术语
缩写
-
胃肠道间质瘤(GIST)
定义
-
来自Cajal间质细胞的胃肠道(GI)黏膜下肿瘤
影像
一般特征
-
最佳诊断线索
-
边界光整,黏膜下层肿块向消化道外生性生长
-
位置
-
胃是最常见的部位(2/3的病例)
-
小肠(特别是十二指肠)是第二常见部位
-
可能发生在胃肠道的任何地方
-
很少发生在食管
-
平滑肌瘤在食管中更常见
-
大小
-
可变;大肿块可能>5cm
-
形态
-
体积庞大、界限清晰、分叶状
-
通常是外生的,可能有囊性成分
透视表现
-
上消化道造影
-
圆形,外生性黏膜下胃肿块
-
溃疡在较大的肿块中很常见
-
肿瘤的中心坏死可能充满钡餐
CT发现
-
平扫CT
-
25%的病例发生钙化
-
增强CT
-
动脉期图像呈低或高血供,边界清楚的黏膜下肿块;溃疡和坏死是常见的
-
灵敏度=93%,特异性=100%
-
具有大的腔内成分的肿瘤可能类似原发性胃癌
MR发现
-
T1WI
-
等信号(类似肌肉)肿块
-
T2WI
-
低信号至等信号黏膜下肿块
-
高信号的坏死区域
-
T2*GRE
-
静脉注射钆时为高或低信号
-
增强T1WI
-
血供变异较多;可能是高血供或低血供
-
实性区域强化
-
坏死或出血性区域不增强
超声表现
-
灰阶超声
-
低回声肿块
-
彩色多普勒
-
彩色多普勒上的血管情况可变
核医学表现
-
PET
-
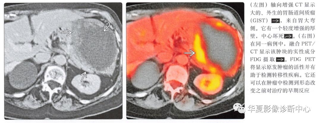
预测对伊马替尼(格列卫)的早期反应优于CT
-
高代谢(FDG-摄取) 病灶提示存活肿瘤
-
原发性肿瘤和转移瘤均为高代谢
-
敏感性(86%),特异性(98%)
成像推荐
-
最佳影像方案
-
增强CT、PET
-
推荐检查方案
-
在CT扫描前用16~32盎司的水充盈胃
-
使用双期增强CT技术来显示整个肝
-
以4~5ml/s注射150ml Ⅳ 对比剂
-
动脉期40秒,静脉期70秒时采集
-
多平面重建
-
有助于观察肿块的大小和起源
鉴别诊断
胃淋巴瘤
-
钡餐检查时结节状皱壁增厚
-
无肠梗阻的外生性肿块
-
伴有肠系膜和腹膜后肿大淋巴结
-
体积庞大,常为外周黏膜下肿块
-
可能会有溃疡
-
可能与GIST无法区分, 但与GIST不同, 淋巴瘤很少富血管
肉瘤侵犯胃
-
巨大的肿块
-
增强CT上的不均匀密度
-
脂肪肉瘤含有脂肪
-
继发性肠道侵袭可能会类似GIST
-
原发部位位于肠系膜有助于鉴别
-
与GIST不同, 肠梗阻很常见
外生性胃癌
-
低密度肿块, 血管少于GIST
-
CT或MR可能体积庞大且外生
-
邻近胃壁的局灶性增厚和胃出口阻塞可以帮助区分GIST
-
环周性生长时通常会造成梗阻
-
GIST很少是环周性的
其他胃内肿瘤
-
例如,平滑肌细胞瘤、淋巴管瘤、神经瘤
-
脂肪密度是诊断脂肪瘤的关键
-
其他肿瘤可能无法单独通过影像与GIST区分开来
病理
一般特征
-
病因
-
未知
-
遗传学
-
95%的 GISTs 表达生长因子受体酪氨酸激酶活性【c-KIT(CD117)】
-
胚胎学
-
间充质起源,与平滑肌瘤或平滑肌肉瘤无关
-
源自Cajal的干细胞或间质细胞
-
Cajal间质细胞调节蠕动活动(起搏器功能)
-
相关异常
-
卡尔尼三联征
-
恶性上皮性胃GIST
-
肺部软骨瘤
-
肾上腺副神经节瘤
-
Von Recklinghausen病
-
神经纤维瘤病1型
分期、分级和分类
-
4种肿瘤亚型
-
良性梭形细胞GIST
-
恶性梭形细胞GIST
-
良性上皮GIST
-
恶性上皮GIST
直视病理特征
-
大的黏膜下肿块
-
良性病变通常很小(<3cm)
-
中心溃疡常见
-
恶性特征包括侵犯,大小>5cm,并有转移迹象
显微镜下特征
-
与平滑肌瘤/肉瘤不同,不同源
-
不能单独使用光学显微镜诊断
-
良性或恶性间充质梭形细胞或没有肌细胞分化的上皮样肿瘤
-
恶性特征
-
高有丝分裂率(每50个高倍视野>10个有丝分裂)
-
高分化
-
高细胞密度
临床问题
临床表现
-
最常见的体征/症状
-
恶心、呕吐、体重减轻
-
大的肿块的占位效应
-
心当胃表面和GIST溃烂时, 消化道出血
-
临床特征
-
没有特定的实验室异常情况
人群分布特征
-
年龄
-
>45岁
-
性别
-
没有差别
-
流行病学
-
胃肠道最常见的间充质肿瘤
自然病史及预后
-
转移到肝、肺、腹腔
-
完全切除良性病变的预后良好
-
转移和c-KIT突变患者对化疗(伊马替尼【格列卫】 )的反应良好
-
5年生存率:50%~80%
-
预后通常取决于肿瘤大小
-
如果肿瘤>5cm,则相对较差
治疗
-
整块切除手术
-
酪氨酸激酶*制剂抑**化疗(伊马替尼)治疗转移性疾病
-
即使对局部疾病,伊马替尼也可能是有用的辅助药物
诊断要点
关注点
-
淋巴瘤可能具有相似的成像特征,但不是富血供
读片要点
-
来自黏膜下层并伴有中心溃疡的外生性富血供胃肠道肿块





特别声明【本微信所有转载文章系出于传递更多信息之目的,且明确注明来源和作者,不希望被转载的媒体或个人可与我们联系,我们将立即进行删除处理】
文章摘自《消化影像诊断学》

来源:华夏影像诊断中心
【版权声明】本平台属公益学习平台,转载系出于传递更多学习信息之目的,且已标明作者和出处,如不希望被传播的老师可与我们联系删除