作者:金礼权、杨婧 大理大学第一附属医院
云南医师讯 罕见!上腹疼痛、失血昏迷,竟是怀孕后,孕囊 “溜”至了肝脏破裂出血所致!大附院普外一科紧急施行手术,帮她取出在肝脏里已经破裂的孕囊并及时止血。
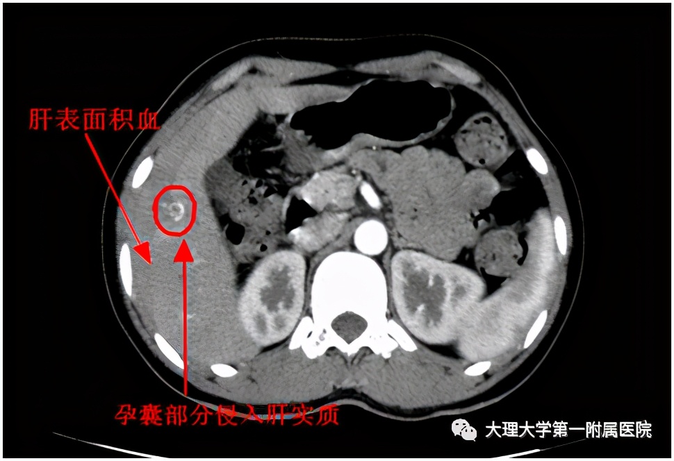
“肿瘤”破裂导致晕倒
兰坪的阿女士,右上腹疼痛了10天,随着时间的推移,疼痛感越来越严重。一天,阿女士突然晕倒在家人面前,家人立刻将其送往当地医院,经检查后得知,阿女士的右肝上长了一个“肿瘤”,且该“肿瘤”已破裂出血,所以导致其失血过多晕倒。

术前检查发现怀孕了?
12月3日,在家人的陪伴下,她来到了大理大学第一附属医院普外一科门诊,找到石洪波副主任医师就诊。石医生详细了解了阿女士的病情后,立刻将其收住至普外一科住院,并开通绿色通道让她做全面检查,准备手术。石医生在查看检查结果发现:阿女士的右肝上的肿瘤的确已经破裂出血,同时她的怀孕指标(β-HCG)高达2000IU/L!
孕囊去哪儿了?
看完有明显怀孕指征的报告单后,石医生再次询问了阿女士的月经周期,原来连阿女士自己都不知道自己是否怀孕。为了制定全面的治疗方案,石医生安排阿女士又进一步做了妇科B超检查,可检查结果却让人匪夷所思——没有在其子宫内发现孕囊。
右肝上的小肿瘤是什么?超高的怀孕指标系数明显表明阿女士已经怀孕了,但为什么没有在子宫内找到孕囊呢?
孕囊离“家”出走了!
为了消除疑虑,普外一科主任谭云波教授和石洪波副主任立刻组织全科讨论并仔细分析后,大家高度怀疑阿女士右肝上已经出现破裂出血的小肿瘤就是孕囊。此时,阿女士已经失血500ml左右了,如果不尽快为其止血,她随时会发生因失血过多再次造成休克。经过大家对阿女士进行全面评估,决定为其施行手术。

在与阿女士及其家人说明手术方案并征得其同意后,12月4日,普外一科手术团队为其顺利施行手术,并取出疑似孕囊的小肿瘤送检。经病理科检查证实,疑似孕囊的小肿瘤其实就是孕囊!术后,阿女士身体恢复良好,已于12月10日顺利出院。