
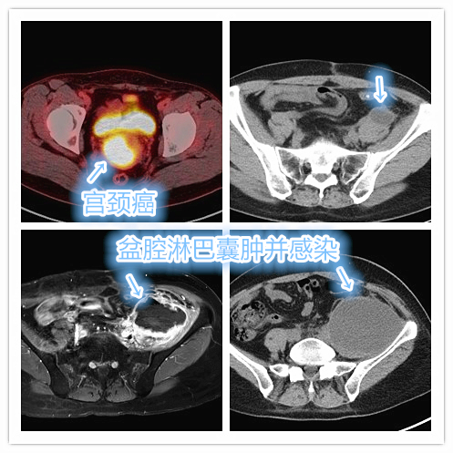
杨女士半年多前因阴道不规则出血,经检查确诊为宫颈癌,所幸发现较为及时,术后病理分期为Ⅰb期,属于宫颈癌早期,术后顺利完成辅助放疗。中晚期宫颈癌治疗后进展怎么办?

但就在2个月前杨女士出现右侧髂腰部酸痛不适,随即复查CT显示盆腔囊性包块,结合病史,考虑为典型盆腔淋巴囊肿。经保守治疗无效后,于当地医院先后行2次经皮穿刺抽液治疗,但单纯抽液后囊腔短期内仍反复。近1周局部肿胀、疼痛感明显加重,并局部皮温升高,考虑盆腔淋巴囊肿并感染。妇科恶性肿瘤术后为何容易出现盆腔淋巴囊肿?

盆腔淋巴囊肿并感染
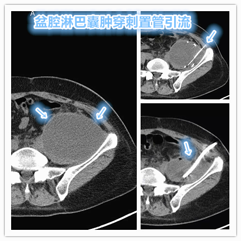
随后杨女士转诊至介入科,经评估考虑为复发、难治性盆腔淋巴囊肿,且已继发严重感染。随即安排CT引导下经皮穿刺盆腔囊肿置管引流,抗生素反复冲洗治疗,经治疗后患者症状即刻缓解。后续联合抗感染治疗,待囊液充分引流后予以硬化治疗,闭塞囊壁。CT介入硬化治疗妇科术后盆腔淋巴囊肿

宫颈癌切除术中的淋巴结清扫及术后辅助放疗是导致术后出现盆腔淋巴囊肿的常见原因。经皮穿刺抽液治疗盆腔淋巴囊肿复发率较高,单纯置管引流成功率为79%~87%,复发率高达30%。因此,对于复发难治性盆腔淋巴囊肿需充分引流后行硬化闭塞治疗,必要时需行淋巴管栓塞术以减低术后复发率。复发/难治性盆腔淋巴囊肿的介入淋巴管栓塞治疗

欢迎关注与点赞,更多妇科疾病介入微创治疗干货等你哦!
(此处已添加小程序,请到*今条头日**客户端查看)