
子宫多发肌瘤示意图
近半年来,王女士下腹部明显隆起,尿频、尿急症状明显,体检才发现原来的子宫肌瘤已经明显增大,严重影响日常生活。可是王女士又担心子宫肌瘤剔除后容易复发、手术创伤大,更是无法接受子宫切除,甚是苦恼!

子宫切除虽是最有效的治疗症状性子宫肌瘤的方法,但对于想保留子宫、提高生育能力的女性而言,子宫动脉栓塞术(UAE)才是最好的选择!

子宫肌瘤除了妇科手术,还可以介入栓塞治疗
子宫肌瘤
子宫肌瘤是是女性生殖系统最常见的良性肿瘤之一,可表现为单发或多发,大小不一。一般见于 30~50 岁的女性,以育龄期最为多见,发生率在 20%~25% 左右。

随着子宫肌瘤动脉栓塞术在妇科领域应用逐步成熟,大量文献数据已经证实其安全性及长期疗效,美国妇产科协会亦推荐子宫肌瘤动脉栓塞术作为症状性子宫肌瘤的一线治疗方案之一。
- 文献数据显示10年间采用不同治疗方式例数情况,UAE(浅蓝色)例数明显居多。

10年间采用不同治疗方式例数情况
哪些子宫肌瘤适合做介入微创治疗?
1、单发或多发肌瘤、体积较大、肌瘤切除术后复发。
2、还适用于希望避免外科创伤者、外科手术有风险者、任何年龄妇女希望保留子宫者。

子宫动脉栓塞术示意图
子宫动脉栓塞术(UAE)是如何治疗子宫肌瘤的?
可经左侧桡动脉或右侧股动脉穿刺置入导管,经超选择性插管至子宫动脉,应用非常微小的PVA颗粒或者微球(500um)选择性栓塞子宫肌瘤供血动脉,使肌瘤因缺血而坏死吸收、脱落。不开刀、创伤小、恢复快!最为主要的优点是能够保留子宫!

UAE术后反应及并发症
疼痛:为最常见的不良反应,几乎所有患者在治疗后会出现不同程度的下腹胀、坠痛,持续时间不等,短则2-3天,长则1-2周,一般给予有效镇痛处理后均可缓解。目前我中心常规予以静脉镇痛泵止痛处理,帮助患者渡过术后急性疼痛期。
发热:25%患者,尤其肌瘤较大的患者,栓塞后一周内可出现低热,体温在38°C左右。一般无需特殊处理,酌情预防抗感染处理,约持续1周后可自行消退。
不规则阴道出血:少部分病人栓塞后可出现阴道少量不规则流血,同时还伴有内膜脱落,可能是栓塞后子宫血供不足以维持内膜生长有关。
提前绝经:出现的几率非常低,主要见于围绝经期女性患者(>45岁,绝经发生率为20%-40%,小于45岁患者绝经发生率为1%-3%)。

经典病例
例1
中年妇女,因子宫肌瘤导致长期的月经量明显增多、经期延长,最终导致严重贫血。
- MRI检查显示子宫多发肌瘤。

MRI检查示肌壁间型子宫肌瘤
- DSA下行双侧子宫动脉栓塞治疗。

左侧子宫动脉造影

右侧子宫动脉造影
- 术后患者月经量过多明显缓解,贫血症状逐步自行改善。

术前子宫MRI
- 对比术后6个月复查MRI显示肌瘤已明显缩小,月经量已回复正常,生活质量明显改善。

术后6个月复查子宫MRI
例2
中年女性,发现子宫肌瘤进行性增大5年余。复查彩超提示多发肌瘤,较前明显增大(最大者直径近10cm)。近半年尿频、尿急症状进行性加重,考虑增大的子宫肌瘤压迫膀胱所致。
- MRI检查显示显示多发子巨大宫肌瘤,压迫膀胱。

MRI显示多发子巨大宫肌瘤,压迫膀胱
- 经桡动脉入路置入导管造影显示双侧子宫动脉明显增粗,染色丰富,子宫明显增大。

腹主动脉造影
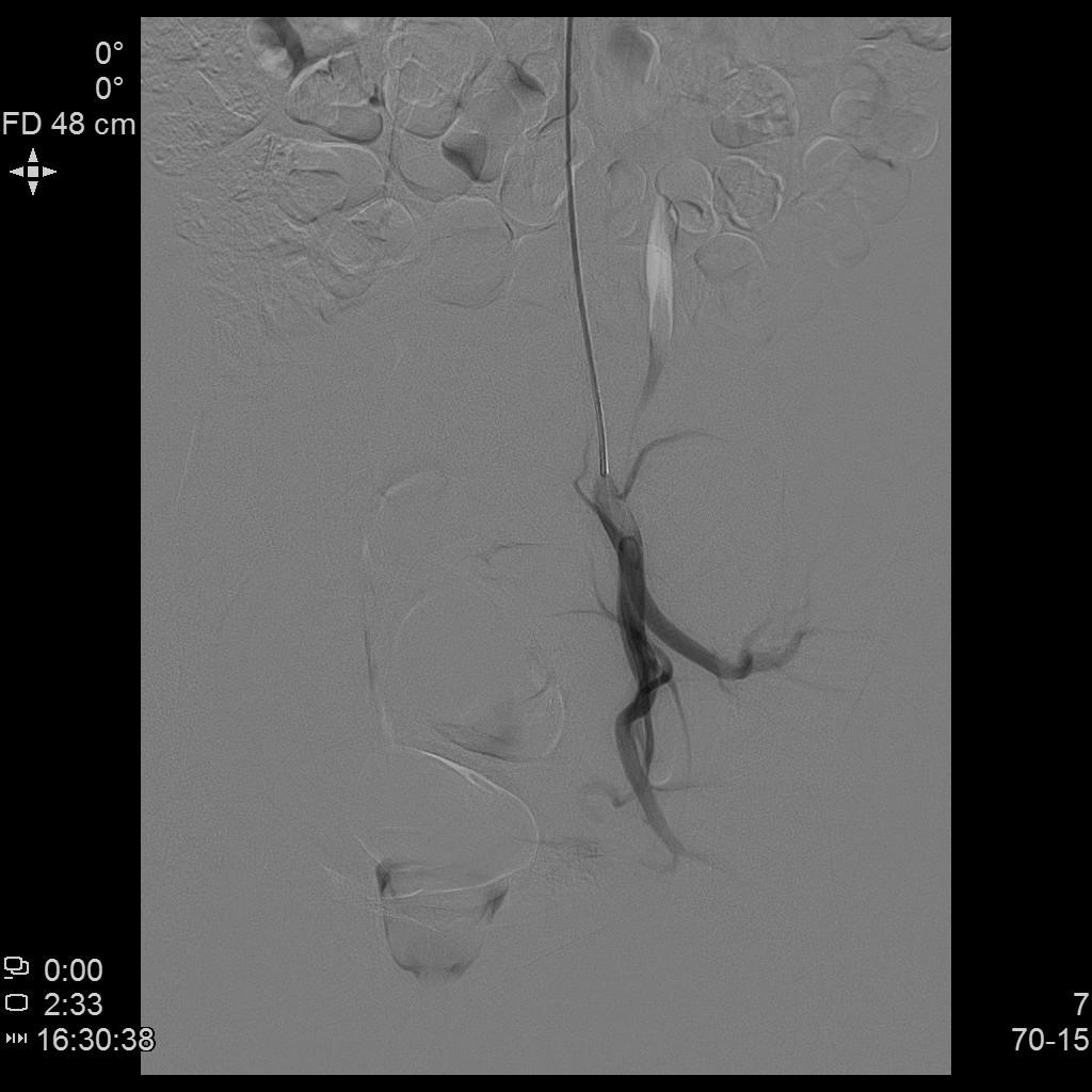
- 进一步超选插管右侧髂内动脉造影确认子动脉开口位置。

右侧髂内动脉造影
- 微导管进一步超选插管右侧子宫动脉主干造影确认位置。

右侧子宫动脉造影
- 进一步超选插管左侧髂内动脉造影确认子动脉开口位置。

左侧髂内动脉造影
- 微导管进一步超选插管左侧子宫动脉主干造影确认位置。

左侧子宫动脉造影
- 术后桡动脉止血器压迫止血8小时,患者术后无需长时间卧床、下肢制动,舒适度大大提升,利于术后快速康复。

桡动脉压迫止血器
原装生活,做完整女人!
