29岁,育龄期女性,7天前发现左侧腹股沟处包块突出,伴明显疼痛。
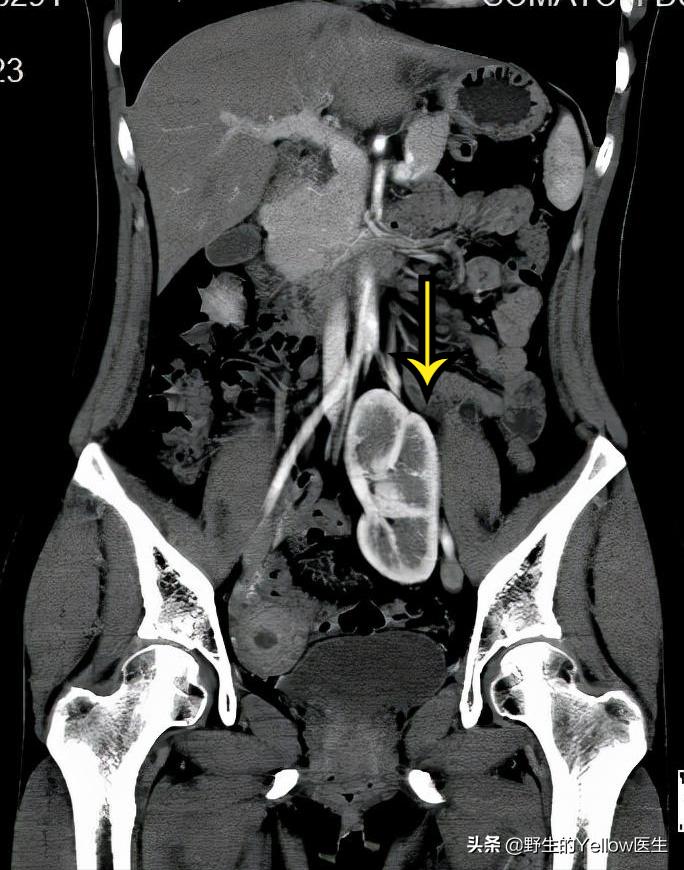
CT有什么发现?左侧腹股沟管可以见到软组织突出,考虑为卵巢,目前血供良好。

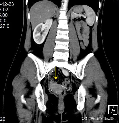
CT发现还不仅于此。这个病人的左肾也不在生理位置,异位在盆腔。
正常的肾脏大概在腰部。

同时,子宫也有发育畸形。正常人子宫有两个宫角,通向同侧的输卵管,而她只有一个宫角——单角子宫。

这个病人的病情其实环环相扣
女性中肾管及中肾小管退化成遗迹,而副中肾管则继续发育成为女性内生殖器官。
副中肾管的头部衍化为输卵管;中段向内向下斜行,在中线与对侧合并成为1个管道,衍化成子宫底部及体部;其尾段则衍化成子宫颈和阴道上段。
中肾管近泄殖腔处形成输尿管芽,继续发育成为肾盂、输尿管和集合管。生肾索形成生后肾原基,后者继续分化跟输尿管芽结合形成肾脏。
讲人话就是,子宫跟肾脏在胚胎期是从一个地方长出来的,然后不断成长变形成熟。假如这个过程发生了障碍,就可能导致子宫跟肾脏的畸形。
这个病人恰好子宫跟肾脏在分化的过程中发生了点小问题,导致了右侧单角子宫跟左侧异位肾。然后左侧的卵巢没有子宫帮忙固定,就在盆腔游离。结果她左侧腹股沟管比较薄弱,卵巢就掉进左侧腹股沟管,形成左侧腹股沟卵巢疝。
幸运的是,她及时就医。通过CT检查发现了问题所在,卵巢血供正常,没有缺血坏死。最终她接受了卵巢回纳跟腹股沟管修补手术。术后3天,快速康复出院了。
我是野生的Yellow医生,放射科主治医师,关注我,继续为您带来医学科普!