如果您每天都照镜子,看着牙齿表面的一层一层地掉渣,会感到很恐怖吗?
不要以为这很可怕。确实有很多人的牙齿表面有浮渣,但他们不知道怎么回事。甚至有人认为这是钙缺乏症的一种表现。
那么,为什么牙齿的表面脱落?我们对于它可以做些什么呢?
为什么牙齿表面会掉渣呢?
覆盖牙冠表面的一层是牙釉质,就像蛋壳一样,保护牙齿内部的软组织,但是与蛋壳不同,牙釉质非常坚硬。如果维护得当,它可以承受数十年的咀嚼磨损。

牙齿表面掉渣了怎么办?#雅悦齿科#
但是,牙釉质作为身体中最坚硬的组织,实际上它也具有“脆碎的一面”。食物中的酸和细菌会逐步“侵蚀”牙齿的牙釉质,使牙齿的牙釉质受到侵蚀,然后形成蛀牙。

牙齿表面掉渣了怎么办?#雅悦齿科#
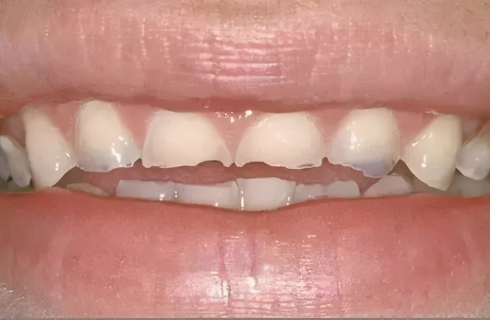
在牙齿的这个放大部分中,牙齿腐烂在中心形成,可以看出该部分的牙釉质已经破裂。而且,牙釉质不能再生,一旦损坏,就不能修复。

牙齿表面掉渣了怎么办?#雅悦齿科#
那么,这些细菌如何“吃掉”牙釉质?
当您吃完饭后,口腔中的细菌也开始大快朵颐,他们将糖分摄入糖和淀粉中,然后产生酸,从而腐蚀您的牙釉质。
此外,碳酸饮料和果汁中的酸也是有害的,这些酸将继续腐蚀牙齿。

牙齿表面掉渣了怎么办?#雅悦齿科#
牙釉质破坏带来的体验
牙釉质脱落后,牙齿上会形成蛀牙,但这不是唯一的缺点。您的牙齿将对冷热敏感。例如,吃冰淇淋或喝热咖啡会引起疼痛或至少不舒服。
加速牙釉质脱落的“隐藏敌人”
酒精

牙齿表面掉渣了怎么办?#雅悦齿科#
如果您想每天晚上睡觉前喝一杯酒,请注意它们会腐蚀您的牙齿或引起牙釉质染色。葡萄酒中的酸和色素对牙齿不友好。
如果需要喝酒,可以在晚餐时喝,想要喝酒的人也可以选择这次。由于晚餐时分泌的唾液量更多,因此有助于减少口腔的酸度。
消化问题

牙齿表面掉渣了怎么办?#雅悦齿科#
一些一般的健康问题也会影响牙釉质。这张照片显示了暴食症患者的牙齿。由于经常呕吐,胃酸向口腔中的回流会导致牙釉质的侵蚀。另外,胃食管反流综合症也会引起牙釉质的损害。
口干症

牙齿表面掉渣了怎么办?#雅悦齿科#
唾液不仅可以抵消口腔中的酸,还可以促进牙釉质的恢复,因此可以保护牙齿。
如果由于某些药物的副作用而导致口干或口干,该酸将继续腐蚀您的牙齿并造成更大的伤害。
磨牙
磨牙症也是导致牙釉质受损的“隐形敌人”。 晚上患有磨牙症的人异常咬紧和磨损牙齿多年,导致牙釉质被磨损或折断。

牙齿表面掉渣了怎么办?#雅悦齿科#
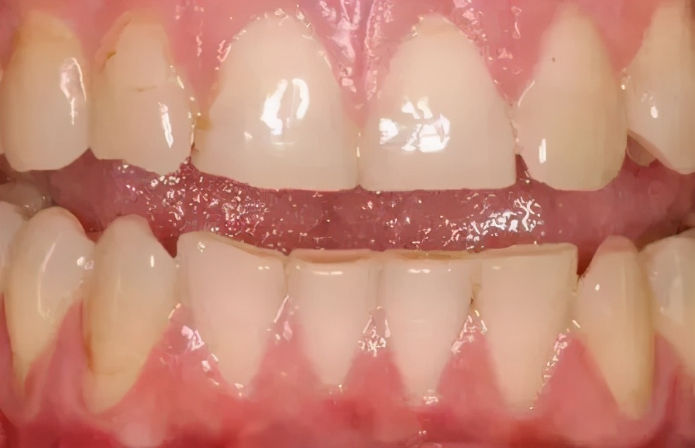
这张图片中,您可以看到上下前齿被磨掉了。
当您无法控制自己时,磨牙症在夜间最为严重。一般来说,放松自己和减轻压力可以减轻症状。
如果发现自己有这样的问题,可以咨询牙医,并戴上特殊的防护罩以减少对牙釉质的损害。
用牙齿作为开瓶器

牙齿表面掉渣了怎么办?#雅悦齿科#
尽管您的牙齿很锋利,就像您随身携带的“剪刀”一样,切勿用牙齿打开瓶子或撕开包装。 这样做会破坏您的牙釉质。 咬铅笔,指甲,玉米粒或冰块以及吱吱作响的牙齿可能具有相同的效果。
考虑一下,一把剪刀多少钱。 为了节省剪刀的咬伤,如果牙齿破裂,则必须拔出牙齿。
儿童牙釉质经常受损

牙齿表面掉渣了怎么办?#雅悦齿科#
许多专家认为,釉质侵蚀(或脱矿物质)的速度正在增加,尤其是在儿童中。 为什么? 因为现在孩子们喝太多的酸性或碳酸饮料。
另一个原因是,许多家庭选择瓶装水,这减少了暴露于氟化物的机会,因为自来水中含有氟化物-氟是龋齿的良好预防物质。 当然,它不是指过量的氟(过量的氟化物)(会导致氟牙症)。
防止牙釉质流失的提示
为防止牙釉质流失,您可以通过几个简单的步骤保护牙齿。
吃喝后刷牙
使用中度硬的牙刷轻轻刷牙,因为用力过大或使用硬毛的牙刷会损坏牙釉质。
使用含氟牙膏
饭后喝些牛奶或一块奶酪,以减少食物产生的酸
不含糖,含木糖醇的口香糖可促进唾液分泌并冲洗牙齿,以减少伤害。

牙齿表面掉渣了怎么办?#雅悦齿科#
改善口腔卫生习惯,使用牙线清洁牙齿之间的间隙,而不是牙签。
如果您要进行牙齿美白(家庭美白),则必须在咨询牙医后进行。 频繁的牙齿美白或操作不当会损坏牙齿。

牙齿表面掉渣了怎么办?#雅悦齿科#
虽然牙釉质很硬
但是受不了你的折磨
就像照顾好你的美丽脸蛋一样
好好呵护你的牙釉质吧
如果觉得这篇文章不错,就请收藏或分享给好友吧。添加雅悦齿科为好友,学习更多爱牙护齿科学方法。公众号:yyck2001