剖宫产术后十天有血块和鲜血 (剖宫产术后又流血)

32岁的李某(化名)剖宫产术后半年,月经恢复,但是:

剖腹产后子宫出血是正常的吗,剖宫产术后又流血

月经按月就来,但是经期很长,通常都要半个多月才干净。

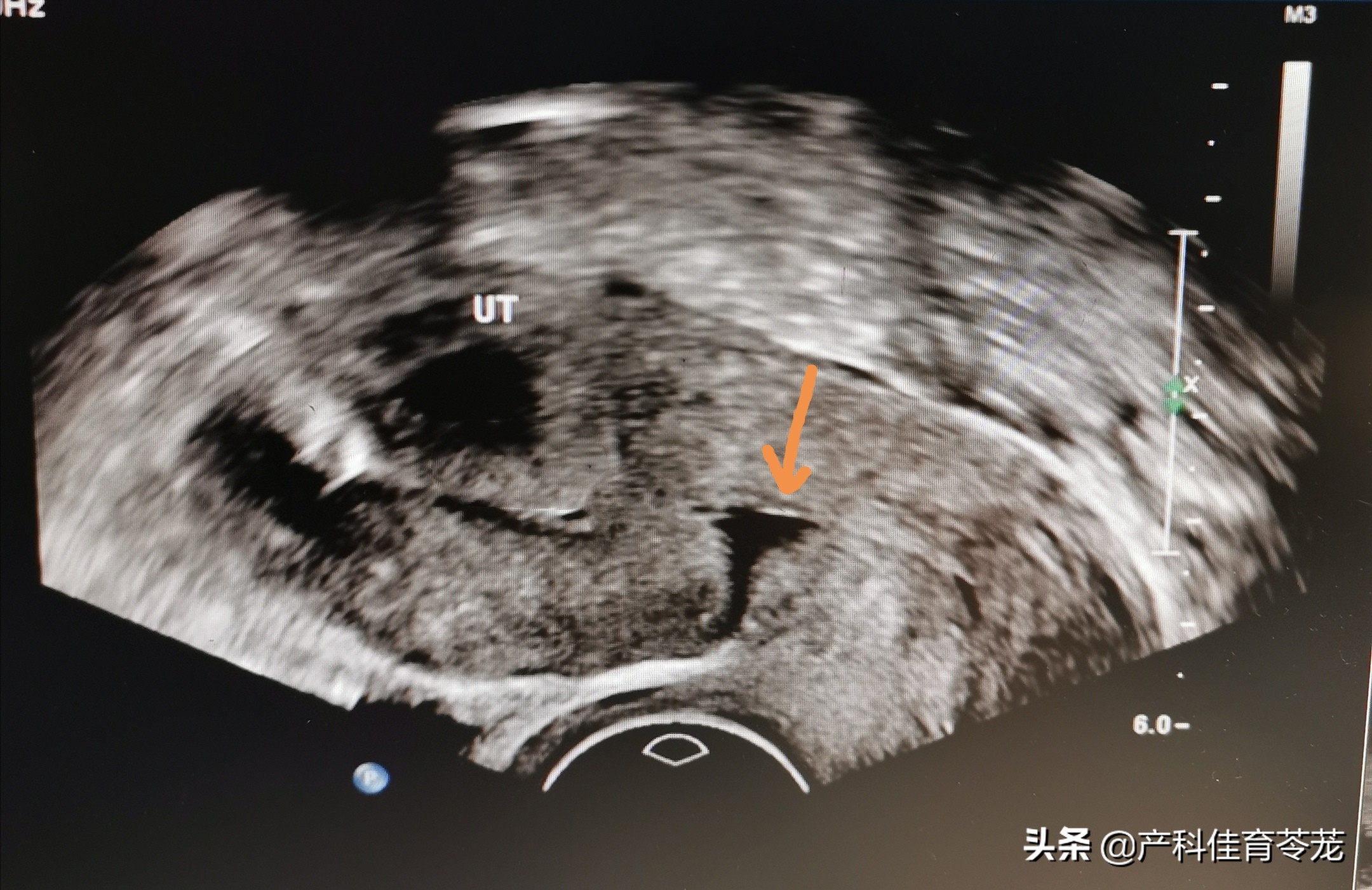
起初,李某以为是术后还没有完全恢复正常,没有在意,但是一年过去了依然如此,于是到医院做了检查,B超是这样的:

剖腹产后子宫出血是正常的吗,剖宫产术后又流血

医生告诉她上图中箭头所指的地方是”瘢痕憩室“,这就是导致月经老是不干净的原因。

什么是瘢痕憩室?

剖腹产后子宫出血是正常的吗,剖宫产术后又流血

这是剖宫产手术的并发症之一,就是手术以后子宫的切口长得不好,瘢痕处肌肉层变薄,形成一个像房间一样的与宫腔相通的腔隙,所以又称为剖宫产术后子宫切口缺损

发生率报导不一,19.4%~88.0%不等。

瘢痕憩室会怎样?

看看下面的图:

剖腹产后子宫出血是正常的吗,剖宫产术后又流血

来月经的时候,在憩室里面的血不能很顺畅地流出去,就导致了月经很长时间才能干净,或者表现为月经中期出血、同房后阴道出血。

当然,并不是所有的憩室都有症状,有些仅仅在常规体检做B超的时候发现,并没有任何不适,也有些除了异常阴道出血外,还会表现为经期腹痛、慢性盆腔痛、继发不孕等。

另外,有瘢痕憩室的女性再次妊娠发生瘢痕妊娠、大出血、凶险性前置胎盘、胎盘植入、子宫破裂的风险也是增加的。

瘢痕憩室怎么办?

没有症状的不需要治疗,有症状并且已经影响到正常的生活,才需要治疗。

治疗的原则是改善症状、消除憩室、恢复结构、降低再次妊娠并发症(瘢痕妊娠、凶险性前置胎盘、胎盘植入等)。

1、首选微创手术治疗

剖腹产后子宫出血是正常的吗,剖宫产术后又流血

手术后应严密随访,注意症状有没有改善,影像学(B超或核磁)检查憩室是否还存在;

手术后再次妊娠应严格监测管理

孕早期超声检查确认孕囊位置,排除瘢痕妊娠;

孕中、晚期密切监测,注意有无凶险性前置胎盘及子宫破裂等严重并发症的发生;

终止妊娠的时机和方式应由有经验的医生综合评估决定,一般来说剖宫产较为安全。

2、药物辅助治疗

适应症:主要表现为异常子宫出血,暂时无生育要求,拒绝手术治疗;手术治疗后恢复不理想。

方法:短效避孕药(3个周期)、左炔诺孕酮宫内缓释系统(曼月乐)、中药;

缺点:疗效不肯定,仅作为辅助治疗。

总结

剖宫产术后瘢痕憩室并不少见,预防的根本就是减少没有指征的剖宫产;

瘢痕憩室可能造成异常阴道出血、经期腹痛、慢性盆腔痛、继发不孕等;

瘢痕憩室再次妊娠发生瘢痕妊娠、大出血、凶险性前置胎盘、胎盘植入、子宫破裂的风险增加;

首选微创手术治疗,治疗原则是改善症状,减少再次妊娠并发症。

参考文献

中华医学会计划生育学分会.剖宫产术后子宫瘢痕憩室诊治专家共识.中华妇产科杂志,2019,54(3):145-148