我觉得我们要特别关注的一是多发磨玻璃结节,二是实性小结节,因为它们一个是处理棘手,考验智慧;一个是诊断困难,但又比较要紧。今天分享一位病友问诊的资料,供大家参考:
患者男性,43岁,于2017年检查发现肺结节,一直在随访复查,从2019年5月份起有影像资料,但前几年的不是薄层,可比性略差。先来看病史:

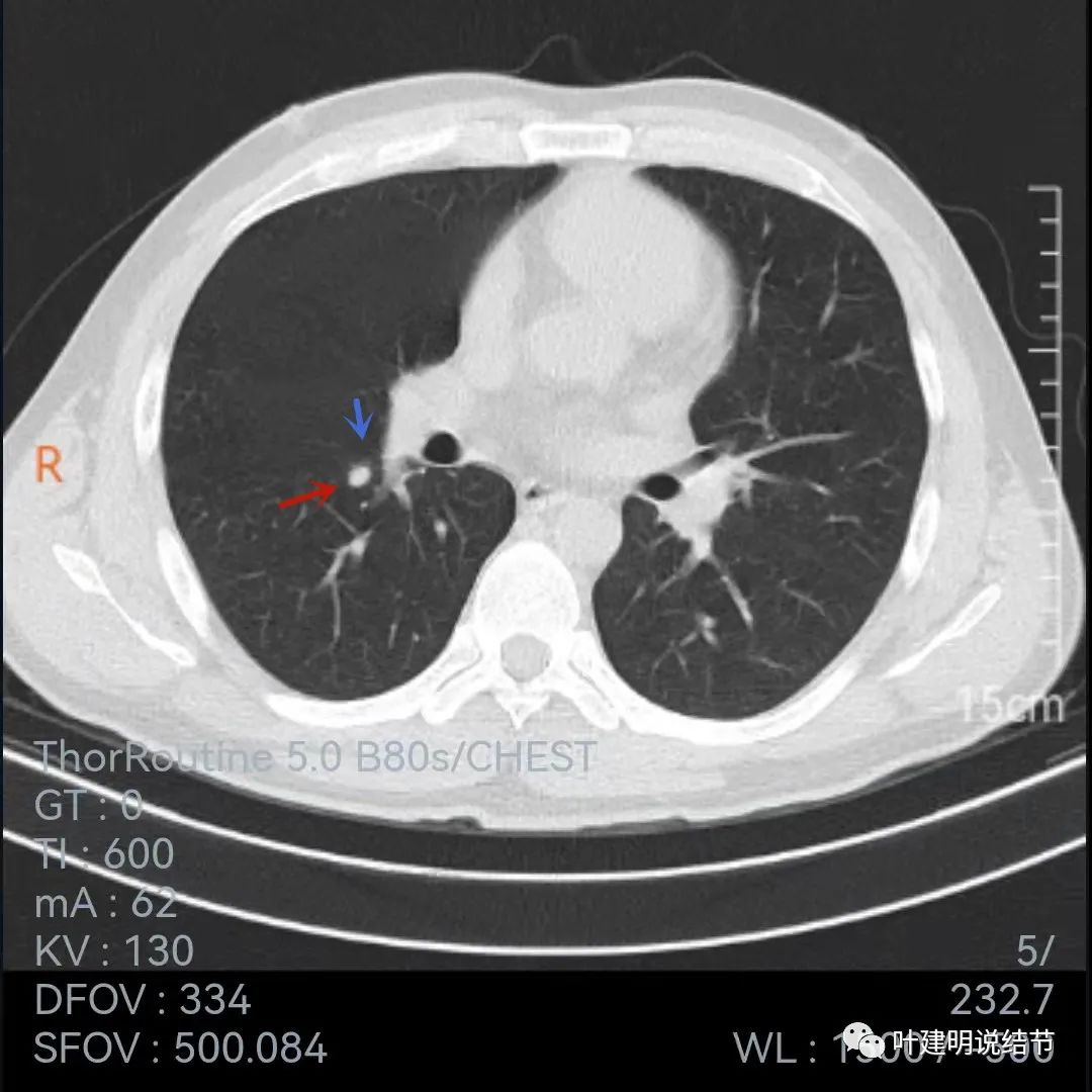
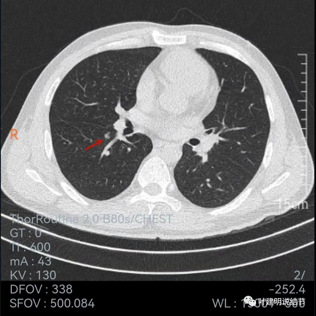
我们再来看2019年的片子:


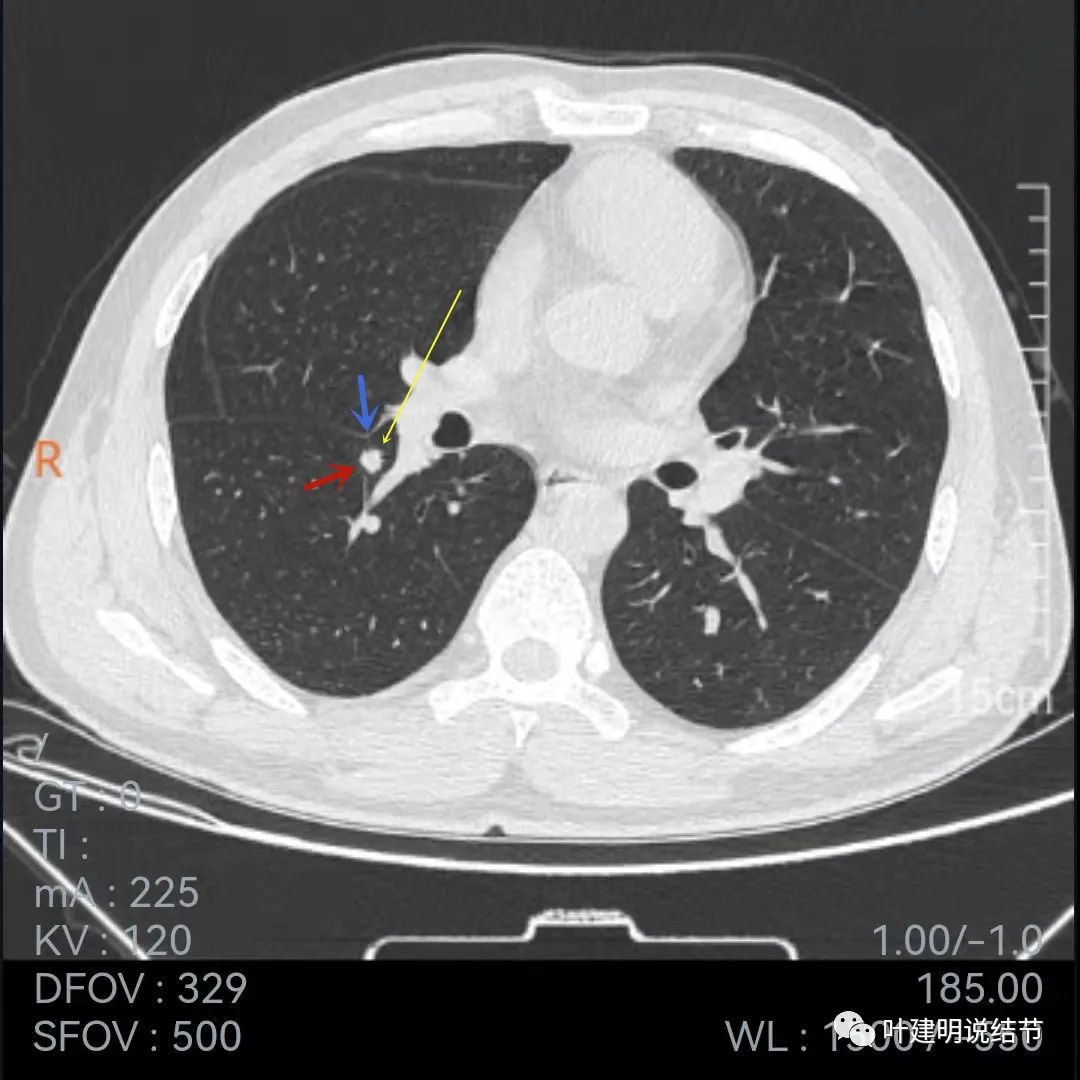
上面是2019年5月份的片子,不是薄层,只有这两个层面见到病灶,是实性小结节,叶间裂似略有牵拉,病灶边缘比较光滑,密度相对较均匀,没有毛刺或血管征,单看应该良性结节可能性大,至少先随访。
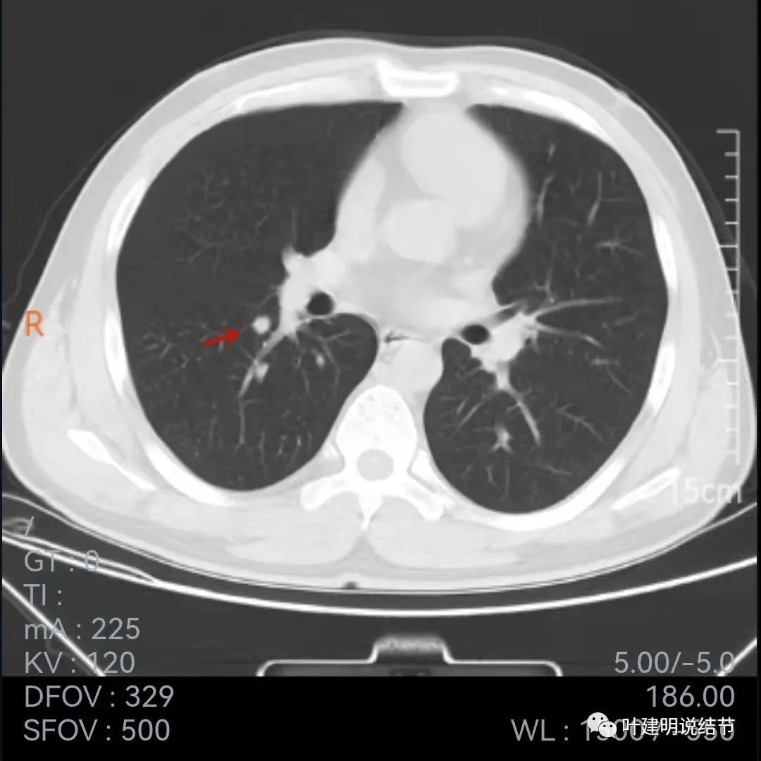
再看下面2020年7月的平扫片子:



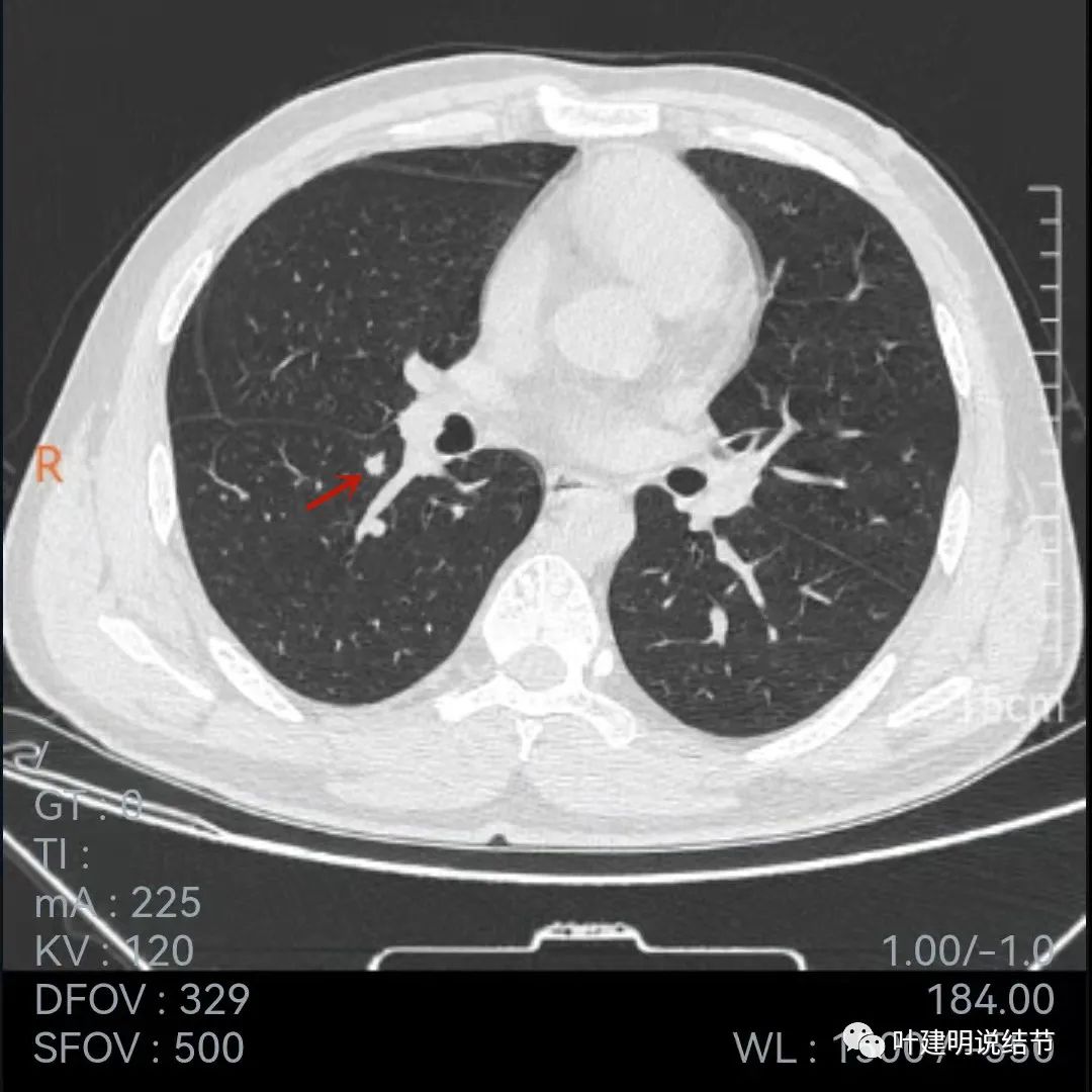
非薄层的看,病灶还是小结节,实性,边缘似乎比前一年略有毛糙,胸膜轻微牵拉,黄色箭头所指似乎病灶中央的密度比周围部分略低,会不会是肉芽肿性炎伴有少许坏死?
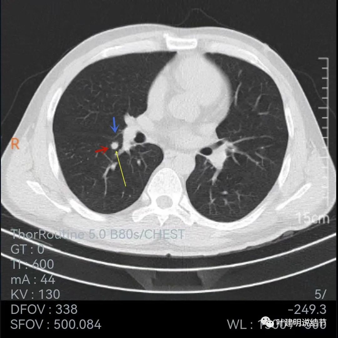
再来看下面薄一点的,也是2020年7月的图像:

叶间胸膜牵拉

牵拉明显

中间密度略低(黄色箭头),前部边缘似有少许毛刺或毛糙的感觉(紫色箭头)

叶间胸膜牵拉凹陷

上图层面密度略不均
与前一年相比,病灶略有不同,感觉边缘粗糙起来,胸膜凹陷较前明显,但因为薄层与非薄层的区别,可比性略差。
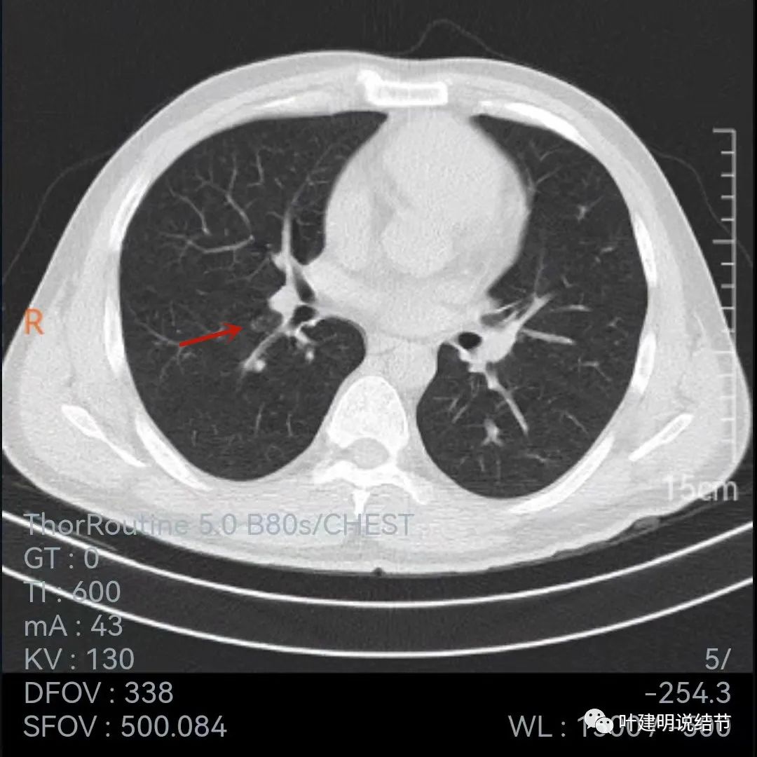
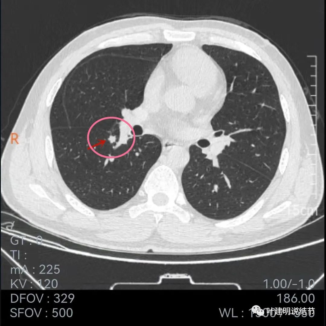
再看今年9月份的平扫片子:



也是三个层面可见,较去年也许略有增大,但测量起来可能差别不大,因为也是6-7毫米许。
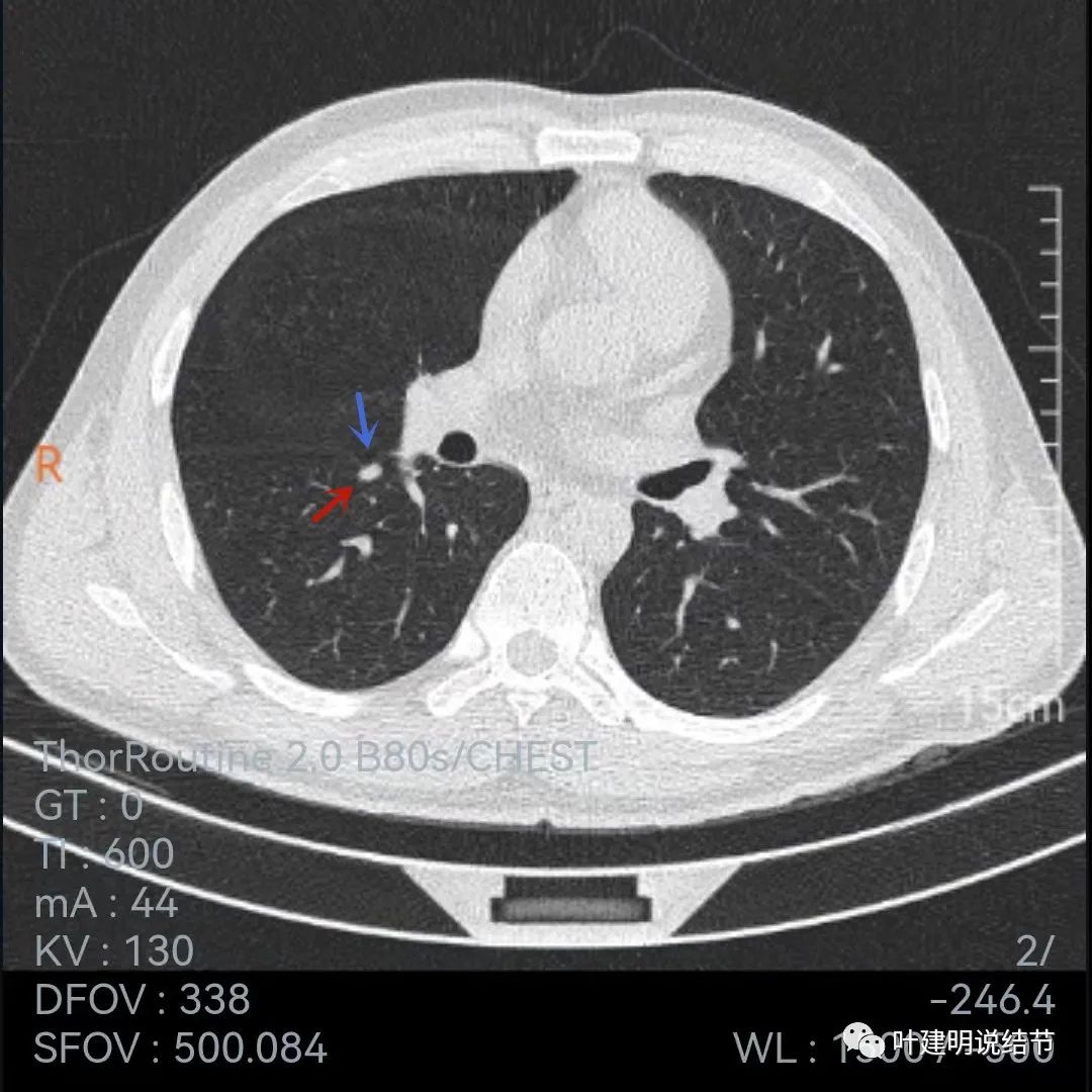
再来看薄层的,今年的薄层是1毫米一层的,去年是2毫米:

病灶胸膜凹陷更明显了,边缘不太平整(紫色箭头)

胸膜牵拉,伴病灶中间密度稍低



病灶膨胀性不够,感觉刺突相对较长,中间密度略低,边缘向内凹

上图黄色箭头示病灶中间密度要略低于周边部位,这与肉芽肿较为符合


整体还病灶似有进展,形态略有变化,但说典型的恶性样子好像又不太像。
再来看当地医院的靶扫描:

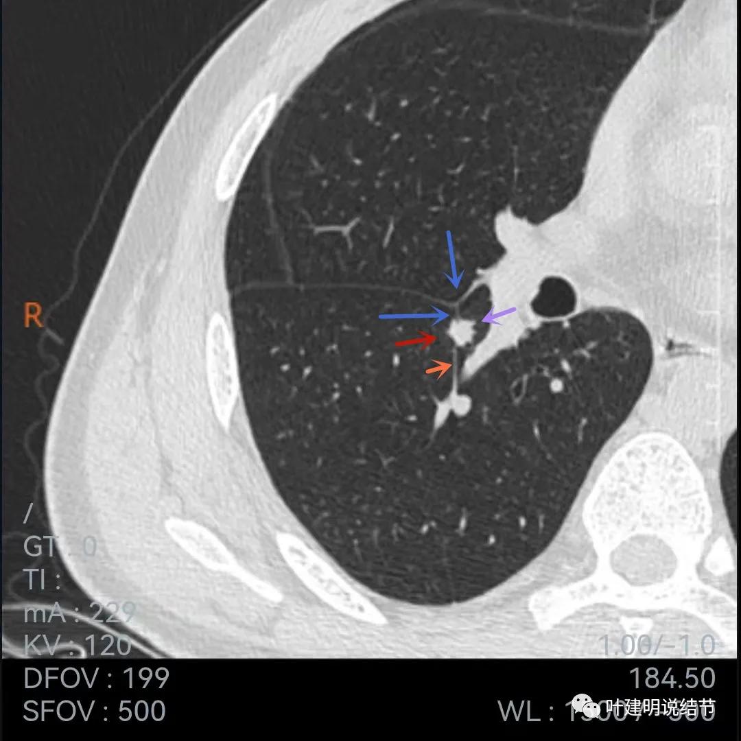
病灶叶间胸膜凹陷,有细毛刺(紫色箭头),但毛刺与病灶大小相比感觉长了点

中间密度还是略低(黄色箭头),胸膜牵拉仍明显(蓝色箭头)

细毛刺(紫色)、胸膜凹陷(蓝色)以及中间偏低密度(黄色)

上图棘突样征象较明显(紫色箭头)

此图不太舒服,胸膜牵拉、表现不平、有微血管征(桔色),但边缘似有少许晕征(绿色),若真是晕征,也是符合肉芽肿性的

上图也示胸膜牵拉、棘突样征,桔色所指似血管进入,但又不太像,增粗的淋巴结管?血管边的是淋巴结吗?不清楚,先不管它

病灶表面不平

病灶密度略不均
综合以上几年的影像资料,给人感觉病灶有一些恶性征象,但也有不太符合的地方,最主要的是:实性结节从2017年到2021年四年时间,大小没有显著变化,这不太符合实性结节为表现的肺癌的生物学行为,应该再长的快点的;但确实随访中有了轻微的比如边缘、毛刺、胸膜牵拉等方面的变化。但其实肉芽肿性炎与肿瘤在影像上,甚至肉眼看都是很难区分的,按病史来看,我觉得仍考虑肉芽肿可能性大于肺癌。昨天问诊时我先看了今年的片子,回复如下:

但因为觉得这个病例比较不确定,今天又回头看了下,发现可以打开往年的片子,所以又再全部看了一遍,并截图分析,我更新的回复意见:

实性结节,真的比较难定,如果说这个病例定个百分比,我觉得应该60-70%的可能是肉芽肿或慢性炎,30-40%考虑恶性,或者其实还没有这么高比例。因为如果恶性,收缩力这么明显,应该是实体型或微乳头等恶性程度高的,但恶性程度高的亚型不至于发展这么慢,算了,定个80%良性,20%恶性吧!
(此处已添加医疗卡片,请到*今条头日**客户端查看)