肛肠疾病的发病率为60%,其中痔疮的发病率最高,约占发病总人数的88%。对于这么大的发病群体,恐怕让人们的“菊花”瑟瑟发抖。尤其是当代年轻人,上班长时间久坐,下班后时不时去烧烤,啤酒,小龙虾,管不住嘴,迈不开腿,肛肠也拉响了红色警报。
万一得了痔疮,除了割掉,还有其他的办法吗?
今日阅读一篇来自以色列的研究:
《Embolization of the Superior Rectal Arteries versus Closed Hemorrhoidectomy (Ferguson Technique) in the Treatment of Hemorrhoidal Disease: A Randomized Clinical Trial》
《直肠上动脉栓塞术与闭合术(Ferguson术式)治疗痔病的随机对照临床试验》
通讯作者 Marcelo Katz ,来自以色列阿尔伯特·爱因斯坦医院。

目的:比较直肠上动脉栓塞术与手术切除治疗内痔疾病的近期和中期疗效。
材料和方法:本研究是一项前瞻性随机临床试验,将33例有症状的2级和3级患者随机分为直肠上动脉栓塞组(n=15)和Ferguson闭合手术组(n=14)。四名患者被排除在分析之外。在术后前7天,每天评估3次视觉模拟评分疼痛和镇痛剂的使用。在随后的1个月、3个月、6个月和12个月评估复发症状和对治疗的满意度。
结果:手术组 术后首次排便疼痛 平均为6.08±4.41,栓塞组为0(P=.001)。手术组平均止痛药使用量较高(28.92剂±15.78剂vs2.4剂±5.21剂;P<.001)。栓塞组最常见的术前症状为出血14例,完全好转12例(83.3%)。粘液、皮肤标记和瘙痒是两组患者几乎没有改善的症状。两组在12个月时症状(出血、疼痛、脱垂和瘙痒)的频率相似(P=.691)。两组均未观察到严重不良反应。
结论:尽管结果没有差别,但直肠上动脉栓塞术治疗痔病的疼痛程度低于手术治疗后观察到的疼痛程度。
目前还很难确定症状性痔病的确切患病率。
虽然许多患者可能会在一生中的某个时候出现有症状的内痔,但发病高峰出现在45岁至65岁之间。
治疗方法根据病情的不同而不同,既可以是非手术治疗(如药物治疗、*绑捆**治疗和硬化治疗),也可以是手术治疗。大约10%的内痔病例需要手术治疗。
手术治疗适用于即使临床措施仍有症状的2级内痔患者,3级和4级内痔患者,以及4级外痔患者。
然而,它们伴随着剧烈的疼痛,前24小时的疼痛评分约为6.1±1.5,第一次排便时的疼痛评分约为4.5±1.5。
本研究的目的是比较接受直肠上动脉栓塞术治疗2级和3级内痔疾病的患者与使用Ferguson技术进行手术治疗的患者的术后疼痛、技术成功和临床成功。
材料与方法
本研究是一项开放、随机的临床试验,分为直肠上动脉栓塞组和Ferguson手术技术组(图1)。这项研究得到了以色列爱因斯坦医院机构审查委员会的批准,并在ClinicalTrials.gov上注册。

样本量计算
本研究的主要目的是比较两组之间的术后疼痛。文献显示,痔疮切除术患者术后10天视觉模拟评分(VAS)的预期疼痛值为4.2,变异性为2.24 (SD = 2.24分)。此外,预计痔动脉栓塞在同一时间段内最多可产生2点疼痛(截至当时的系列资料表明患者在术后[PO]期间没有疼痛),在80%和95%的置信度下,每组需要20例患者进行研究。
人口
纳入标准为年龄18岁,根据Goligher内痔分类及手术治疗指征,伴有2级或3级症状性内痔病的患者——包括持续/复发性痔疮源性出血3个月,至少2次复发性痔疮血栓形成,瘙痒和痔疮源性粘液。
排除标准为4级内痔、外痔、血管造影禁忌症和日常止痛药使用。
由一名直肠科医生和一名介入放射科医生(S.E.A.A, P.M.F.)组成的医疗小组在门诊基础上对患者进行评估。患者接受完整的术前检查,包括评估临床症状及其持续时间、既往痔疮疾病治疗史、使用慢*药性**物、人口统计数据、肛门区域静态和动态检查、直肠指检和肛门镜检查。
根据Paris出血严重程度评分对出血进行分类。之后,所有患者均行结肠镜检查。在第二次临床评估中,将患者随机分为栓塞组和手术组。
随机
患者按标准排列区组随机分为2组,每组4人,手术组(S)2例,栓塞组(E)2例,共6个可能的区块。选择这种随机化是为了在研究期间保持两组之间的样本量的平衡,并减少两组之间的可变性和潜在的混淆。
栓塞术
直肠上动脉栓塞术是在局部麻醉和静脉适度镇静的情况下在一家第四医院的介入医学中心进行的,使用以下血管造影仪:Allura Xper FD20和Allura Clarity Xper FD20/10(飞利浦医疗系统公司,荷兰埃因霍温)。
直肠动脉的栓塞术是用0.018英寸的弹簧圈(Interlock IDC,Boston Science Marlborough,Massachusetts,Boston Science Marlborough,Massachusetts),用5-F鞘刺穿右股总动脉,然后用Simmons-2 5-F导管置入肠系膜下动脉(Imager TM-II,Boston Science)。和超选择性插管直肠上动脉及其分支,使用150厘米角度的微导管(Renegade STC,波士顿科学公司)和0.016英寸的可成形顶端180厘米微丝(Fathom;波士顿科学公司)

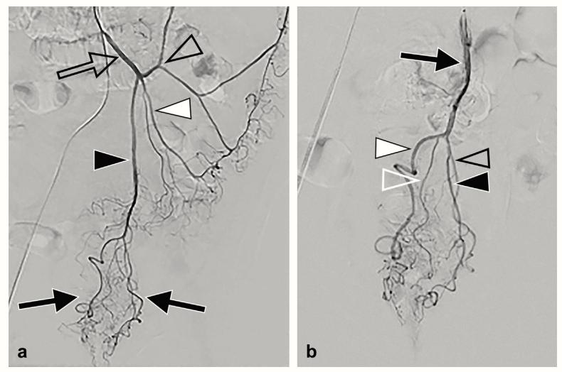
图2.数字减影肠系膜下动脉造影术。
- 肠系膜下动脉选择性血管造影(开放箭头)显示直肠上动脉(黑色箭头)及其左右分支(黑色箭头),乙状结肠动脉(白色箭头),左结肠动脉(开放箭头)。
- 直肠上动脉的亚选择性血管造影(黑色箭头)显示分支进入右前(白色箭头)、右后(开放的白色箭头)、左前(黑色箭头)和左后(开放的黑色箭头)分支。

图3直肠上动脉血管造影术。
- 对直肠上动脉左后支(开放的黑色箭头)进行超选择性血管造影。
- 超选择性直肠上动脉造影显示直肠前支(白色箭头)和后支(开放的白色箭头)。(C)完全性直肠上动脉血管造影显示所有分支均有弹簧圈栓塞。
栓塞平面为直肠上动脉远端中1/3,栓塞后血管造影显示直肠上动脉无进一步混浊。
如果直肠动脉持续浑浊,则增加弹簧圈。
术后按医院方案在穿刺点按压30min,患者卧位6h,监测生命体征。他们在这段时间后被释放。
手术
手术操作按Ferguson闭合内痔切除术技术进行。患者处于切开取石位,在腰麻和静脉适度镇静下。在肛门中部做一个沙漏状的切口,然后进行吻合术和血管蒂结扎术。
在保留内括约肌和外括约肌的情况下,切除了整个内痔复合体。
止血成功,粘膜缺损一期缝合。
在手术结束时,患者在麻醉后恢复时保持静止状态,并监测其生命体征。
6小时后,他们带着镇痛剂出院。
结果
术后疼痛根据疼痛评估和药物使用问卷进行评估,患者在随机分配后被要求填写问卷。
出院后,患者收到问卷,并再次被告知如何填写问卷并描述第一次排便时的疼痛程度(无论手术后多少天)。
具体而言,患者在治疗后的前7天,每天3次(上午、下午、晚上)根据VAS评分从0到10分进行疼痛评估。如果他们感到任何疼痛,并且需要止痛药,他们被指示记下所使用的药物和剂量。在第7天回访时,患者将填写好的问卷交回。
临床成功的定义是患者既往出现的痔疮症状的改善,还评估了术前症状的持续性或症状的恢复(出血、脱垂、瘙痒、粘液和肛门不适)以及是否需要重新治疗。
随访
由直肠科医生和介入放射科医生组成的团队在门诊进行门诊随访,在治疗后的时间段:手术组患者在术后第7天和第30天,栓塞组患者在术后第2天、第7天和第30天。
随访30天后,分别于3个月、6个月和12个月对患者进行电话随访。用4分量表(非常满意、满意、略满意或不满意)和PO期间相同的术前症状缓解或持续,包括是否有新的症状出现,评估治疗满意度。
安全性
根据新标准,根据AEs的介入放射学分类将与直肠动脉栓塞相关的不良事件(ae)分为轻度、中度、严重、危及生命和死亡。
闭合手术相关的AEs按Clavien-Dindo分类为I-V级。

表1.基线情况

表2.术后疼痛评估
患者
从2018年7月至2020年3月,共有33名患者纳入研究。两组患者的基线特征没有差异(表1)。
在纳入的33名患者中,29名患者接受了治疗内痔疾病的干预:15名患者接受了直肠上动脉栓塞术,14名患者接受了使用手术治疗。
栓塞组1例撤销参与同意,手术组3例错过干预前随访,手术组1例错过术后第7天随访。
统计分析
采用汇总统计方法(均值、SD、中位数、四分位数)描述各组患者治疗后前7天的疼痛评分、镇痛药使用情况、镇痛药用量,采用正态分布的广义估计方程和假设AR(1)矩间相关矩阵的恒等关联函数进行组间比较。
结果,如临床成功、手术前痔疮症状的维持或症状的复发(痔疮出血、脱垂、瘙痒、粘液和肛门不适),以及是否需要再治疗,根据绝对频率和相对频率进行分组。采用χ2检验进行比较。
结果
平均介入治疗时间80分钟(中位数75分钟,范围40~120分钟),平均59分钟(中位数75分钟,范围46~78分钟)。术中电离辐射时间平均31分钟(中位数28分钟,范围14~60分钟)。平均每次碘化造影剂用量为110毫升。
每例患者的直肠上动脉分支数为2~5支,平均3.2支±0.96支,平均3支。每个患者使用的微弹簧圈数量从3到9个(平均5.06±1.94个,中位数5个),弹簧圈大小为2~5 mm。
所有患者均可行直肠上动脉栓塞术(100%)。在接受栓塞术的患者中,没有观察到严重的、危及生命的或死亡的不良反应。术后观察到2例早期AEs,1例轻度,1例中度。栓塞组1例良性前列腺增生症患者中断临床
对于这种情况的药物治疗在手术前60天出现尿潴留。术后即刻需要留置导尿。在重新开始良性前列腺增生症的常规药物治疗几天后,导尿管被拔出。
这一事件被归类为中度,并被归因于没有适当治疗的潜在疾病的演变。
栓塞组另1例在术后2天出现穿刺点瘀斑。
腹股沟区域的超声检查没有股动脉假性动脉瘤的证据,也不需要进一步的干预。这一事件被归类为轻微事件。
手术组无3~5级并发症发生。1例术后晚期出现肛门水肿和急性裂隙,经非手术治疗后好转,分级为2级。6例术后伤口裂开,分泌物轻微,随手术伤口愈合而加重,分级为1级。1例术后晚期出现狭窄、皮肤粘连、裂隙等症状。裂隙改善后,门诊扩张狭窄,患者经后续评估仍无症状,分级为2级。
疼痛评估、药物使用和手术后痔疮症状
术后第一次排便时的平均疼痛,手术组为6.08±4.41,栓塞组为0 (P = 0.001)。对第1、3、7天疼痛分布的评估显示,栓塞组疼痛明显低于手术组。

图4.第一周的平均疼痛
使用的药物是普通止痛药(双吡酮500 mg或扑热息痛500 mg)、抗炎(双氯芬酸钠50 mg)和阿片类药物(曲马多50 mg)。
手术组平均止痛、抗炎或阿片类药物使用量为28.9个药物剂量±15.8个,栓塞组为2.4个药物剂量±5.2个(P<.001)。
当评估常用止痛药(双吡酮或扑热息痛)的使用时,手术组和栓塞组的平均值分别为16.3剂±6.2和2.4剂±5.2(P<.001)。


图5.两组用药情况比较。非甾体抗炎药
在术后30天、3、6和12个月评估治疗满意度。栓塞组30天、3个月、6个月、12个月的满意率分别为86.7%(P=.218)、86.7%(P=.828)、71.5%(P=.253)、61.6%(P=.023)。术后30天、3个月、6个月的治疗满意度与手术组比较,差异无统计学意义(P>0.05),但术后12个月随访,手术组的满意度明显高于手术组(P=0.023)。
在6个月和12个月时对两组患者的临床症状(内出血、瘙痒、脱垂和肛门不适)进行评估,在6个月(P=.695)和12个月(P=.691)的随访期内无统计学差异(P=.695

14例患者中最常见的手术前症状为出血,其中12例完全好转(83.3%)。2例患者术后出血复发,与栓塞前相似。
粘液、皮肤标记和瘙痒等症状在栓塞和手术治疗后几乎没有改善。
讨论
大约10%的痔疮患者需要手术治疗。尽管手术有效,但它是一种侵入性手术,伴有术后剧烈疼痛和恢复日常活动的时间延长。因此,多年来,人们一直在寻求替代技术来治疗那些没有改善的病例,并优化非手术治疗和需要介入治疗。
手术治疗的替代技术包括环形吻合器固定术(Longo技术)和在多普勒超声引导下选择性结扎内脏动脉。
两种术式的术后疼痛均小于传统外科术式。
然而,这些技术也不是没有不良反应,例如直肠阴道瘘、出血、肛门黏膜下血肿、裂隙、脓肿、肛门狭窄和直肠穿孔,根据不同的系列。
该研究显示栓塞治疗的技术成功率为100%,与文献中其他系列研究的结果相似。在文献中,栓塞治疗12个月的临床成功率为72%,本研究为61.6%。
然而,与其他研究对严重慢性痔疮出血患者进行栓塞不同的是,本研究纳入了伴有其他症状的轻度和中度出血患者,以及由痔疮疾病引起的其他症状且没有痔疮出血的患者。
手术组3例(23%)出现瘙痒,2例(15%)出现脱垂,2例(15%)出现黏液,栓塞组5例(33%)出现瘙痒,2例(13%)出现脱垂,1例(7%)出现黏液。
手术组脱垂、瘙痒和粘液的所有症状都消失了(尽管1例患者出现新的瘙痒和1例患者出现新的脱垂),而栓塞组7例有这些症状的患者中只有3例在12个月时无症状。
在这项研究中,栓塞组中的2名患者交叉接受了手术。1例患者出现外痔危象,接受手术矫正。此外,另一名患者在栓塞后10个月内出现脱垂,并接受了手术矫正。手术组无患者转至栓塞组。
疼痛是手术后患者最害怕的症状(21例)。Senagore等人(17)报告说,在接受Ferguson内痔切除术的患者中,第一次排便的VAS评分为6.6分,与本研究中描述的类似。另一系列描述了通过直肠上动脉栓塞术治疗痔病,报告的第一次排便时没有疼痛,与本研究中观察到的相似。这项研究表明,与手术切除相比,直肠动脉栓塞术提供了相似的临床结果,同时减轻了疼痛。
在随访6个月时,手术组和栓塞组的治疗满意度无统计学差异(P=.253);然而,在1年的随访中,手术组的治疗满意度更高(P=.023)。在术后6个月(P=.695)和12个月(P=.691),两组患者的痔病相关症状的恢复情况也相似。这可能与导致腹压升高的几个因素有关,例如便秘,以及低纤维饮食(22,23)。然而,在1年的随访中,栓塞组对治疗的满意度较低,尤其是有瘙痒、粘液和皮肤标记等症状的患者,这些症状在栓塞治疗后没有明显改善。
在本系列中,手术前最常见的症状是出血,其中12例(83.3%)患者的症状消失,与其他相似。相反,粘液、皮肤标记和瘙痒症状在栓塞治疗后几乎没有改善。
这些症状在其他研究中没有得到评估。
最近,新的栓塞技术已经被使用,如线圈和颗粒栓塞和仅颗粒栓塞,临床结果的改善和安全性与单独使用线圈的研究相似。
然而,Eberspacher等人报道了一例患者用颗粒栓塞直肠上动脉,导致直肠乙状结肠缺血和严重乙状结肠狭窄,需要扩张治疗。
在本研究中,未观察到严重的危及生命的不良事件,如股动脉血栓形成、直肠或肛门粘膜坏死和死亡。
介入和血管内手术中最常见的并发症是穿刺部位血肿,大约7%的病例发生,通常不需要特异性治疗。
1例(6.6%)患者在栓塞后立即出现尿潴留,需要留置导尿管。其他系列报告短暂性尿急,未报告尿潴留或其他不良事件。
该研究的其他局限性之一是,2019年冠状病毒病大流行导致该机构的良性直肠疾病门诊诊所中断,选择性手术的实施也中断。此外,由于所建议的治疗方法的特点,不可能确保盲法和隐瞒患者分配。缺乏长期数据是另一个限制。最后,对本研究进行功率分析,以确定疼痛主要终点的样本量,而对其他终点没有功率分析。
尽管在12个月的PO期间痔疮症状评估显示各组之间的结果相似,但直肠上动脉栓塞显示PO疼痛水平低于使用Ferguson技术进行手术治疗的患者,因此使用较少的镇痛药。在栓塞组,大多数患者的出血症状完全改善。然而,经过1年的随访,手术组对治疗的满意度较好。