在盆腔成像中,呼吸和肠道运动很小,但如果不加提前说明,可能会降低图像质量。空腹应在盆腔MR前4-6小时开始。如果不存在禁忌症,建议服用抗蠕动药(胰高血糖素- IV或IM -或丁基东莨菪碱IM)。利用腹带来限制运动可以减少运动诱发的伪影,呼吸门控、触发和导航的利用也是如此。膀胱应仅适度扩张。在美国,MRI通常不使用阳性或阴性口服造影剂。T2WI显示了子宫交界区解剖结构,区分了子宫内膜和子宫肌层(在增殖期T2WI上为中等信号结构,但由于水肿和血管流量增加而在分泌期为高信号)。
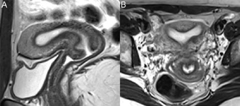
胚胎学上,两个苗勒管融合形成上阴道、子宫颈、子宫和输卵管。由该融合产生的囊肿在MR表现上相似,并根据位置命名:子宫颈内的Nabothian囊肿、盆腔横膈膜下后外侧外阴阴道前庭腺内的Bartholin腺囊肿和与先天性泌尿生殖系统异常相关的前外侧阴道横膈膜上方的Gartner囊肿。图74.1显示了前庭大腺囊肿的特征性外观,即(A)轴位T1WI上信号低,(B)轴位和(C)冠状位FS T2WI上信号高。囊肿信号因内容物而异,未感染囊肿的囊壁不增强。

▲ 图74.1
MR可以可靠地显示苗勒管融合中的先天性缺陷。女性生殖器异常的ESHRE/ESGE共识分类系统以解剖学为基础。U5级/再生障碍性子宫病变由苗勒管发育不全或发育不全组成。如果存在子宫,则在T2WI上表现为低信号结构。单侧苗勒管发育不全导致单角子宫(U4级/半子宫),形成的子宫表现为体积小、偏离中线的结构。对侧角,如果不是再生障碍性

▲ 图74.2
(U4b类)在T2WI上表现为空洞性(大致保留了连接解剖结构)或非空洞性(不对称低信号增厚)。图2(A)轴向T2WI74.2显示了双子宫(U3b类完全双子宫)——一种融合异常,导致两个正常大小的子宫和宫颈(C2类)伴阴道上部子宫肌层间隔。典型地保留了连接解剖结构,如图74.2A所示。在该特殊病例中,子宫底彼此相对,而左侧卵巢内偶然出现子宫内膜异位囊肿(星号)。图74.2B的轴向T2WI示出了底部更多融合在一起的双子宫(U3类/双子宫)-具有保留的交界解剖结构和部分融合的子宫底(U3a类/部分型双子宫)。纵隔子宫(U2a类/b部分/完全)表示在其他方式融合的苗勒管之间的纤维隔膜吸收失败,图74.3的(A)矢状和(B)轴向T2WI示出了该情况。此处不存在低信号纤维成分,仅存在于轮廓正常的子宫中,基底部子宫内膜中线增厚伴凹入基底部腔内。来自子宫内己烯雌酚暴露的T形子宫构成U1a类/ T形畸形子宫异常,但现在己烯雌酚早就禁止用于保胎治疗了。

▲ 图74.3

▲ 图74.4
在T2WI上对平滑肌瘤进行最佳评估,如图74.4A所示,其中存在多个不均匀病变。基底部病变(白色箭头)具有特征性外观T2WI上可见界限清楚的肿块,相对子宫肌层呈低信号。低信号与平滑肌和纤维含量相关,而病变因其周围压迫子宫肌层的假包膜而明显。在(B) CE T1WI上,与正常子宫相比,平滑肌瘤均表现出边界清楚但增强减弱。平滑肌瘤增强情况确实各不相同,高强化意味着子宫动脉栓塞结果良好。T2WI上的高信号病灶在图74.4中最大的平滑肌瘤中明显可见(星号),与透明样变性、脂肪变、囊变、出血、粘液和粘液性变性相关,无特异性。然而,出血性变性可通过T1WI上的高信号和缺乏对比增强得到可靠识别——这些特征预示着子宫动脉栓塞的预后不良。细胞平滑肌瘤在T2WI上也可能表现为高信号,并表现出强烈的对比增强。平滑肌瘤的鉴别诊断因病变部位而异:浆膜下病变可能与卵巢纤维瘤混淆,两种病变均为良性,而子宫肌层收缩也可能表现为子宫肌层低信号,推测是由于收缩组织内灌注减少所致。这种收缩使子宫内膜变形,保留了子宫轮廓。罕见的平滑肌肉瘤不能可靠地与良性平滑肌瘤区分开来,其显著特征是体积突然增大。然而,它们的边界可能不太明显,并可能表现出扩散受限、对比增强、坏死或出血。局灶性子宫腺肌病是肌壁间平滑肌瘤的主要鉴别诊断因素。图74.5显示了(A)矢状位和(B)轴位FS T2WI上腺肌瘤的典型表现。在两幅图像中,病变(白色箭头)表现为结合带边界不清的增厚(> 8 mm),信号强度降低与平滑肌增生相关。子宫内膜缺乏占位效应以及
从内膜到子宫肌层的高信号病灶和条纹(可能代表出血或异位子宫内膜)也是特征性的。子宫腺肌病也可表现为与异位子宫内膜相对应的高信号散在病灶。出血灶在T1WI上可能呈高信号。在CE T1WI上,腺肌瘤的增强可能不如正常子宫肌层迅速,并且由于异位子宫内膜腺缺乏增强,呈现所谓的瑞士奶酪外观。

▲ 图74.5