陈女士痛经6年,且一年比一年痛,起初服用芬必得止痛还管用,能止疼。这两年止疼药已无法止痛,更糟糕的是,每次痛经都伴有恶心、呕吐,止痛药吃了就吐。害得陈女士都害怕“大姨妈”驾到了,每当大姨妈驾到,疼到生无可恋,吐得一塌糊涂。

刚开始陈女士和大多数女性朋友一样认为:痛经忍一忍就过去了,对痛经的态度也是一忍再忍,但痛经的苦恼,却不会因为您的隐忍而有所削减!最后发展成痛经越来越重,还出现了恶心、呕吐、冷汗淋漓。陈女士对痛经已忍无可忍,在当地医院检查是子宫腺肌症(病)(如下图)导致陈女士的痛经。

在从上面这个模式图,我们可以看到,左侧的是正常的子宫,它的肌层是很均匀的;右侧是腺肌症(病)的子宫,它里面有一些红色的斑点,这就是异位的子宫内膜植入到子宫肌层以后,根据月经周期激素的改变形成这种出血,还有一些内膜组织在里面增生蔓延。
在网络上,陈女士了解到广东省第二人民医院介入科可以用介入微创的方法治疗痛经(子宫腺肌症(病)),则来我院就诊,门诊磁共振检查如下:
下图为陈女士的磁共振检查:子宫腺肌症(弥漫型)

陈女士住院完善相关检查,适合影像引导经皮消融治疗子宫腺肌症(病)(针眼妙方……肚脐下两到三个2毫米(米粒大小)的微创针眼),则给予陈女士行影像引导经皮消融治疗子宫腺肌症(病)。
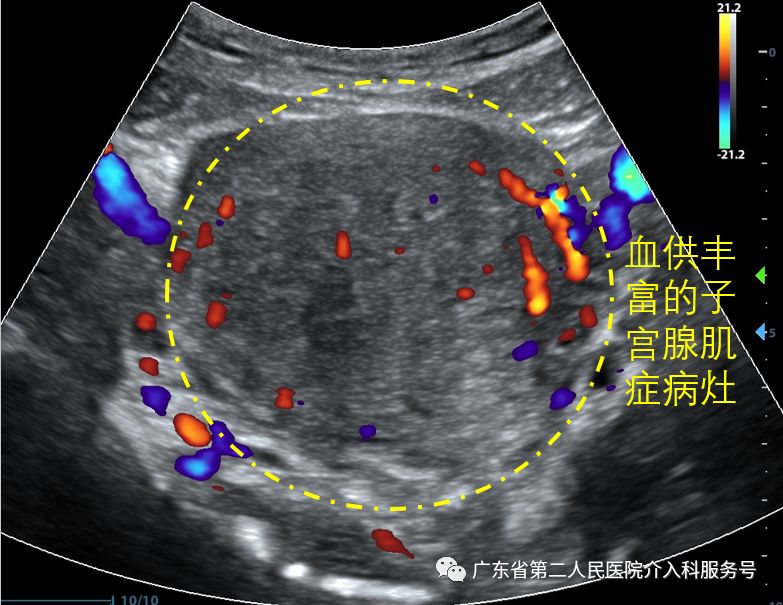
下图为消融前子宫腺肌症病灶的血供丰富。

下图为消融时的消融针与正在消融的子宫腺肌症病灶。

下图为消融前子宫腺肌症病灶的血供丰富与消融后子宫腺肌症病灶凝固性坏死、无血流。

下图为消融后腹部3个细小的微创针眼

微创消融治疗后第1天,陈女士即可正常下床活动,在腹部的3个微创针眼已愈合并无疤痕,2天后出院。两周后,陈女士的“大姨妈”驾到,完全无痛经。摆脱了折磨她6年的痛经消失得无影无踪,再也不用做“忍者”了 。
近年病灶原位消融治疗得到较广泛的研究应用,为子宫腺肌病的保守治疗提供了又一有效的治疗手段。经皮微波消融治疗子宫腺肌病是近年来应用于临床的微创局部治疗技术,经临床验证其操作方便、创伤微小、治疗省时、安全、临床疗效好,副作用小,己成为临床治疗症状性子宫腺肌病可供选择的有效方法。
影像引导经皮消融治疗子宫腺肌症(病)的原理是什么?
在超声影像实时引导、监控下将针型微波天线经皮穿刺植入至病灶内,利用微波辐射形成的热能,瞬间造成热场内病灶组织的凝固性坏死,病灶组织吸收缩小,同时病灶组织在月经期内不再发生出血,痛经症状得到明显改善或完全消除,贫血状况得到有效纠正的非手术治疗技术。消融治疗后痛经消失及缓解率95.5%,血清CA125测值明显降低,贫血患者治疗后3个月血红蛋白明显升高,对卵巢功能无明显影响,无严重并发症发生,是创伤非常微小而有效的保守治疗方法。
影像引导经皮消融治疗子宫腺肌症(病)的优势?
影像引导经皮消融治疗子宫腺肌症(病)表现出极大的潜力和独特的优势:
1.最大的优点在于能完好地保留子宫及其功能,如正常月经,妊娠及分娩;子宫肌瘤腺肌症(病)导致继发性不孕、不育的,腺肌症(病)消融治疗后腺肌症病灶缩小反而增加怀孕的几率;对怀孕和卵巢功能的影响是最小的,不是说没有影响,所有的治疗手段里它的影响是最小的。它避免了手术的创伤打击及术后的一系列并发症。
2.因创伤小,恢复快,住院时间短使病人易于接受。
3.较传统手术治疗简便且经济,节省费用。一般不用输血。
4.最后这种疗法的优点是给自己留下相当大的余地,即使消融失败,仍可应用子宫动脉栓塞、手术及药物治疗等手段。
造福女性,造福半边天,解决这些问题,其实有时候不仅让个人减轻了痛苦,获得了幸福,同时对家庭、对社会都是非常好的贡献。对这些良性病人的治疗远远超过我们现在对恶性病人治疗带来的这种社会的效益。
很多病人问我,做完子宫腺肌症消融以后多久可以怀孕,我告诉她们所有的妇科医生认为做完子宫手术都要两年以后怀孕,当然,我认为子宫动脉栓塞手术的创伤更小,可以放宽到1年左右。有的人想6个月左右能不能怀孕?我觉得风险比较大,最安全的两年以后,想着急一年以后可以尝试。
影像引导经皮消融治疗子宫腺肌症(病)后有哪些术后反应?如何处理?
子宫腺肌症(病)消融治疗因为创伤极小,在术中及术后一般没有特别严重的不良反应,可能出现的反应有以下几点:
1.疼痛:是最常见的不良反应,88.66%患者在治疗后会出现不同程度的下腹胀、坠痛,持续时间不等,短则5-6小时,长则3天,给予止痛对症处理即可缓解,对疼痛比较敏感的患者建议术前埋置镇痛泵,可以明显减轻痛感。
2.发热:25%患者,尤其腺肌症病灶较大的患者,消融后一周内可出现低热体温在38°C左右。一般无需特殊处理,持续一周后,自行消退。
3.不规则阴道排液:部分病人消融后可出现阴道少量不规则排液,为坏死的腺肌症排出。