
扩张型心肌病(dilatedcardiomyopathy,DCM),既往称充血型心肌病,是一类病因不明的、以一侧或两侧心腔扩大为主的心脏疾病。常以左心扩大为主(左心型)或全心脏扩大(全心型),少数以右心扩大为主(右心型)。心肌收缩功能受损,出现进行性加重的顽固性充血性心力衰竭,还可引起心脏起搏传导系统受损而导致各种心律失常,预后极差。
一、病理特点
镜下主要为心肌细胞不均匀肥大、变性,细胞核增大,心肌间质和血管周围广泛纤维化。心室扩大呈球形,心室扩张常比心房严重。心腔扩张较轻者,心室壁稍增厚或厚度正常,随着病情加重,室壁逐渐变薄。心内膜弥漫性增厚,50%以上有附壁血栓形成,以心尖部多见。
二、临床表现
见于各年龄组,但以青、中年多见,男多于女,起病缓慢,多无自觉症状或仅有心律失常,病情发展可出现心力衰竭症状,如劳累性心悸、气急、胸闷、乏力等。出现右心衰竭多为疾病晚期,表现为肝肿大、浮肿、尿少等,也可起病即表现为全心衰竭。少数右心型扩张型心肌病首先表现为右心衰竭。疾病晚期,心脏附壁血栓可脱落导致脑、肾、四肢动脉、肺等栓塞和猝死。
三、血流动力学改变
心肌病变使其收缩及舒张功能均受损,心排血量减低,早期心率加快以维持心排血量,晚期心血排量减少,形成高容量、低动力型血流动力学改变,心腔逐渐扩大,发生充血性心力衰竭。左心室明显扩大时,导致室间隔向右心室呈弧形凸出,合右心室压力升高,右心房血液流入右心室受阻,腔静脉瘀血。由于左心室舒张期压力升高,导致二尖瓣开放受限。心腔和房室环扩大可造成二尖瓣、三尖瓣相对性关闭不全。右心型扩张型心肌病首先表现为右心衰竭。
四、超声心动图表现
(一)二维和M型超声心动图表现
常用的切面有左心室长轴、心底短轴、心尖四腔心和二腔心切面等。
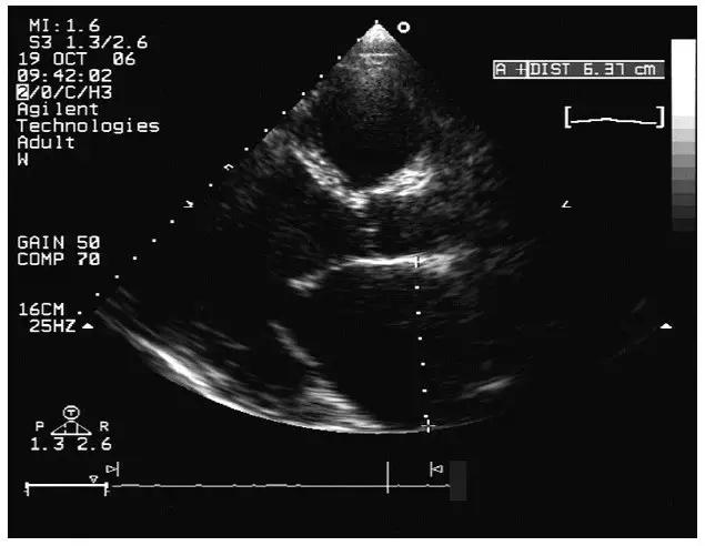
1.心腔明显扩大,以左心房和左心室扩大为主(图11-1-1)。室间隔弓形前移,左心室后壁弓形后移,左心室呈球形扩大,左心室流出道明显增宽,内径常大于35 ~ 40mm;右心室扩大相对较轻。

图11-1-1 扩张型心肌病心腔扩大
心腔明显扩大,以左心房和左心室扩大为主
2.室间隔多数变薄,左心室后壁厚度正常或略薄,两者运动幅度均弥漫性降低,尤其以室间隔更为显著。室间隔运动幅度低于3mm,左心室后壁运动幅度低于7mm。心腔扩张较轻者,室壁厚度变化不明显,甚至有的可稍增厚。一般室壁厚度与左心室腔大小成反比,心腔越大则室壁越薄(图11-1-2)。

图11-1-2 扩张型心肌病心肌变薄
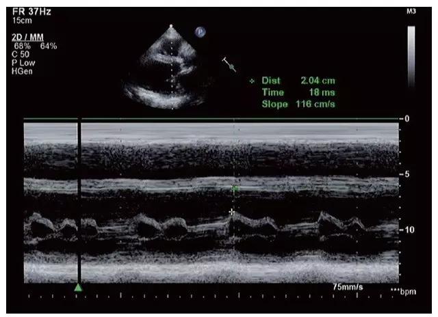
3.瓣膜自身无明显变化,但开放幅度均减低。二尖瓣开放受限,瓣口面积减小,前后叶开放幅度减小,但仍呈镜像运动,EF 斜率减慢,呈“钻石样”改变,E-E 间距< 10mm,与扩大的心腔形成“大心腔,小开口”改变。 二尖瓣前叶与室间隔之间的距离,即E 峰间隔分开距离(E-pointseptal separation,EPSS)明显增大,一般>10mm(图11-1-3)。

图11-1-3 扩张型心肌病EPSS明显增大
4.心脏收缩功能明显减低,射血分数(EF)≤ 30%,短轴缩短率(FS)≤ 15%,每搏输出量(SV)和心脏指数(CI)明显降低(图11-1-4)。

图11-1-4 扩张型心肌病心脏收缩功能明显减低
5.房室腔内可出现一个或多个附壁血栓,常见于左心室近心尖部。
6.可合并心包积液,多为少量积液。
(二)多普勒超声心动图表现
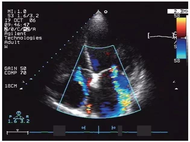
由于心肌收缩及舒张功能受损,心房和心室内的血流速度缓慢,导致彩色血流显色暗淡。由于心腔扩大,二、三尖瓣环相对扩大,造成相对性关闭不全,瓣口存在收缩期反流(图11-1-5)。

图11-1-5 扩张型心肌病二尖瓣和三尖瓣返流
二尖瓣口舒张期E峰常大于A 峰,因为左心室内充血,舒张晚期左心室压力明显增高,左心房收缩难以造成二尖瓣口较快的血流速度,A峰明显变小甚至消失。主动脉血流速度可在正常范围内或轻度减低,但其上升速度减慢,峰值后移(图11-1-6)。

图11-1-6 扩张型心肌病主动脉血流频谱
扩张型心肌病时,主动脉血流速度上升速度减慢,峰值后移
五、超声新技术在检测扩张型心肌病中的应用
1.三维超声心动图(three dimensionechocardiography)能更为准确地测量心腔大小,从而更加客观地反映心室收缩功能(图11-1-7)。

图11-1-7 三维超声心动图测量心脏收缩功能
三维超声心动图通过测量左心室的容积来测量左室收缩功能,图A为收缩期,图B为舒张期
2.彩色室壁运动分析(color kinesis, CK)显示室壁运动幅度变小,彩带宽度变薄,运动速度下降。
3.组织多普勒(Doppler tissue imaging,DTI) 应用组织速度成像(tissue velocityimaging,TVI)模式检测室壁运动速度,可显示室壁运动弥漫性减弱,纵向及横向运动速度均减低。在TVI 基础上发展起来的应变率(Strainrate, SR)克服了TVI 受邻近节段心肌运动及心脏整体运动影响的局限性,有望更为准确地检测局部心肌的变形特性, 评价心肌的收缩功能。扩张型心肌病患者各节段心肌的SR 普遍降低(图11-1-8)。

图11-1-8 扩张型心肌病的组织多普勒表现
扩张型心肌病患者各节段心肌的心肌运动速度普遍降低
六、鉴别诊断
超声心动图对扩张型心肌病的诊断无特异性,但在出现扩张型心肌病的超声心动图表现,并排除各种特异性心肌病及各种引起心脏扩大的病因后,可诊断本病。扩张型心肌病主要应与引起心腔扩大、心功能减低的疾病相鉴别。
1 .扩张型心肌病与冠心病的鉴别冠心病晚期心室扩大,临床和超声心动图表现与扩张型心肌病有相似之处,尤其是心肌长期广泛缺血引起室壁弥漫性纤维化发展而成的“缺血性心肌病”,与扩张型心肌病的鉴别更为困难。两者的鉴别主要应结合病史及临床表现。冠心病患者常有明确的高血压、心绞痛、心肌梗死等病史,常伴心电图异常。冠状动脉造影是冠心病确诊的依据,如发现有冠状动脉狭窄可资鉴别。冠心病患者还有部分特征性超声心动图表现,如局部室壁运动异常、室壁瘤、局限性心内膜纤维化、室间隔穿孔、主动脉内径增宽、主动脉瓣退行性改变等。另外,冠心病左心室舒张功能减退出现较早,而扩张型心肌病左室收缩功能减退出现较早,且节段性室壁运动异常少见。
2 .扩张型心肌病与高血压性心脏病的鉴别患者有明确的高血压病史。高血压性心脏病常合并室间隔和左心室后壁对称性肥厚,室壁运动幅度多增强,主动脉扩张。晚期高血压性心脏病出现心腔扩大,伴有心力衰竭表现,结合病史可与扩张型心肌病鉴别。
3 .扩张型心肌病与心脏瓣膜病的鉴别二、三尖瓣和/ 或主动脉瓣关闭不全可引起左、右心增大,晚期心室收缩功能减退,其鉴别要点主要为瓣膜本身的异常声像,如瓣膜增厚、钙化、粘连、瓣下结构增粗、腱索断裂、瓣膜脱垂等。瓣膜病变引起的反流量通常较大,而扩张型心肌病瓣膜的反流量相对较小。
4 .扩张型心肌病与肺源性心脏病、原发性肺动脉高压的鉴别肺源性心脏病、原发性肺动脉高压均表现为右心房、右心室扩大,右心室前壁增厚,运动增强,肺动脉压力显著升高(常为重度以上),可与侵犯右心的扩张型心肌病鉴别。
5.扩张型心肌病与特异性心肌病的鉴别部分特异性心肌病的超声心动图表现与扩张型心肌病类似,如系统性红斑狼疮、硬皮病、淀粉样变性、克山病、心内膜弹力纤维增生症、围产期心肌病、酒精性心肌病、查加斯病(Chagas disease,南美州锥虫病)、家族性心脏脂质沉积症等。主要应结合病史进行鉴别,必要时行组织病理学检查。
更多精彩!请关注“超声掌中宝”微信公众号