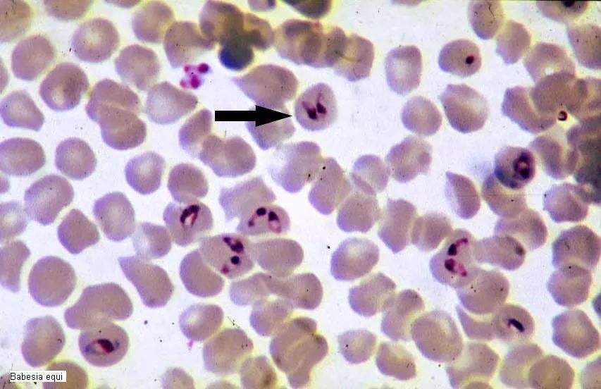
犬巴贝斯虫病主要是由犬巴贝斯焦虫和吉氏巴贝斯焦虫寄生于犬体内引起的一种严重的原虫病。我国报道的主要是吉氏巴贝斯虫,临床上主要是以严重贫血、黄疸、血红蛋白尿和血红蛋白缺乏为主要特征。

当有巴贝斯虫感染时,虫体随唾液进入犬体内感染犬,本病多呈慢性经过,病初精神沉郁,喜卧、四肢无力,神图摇摆,发热40-41摄氏度、食欲减退或者废绝、消瘦、贫血、结膜苍白、黄染,常见有化脓性结膜炎。从口、鼻流出具有不良气味的液体。尿呈黄色或者暗褐色,如酱油样,腹部触诊脾肿大,肾脏单侧或双侧肿大,常在病犬皮肤上找到蜱虫

虫体发育过程中需要蜱虫作为媒介。吉氏巴贝斯虫的传播者为长角血蜱、镰形扇头蜱和血红扇头蜱。蜱虫在吸血的时候,将巴贝斯虫的子孢子注入动物体内,子孢子进入红细胞内,以二分裂或出芽方式进行裂殖生殖,形成裂殖体和裂殖子,红细胞破裂,虫体又侵入新的红细胞,反复几代后形成大、小配子体。蜱再次吸血时,配子体进入蜱体内进行发育。在子代蜱吸血时,将巴贝斯虫传给动物

巴贝斯虫在红细胞内繁殖,破坏红细胞,导致溶血性贫血,并引起黄疸。虫体本身具有酶的作用,使动物血液中出现大量的扩血管活性物质,如激肽释放酶、血管活性肽等,引起低血压休克综合征。虫体可以激活动物的凝血系统,导致血管扩张、淤血。从而引起系统组织器官缺氧,损伤器官

如果发现犬身上有蜱虫,同时出现相应的症状,应及时带去医院进行治疗,平时做好蜱虫的预防,高发地区,应按时驱虫
大白宠物dabaicw,以解决宠物问题为主