我的好朋友伟哥,半个月前的一天晚上,朋友聚会,大家都非常的高兴,于是便好酒好肉,喝了约半斤白酒,吃了火锅,然而吃完还没到家,突然剧烈腹痛,急忙送往医院,一查:急性胰腺炎。于是他在医院度过了接下来的一周。
我想,很多人都有遇到过身旁朋友因为急性胰腺炎住院的情况,对急性胰腺炎也不陌生,但它究竟是一个什么样的病呢?我朋友伟哥也有这样的疑问,不过听完我的讲解,相信你对胰腺炎有了更好的认识。

一、什么是急性胰腺炎?
我朋友伟哥住院后第二天便给我打电话让我去看他,而到了病床前,他首先问我的就是,到底什么是急性胰腺炎啊?看着他满脸的疑惑,我给他解释到:急性胰腺炎是多种病因导致胰酶在胰腺内被激活后引起胰腺组织自身消化、水肿、出血甚至坏死的炎症反应。如果胰管排出胰液受阻,导致胰液聚集,胰管内高压引起外分泌腺的腺泡细胞内钙离子水平升高,进一步激活酶原,消化酶在进入小肠之前即被激发酶活性,就会发生胰腺组织的自身消化,造成不同程度的损伤。急性胰腺炎一般可以分为急性水肿性胰腺炎和急性坏死性胰腺炎。而急性坏死性胰腺炎的预后一般相对于水肿性胰腺炎要差很多,所以对于高度怀疑急性胰腺炎的情况,一定要及时就诊,及时治疗。

急性胰腺炎
二、为什么会患急性胰腺炎?急性胰腺炎都有哪些典型症状?
我朋友伟哥听了我的解释后不甘心的说道,为什么我就得胰腺炎了嘛;听完他的抱怨,我再次给他科普了一下急性胰腺炎的病因。
1、胆道疾病导致急性胰腺炎。胆道疾病主要包括胆囊结石、胆管结石、胆管炎等。胆道结石可以导致胆总管阻塞,从而使得胆汁经过共同通道反流进入胰管内,从而造成急性胰腺炎。
2、暴饮暴食、过量的饮酒。过量饮酒也是引起急性胰腺炎的高危因素,是目前已知的第二大病因。酒精可导致胰腺炎相关蛋白酶的产生,导致胰腺炎;而暴饮暴食可以引起胰液的大量分泌,从而导致胰管内的压力增高,腺泡破裂胰酶溢出自溶,导致胰腺炎。
3、一些感染性疾病。某些感染性疾病可以导致十二指肠液反流进入胰管,或者直接波及胰腺引起胰腺炎。
4、自身免疫性疾病。自身免疫性疾病可导致自身免疫性胰腺炎。
而急性胰腺炎的主要表现为:急性发作的持续性的上腹部剧烈疼痛,通常向背部放射;身体前倾或卷曲时疼痛可以有轻度的减轻,而平躺时会加剧疼痛;同时时常伴有恶心、呕吐、发热等。
听完我的科普,朋友伟哥在一旁自言自语道:我估计是因为暴饮暴食加喝酒遭了。

拒绝暴饮暴食
三、高度怀疑急性胰腺炎应该做些什么检查?
1、查血清淀粉酶和脂肪酶。血清淀粉酶和脂肪酶是反映急性胰腺炎非常敏感的指标,如果高出正常值三倍以上,应怀疑有急性胰腺炎的可能,进一步完善影像学检查。
2、腹部超声检查。腹部超声可以作为急性胰腺炎诊断的方法之一,通过超声可以大致了解胰腺的形态及肿胀情况,可以起到筛查急性胰腺炎的作用。
3、腹部CT检查。是诊断胰腺炎最重要的影像学检查。它可以观察胰腺肿大的情况,胰腺周围的渗出情况,通过三期增强扫描,可以判断胰腺组织内是否有坏死,周围是否有假性囊肿形成等。通过CT检查,可以明确急性胰腺炎的分型,了解其并发症情况,对其严重程度进行分级,所以是诊断急性胰腺炎的最佳方法。

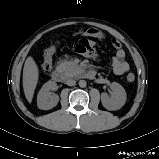
急性水肿型胰腺炎:胰腺肿大,边缘毛糙,见多发条索影。

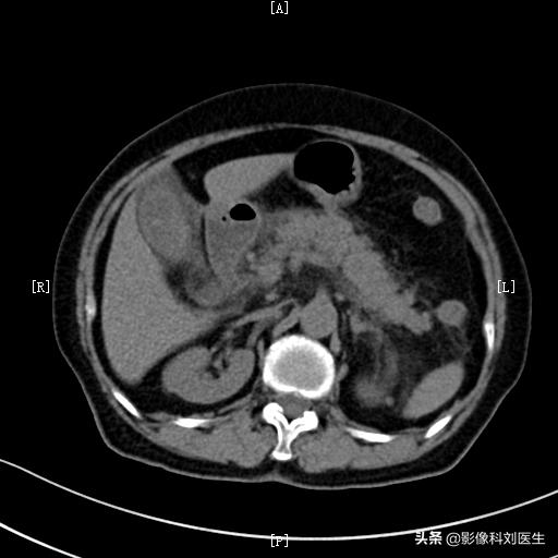
同一病人:胰周脂肪间隙模糊

正常胰腺
四、得了急性胰腺炎我们应该怎么办?
我朋友伟哥听完我的科普后,又开始向我发问:我这个治疗起来麻烦吗?应该怎么治疗呢?我只好把他的管床医生给拉过来给他科普了一番。
1、禁食、补液、营养支持。食物是胰液分泌的天然刺激物,所以必须禁食,它可以降低胰液的分泌量,减少其自身消化;同时通过静脉通道补液维持血容量及体内组织平衡;而通过肠外营养支持,保证患者的营养不缺失。对于疼痛比较厉害的病人,给予消炎止痛、缓解症状。
2、去除病因治疗。对于胆道系统疾病所致的急性胰腺炎,应该积极处理胆道系统疾病,如切除胆囊,取出胆管结石等解除胆道的梗阻,防止病情的再次复发。
3、中药治疗。中药目前在治疗急性胰腺炎方面有着一定的治疗价值,特别是对于水肿型急性胰腺炎。
4、手术治疗。对于急性重症胰腺炎伴休克,通过保守治疗无法缓解的,胰腺有损伤的,并发脓肿或假性囊肿等的患者,应该及时行手术治疗。
庆幸的是,管床医生告诉我朋友伟哥,由于他是水肿型胰腺炎,而且一般情况还算好,应该不用手术治疗;我朋友伟哥这才松了一口气。

五、平常生活中我们应该怎么预防它的发生?
在经过一个星期的治疗后,我朋友伟哥终于出院了,而出院的第一件事,便是问我应该如何预防胰腺炎的发生。那么,我们应该怎么预防呢?
1、健康、均衡饮食,切忌暴饮暴食。平时应该多吃低脂、富含维生素的食物,多吃新鲜蔬菜、水果及谷物等;少吃重油、重辣、高脂肪、高胆固醇的食物,比如肉饼、蛋糕、黄油等。
2、预防胆道疾病的发生。胆道疾病是引起急性胰腺炎的重要病因,因此,平时加强对于胆道疾病的预防尤为必要。有胆道系统疾病时及时治疗,避免其急性发作。
3、戒烟限酒。平时一定要戒掉酗酒的习惯,大量饮酒对于胰腺的损伤很大,及时饮酒也不能一次性大量饮酒。
4、积极锻炼,保持健康体重。研究表明,过度肥胖的人也更容易诱发急性胰腺炎,因此,平时应该加强锻炼,增强抵抗力的同时控制体重,防止超重和肥胖。

总结:急性胰腺炎作为常见的急腹症之一,如果不引起重视,其并发症非常多,严重的急性重症胰腺炎常常危及生命,所以在平时的生活中我们一定要提高警惕,加强预防,防患于未然,尽量减少它的发生。
如果您有其他疑问,欢迎下方留言探讨,共同学习。
我是影像科刘医生,专注分享医学、健康方面相关知识,如果您觉得文章不错,麻烦您帮忙点个赞或者加个关注,我会定期更新医学方面相关知识,共同进步。