱长年患病的痛苦。
另一种手术方式是“立体定向多靶点神经调控术”,该手术采用射频技术,对多种神经核团采用射频技术进行一次性调控,不需要仪器调整,术后即刻有效,症状改善也较为稳定。
至于选择哪种手术方式,需要因人而异来决定,家属和医生需要协商一致才能取得较好疗效。(本号的医学科普文章由同济大学附属东方医院功能神经科医编小组发布,禁止抄袭)
致头条读者:
您若有疑问可以发表文章评论,若您想咨询或更深层次的交流可以通过本平台“私信”功能进行对话,我会尽力帮助大家,解决疑惑。