成为母亲前的280天
在对小生命漫长的期待中
每一天的心愿都是
宝宝的健康和平安
而守护孕妈妈们的健康
也是我们的愿望

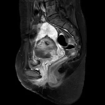
33岁的刘女士是沧州人,在一年多以前因患子宫腺肌瘤在当地接受了经腹子宫腺肌瘤切除术,后来又进行试管婴儿受孕,但是2个月前,这个让她满心期待了四个多月的小生命又在妈妈的子宫内暂停了旅程,刘女士只能通过药物引产将死胎娩出。但是,引产之后胎盘未能完全排出,刘女士接受清宫手术来清除残留胎盘。术后复查时,妇科彩超提示子宫杂乱回声团,考虑为胎盘植入,经核磁检查发现,胎盘植入处于之前子宫腺肌瘤挖除处,病灶大小约8×6×6厘米。

经多方了解,刘女士对不开刀、创伤小的海扶技术颇为认可,于是身在沧州的刘女士转至我院接受治疗。完善相关的术前检查后,市人民医院海扶中心为刘女士进行了海扶治疗。
治疗前的超声造影显示,病灶中间血流灌注非常明显,海扶手术后再看,病灶中心已经没有明显血流灌注了。病灶失去了血流供应,相当于没有了供给,这一部分变性坏死的组织就会被吸收或脱落被排出。

胎盘植入是一个会让医生和孕妈妈们心惊肉跳的词。胎盘作为负责母体与胎儿进行物质交换的重要器官,这个“营养补给站”长在子宫内壁上为胎儿传输所需营养,当胎儿顺利娩出后,“补给站”完成任务,即会自动剥离,脱离母体。
而胎盘植入就是胎盘绒毛穿入宫壁肌层,在妈妈的子宫里“扎根”了,本该自行剥离的胎盘紧紧抓住了子宫壁,成了 “钉子户”。这个令人闻之色变的“钉子户”可能会导致产妇大出血、休克、子宫穿孔、继发感染、甚至死亡。
刘女士在发现胎盘植入时已经做了引产,但是胎盘本身就是一张大血管网,同时作为异物,胎盘留在体内就如同一个定时*弹炸**,随时可能引发大出血,所以这个“钉子户”必须要被清除干净。
很多有生育需求的女性,对妇科疾病的治疗有不少担忧的情绪,因为害怕手术会对子宫形成创伤从而影响生育。不少胎盘植入患者最终还是很遗憾地被摘除子宫以预防大出血和感染,这个结果对于孕妈妈来说,是很沉重的打击。
目前,胎盘植入主要的治疗手段仍然是子宫切除,其次是药物治疗,和保守性手术治疗,如子宫动脉栓塞术、髂内动脉球囊闭塞术、宫腔镜下电切术等。而海扶手术的临床应用,为胎盘植入的治疗提供了新的选择。
海扶治疗是将高强度超声波聚焦到胎盘植入部位,通过热效应使绒毛组织变性、坏死,引起蜕膜与绒毛板分离,从而使植入胎盘组织与子宫肌层分离,更易于清宫术的实施,甚至胎盘组织自行剥脱出。
因为对机体的影响较小,海扶手术被称为“绿色疗法”。海扶刀治疗胎盘植入具有良好的安全性,对卵巢功能和生育能力影响不大,是保留生育功能的较好选择。相比传统手术,海扶治疗对子宫伤害更小,还可以缩短备孕时间。

石家庄市人民医院海扶中心
2010年,海扶刀在市人民医院安家;2017年被国家四部委联合授予全球超声无创治疗良恶性肿瘤技术临床示范基地;2019年,被授予国家高强度聚焦超声临床培训基地;2020年,团队已完成2000余例海扶手术。目前中心配备世界顶级超声造影系统,可在术中进行实时监控,让治疗更安全更准确。
我院不仅在省内较早开展此项技术,还成功将海扶技术应用于有生育要求的“子宫肌瘤、子宫腺肌病”患者,迎来了河北省的首个海扶宝宝。海扶技术不仅解决了患者们的病痛问题,还可以缩短备孕时间再圆妈妈梦,此后,又有数十个海扶宝宝顺利降生。
前几日,培训基地第二批“海扶学员”的结业考试由来自重庆的高级海扶医师何敏主考,3名学员通过完成手术实操顺利结业,他们将会用海扶技术帮助更多的患者。

爱,是一道微光
传递着希望
爱,是林下微风
吹起心底的涟漪
市人民医院海扶中心
用更小的伤害
为广大女性 解除痛苦
如星星聚集 梦涌芬芳
呵护女性 守护健康