在这篇文章中,我们将回顾各种原因引起脑水肿的病理生理学和影像学表现。水肿位置和分布的特征,以及相关的脑实质异常,对于早期准确诊断和干预至关重要。
1.细胞毒性水肿
细胞毒性水肿由三磷酸腺苷 (ATP) 依赖性跨膜钠钾泵和钙泵的紊乱引起,通常由脑缺血或兴奋性中毒(继发于过度神经递质刺激)脑损伤引起。这导致神经元、神经胶质细胞、轴突和髓鞘中液体在细胞内积聚。灰质首先受到影响,因为它具有高代谢活性和更高的星形胶质细胞密度。最终,灰质和白质都受累,在CT上因此无法分辨灰白质。水分子在细胞膜和细胞质内的扩散存在总体限制,导致 DWI 上的区域高信号和 ADC 图像上的低信号。最初,血脑屏障保持完整,细胞外水分不增加,产生正常的 DTI 图和分数各向异性。严重或反复的损伤会使跨膜离子泵不堪重负,导致细胞死亡,血脑屏障破裂并导致血管源性水肿。晚期并发症包括神经元凋亡、萎缩和神经胶质增生。

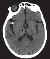
图 1A —大脑中动脉 (MCA) 梗塞。早期 MCA 梗死的平扫 CT 图像显示右侧豆状核轻微水肿,豆状核由壳核(白色箭头)和苍白球(黑色箭头)组成。

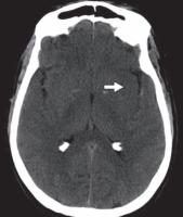
图 1B —大脑中动脉 (MCA) 梗塞。亚急性 MCA 梗塞的平扫 CT 图像显示细胞毒性水肿,导致左侧岛叶带缺失(箭头)。

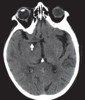
图 1C —大脑中动脉 (MCA) 梗塞。平扫 CT 图像显示右侧 MCA 高密度征(箭头)。

图 2 -梗塞的 CT 血管造影。Willis 环VR图像显示左颈内动脉远端(箭头)、大脑前动脉 A1 段(细箭头)和大脑中动脉 M1-M2 段(粗箭头)闭塞。
1.1动脉梗塞
急性动脉梗塞会产生缺氧状态,伴随去极化、炎症、氧化或亚硝化应激以及细胞凋亡继发的 ATP 快速消耗。细胞毒性水肿在动脉闭塞后 30 分钟内出现,在梗塞后 24 至 72 小时达到峰值,并在再灌注后持续长达 24 小时。在 CT 上,灰白质界限的丧失发生在对应的血管分布位置。大脑中动脉梗死的早期迹象包括豆状核的遮蔽(图 1A )) 和岛带的丢失 (图 1B); 这些通常具有高灰白对比度的区域由小的脑动脉穿支供血。大的血管内血栓也可能表现为类似增强扫描的密度增高(高密度动脉征)(图 1C )。进行性水肿导致病灶整体体积增加,表现为脑沟、脑室和脑池的消失。
急性卒中的紧急评估从平扫 CT 开始,CT 可筛查局灶性水肿、出血和占位效应。如果影像学或临床发现提示急性中风,可以使用CTA或TOF-MRA进行进一步评估。这有助于显示血管异常,包括闭塞、狭窄、夹层、动脉瘤和解剖变异(图 2)。
MRI 也可用于急性卒中,尽管技术和人员要求限制了它在许多中心的应用。DWI 是检测超急性梗塞(出现后 < 30 分钟)最敏感的序列,先于 CT(6 小时)和 T2 加权成像(6-12 小时)识别病情变化。急性梗塞中的扩散受限分别对应于 DWI 和 ADC 图上信号增加和减少的区域。随着梗死发展为亚急性和慢性阶段,会发展为血管源性水肿和脑软化症。这反映在 T2/FLAIR 信号强度的逐渐增加,且伴随着扩散系数的正常化(图3A ), 3B, 和3C)。也可以进行3D-TOF MRA或者3D-ASL检查。然而,与 CT 相比,空间分辨率较差,图像容易出现运动、磁化率和流动伪影。
用于量化脑血流的补充方式包括 SPECT 和氙 CT。在 SPECT 中,99m Tc 标记的 HMPAO(六甲基丙烯胺肟)被脑组织吸收,浓度与血流量成正比。氙 CT 使用的氙气具有辐射密度和脂溶性。一旦溶解在血液中,它可以通过血脑屏障进入实质。在吸入之前、期间和之后获得图像。
神经血管造影被认为是评估脑循环的参考标准。然而,这是一种具有相关风险的侵入性手术。然而,神经血管造影术是需要干预的患者的标准治疗,例如动脉内溶栓和血栓切除术、血管成形术或支架置入术,以及动脉瘤或动静脉畸形 (AVM) 夹闭或卷绕术(图 4 )。

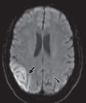
图 3A —患有线粒体脑肌病、乳酸性酸中毒和中风样发作 (MELAS) 的梗死患者的 MR 图像。T2 加权图像显示两个枕叶信号增加,右侧(粗箭头)大于左侧(细箭头)。

图 3B —患有线粒体脑肌病、乳酸性酸中毒和中风样发作 (MELAS) 的梗死患者的 MR 图像。弥散加权图像也显示双侧高信号,右侧(粗箭头)大于左侧(细箭头)。

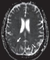
图 3C —患有线粒体脑肌病、乳酸性酸中毒和中风样发作 (MELAS) 的梗死患者的 MR 图像。表观扩散系数图像(ADC)显示右侧信号减弱(粗箭头)但左侧信号正常(细箭头)。因此,右侧病变为急性梗死,弥散受限。左侧病变代表亚急性或慢性梗塞,弥散加权图像上有 T2 透过效应。
中风的预后取决于患者年龄、症状持续时间、阻塞的原因和严重程度、受影响的血管区域以及侧支循环通路的存在。在症状出现后的前 3 小时内,非出血性缺血性卒中需要全身静脉注射组织型纤溶酶原激活剂 (tPA)。在此时间窗之后,IV tPA 不再有效。在 6 小时内,动脉内 tPA 可在血管造影期间直接给药。机械装置,例如 MERCI(脑缺血机械取栓,Concentric Medical)取栓器,可用于额外的血栓切除术。抗血小板药物,如氯吡格雷(波立维、赛诺菲-安万特)和阿司匹林,可最大限度地减少实质损伤并降低未来中风的风险。
1.2小血管病
小的穿支血管从 Willis 环和椎基底动脉循环分支出来,供应基底神经节、深部白质、小脑和脑干。高血压和动脉粥样硬化容易损伤这些末端动脉,导致腔隙性梗塞或出血。高龄、辐射损伤、脑膜脑炎、血管炎和自身免疫性疾病是额外的危险因素。淀粉样血管病是一种特殊形式的微血管病,其中 β-淀粉样肽在血管壁内积聚,易患多灶性和脑叶出血性中风。根据受影响的区域,临床表现可能是无症状的或包括运动、感觉和共济失调或运动症状的某种组合。发病过程可能是急性的、慢性的或波动的。如果有明显的白质受累,皮质下痴呆(Binswanger 病)可能会进展,伴随执行功能的恶化。不存在真正的皮质体征,包括记忆丧失和失语。

图 4 —与图3相同的患者的梗死血管造影。治疗前左侧颈总动脉造影(左)显示左侧颈内动脉 (ICA) 远端充盈缺损(箭头),大脑前动脉 (ACA) 和中动脉 (MCA) 未显影。化学和机械溶栓后(右),ICA、ACA(细箭头)和 MCA(粗箭头)完全显影。
在 CT 上,小血管缺血性疾病表现为小穿支动脉区域皮质下和脑室周围白质的多发性白质低密度影。基底神经节和幕上区域也可见局灶性腔隙(图 5A )。高血压患者常见的自发性出血,一般位于基底节或丘脑。在存在败血症或先天性心脏病的情况下,栓子也会在血管区域之间的边界处产生分水岭梗塞。MRI 显示缺血区域在 T2/FLAIR呈现 高信号(图 5B ))。扩散受限存在于急性期,但在亚急性期和慢性期正常化。
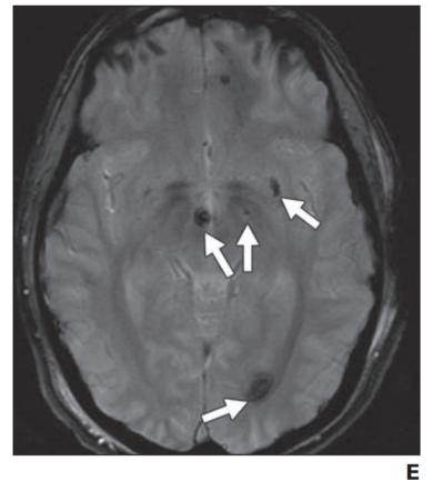
其他微血管病大脑受累的分布不同。在淀粉样血管病中,多灶性和脑叶出血性中风很常见。GRE/磁敏感加权成像可用于检测隐匿性微出血病灶(图6A 、 6B, 和6C)。

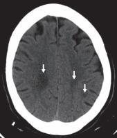
图 5A——小血管缺血性疾病。半卵圆中心水平的平扫 CT 图像显示弥漫性皮质下白质低密度以及代表腔隙的更多局灶性低密度(箭头)

图 5B —小血管缺血性疾病。FLAIR 图像显示多个脑室周围高信号灶。

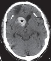
图 6A—淀粉样血管病。未增强 CT 图像识别出以右侧基底神经节为中心的急性出血(星号),提示高血压原因。血肿被血管源性水肿的薄边缘包围并延伸到右额角。两额叶出现慢性脑软化灶(箭头)。

图 6B—淀粉样血管病。T2 加权 MR 图像显示出血区域(星号)周围有磁敏感伪影,周围水肿呈高信号。两个枕角也有出血液平(箭头)。

图 6C —淀粉样血管病。T2 *加权梯度回波 MR 图像再次显示右额角(星号)急性出血。整个脑实质和脑沟(白色箭头)有多个病灶,表示慢性微出血和浅表铁质沉着症。右额叶有局灶性脑软化(黑色箭头),与 CT 所见一致。
2.血管源性水肿
血管源性水肿是由构成血脑屏障的紧密内皮连接破裂引起的,继发于物理破坏或血管活性化合物的释放。结果,血管内蛋白质和液体渗出到细胞外空间。扩大的细胞外液降低了 T1 信号,增加了 T2 信号,并降低了分数各向异性。白质优先受到影响,因为它的密度较低,具有多个不相连的平行轴突束。
在早期阶段,血管源性水肿可能会随着血脑屏障的重建而逆转。多余的液体可以通过脑脊液的大量流动和淋巴清除被再吸收,细胞外蛋白质要么被巨噬细胞消化,要么通过跨膜载体运回细胞。然而,慢性或复发性损伤通常会产生不可逆的髓鞘损伤。此外,水肿引起的占位效应可降低脑灌注压,导致缺血和细胞毒性水肿。
2.1肿瘤
良性和恶性肿瘤都与血管源性水肿有关,血管源性水肿是由肿瘤血管生成和血脑屏障破坏引起的。肿瘤病变可能是原发性或继发性、单灶性或多灶性,它们的影像学表现因基础组织学而异。在 CT 上,血管源性水肿表现为局限于白质的局部低密度。由于软组织对比度低,导致病变的特征通常不完全,但可能显示局部出血、钙化或坏死。MRI 通常用于肿瘤显示,应包括未增强和对比增强的 T1 加权成像、T2 加权成像、FLAIR、GRE/磁敏感加权成像、DWI、ADC 和 DTI 序列。

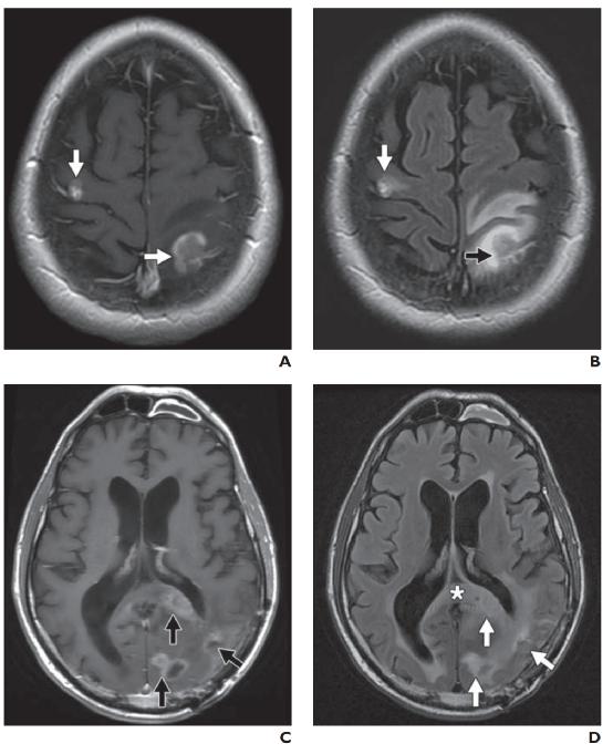
图7——肿瘤血管源性水肿。A,在伴有颅内黑色素瘤转移的1型水肿患者中,增强T1-加权图像显示右侧额叶和左侧顶叶的增强肿块(箭头)。B,FLAIR序列显示与A相同的病灶周围水肿,界限清楚,局限于肿块附近(箭头)。C,在多灶性多形性胶质母细胞瘤2型水肿患者中,对比增强T1加权成像显示左侧枕叶有多个强化病灶(箭头)。D,FLAIR序列显示弥漫性浸润性水肿(箭头),反映肿瘤微浸润。穿过胼胝体压部中线(星号)。
上图已经描述了两种不同类型的瘤周血管源性水肿。1 型可见于低级别和非神经胶质肿瘤的紧邻区域,例如脑膜瘤和转移瘤。这种类型被认为继发于脑实质压迫,继发性缺血和坏死甚至在肿瘤切除后仍然存在(图 7A )。2 型水肿发生在高度浸润性高级别神经胶质瘤中,会引起血脑屏障的额外紊乱。这种水肿模式遍及同侧大脑半球,指状突起反映肿瘤微浸润(图 7B )。切除后,数月内水肿可能会部分或完全消退。与 1 型水肿相比,2 型水肿 DWI 的扩散系数增加,DTI 的各向异性分数降低,这可能反映了恶性细胞浸润造成的实质破坏更大。当见于小肿瘤或良性肿瘤时,这种非典型水肿模式高度怀疑恶性变性。
最终的手术治疗包括完全切除,可能辅以辅助化疗和放疗。用于减少血管源性水肿的皮质类固醇可能通过抑制肿瘤血管生成因子(如血管内皮生长因子)起作用。其他实验性分子试剂已被用于靶向肿瘤细胞的生长、侵袭、迁移和凋亡。
2.2出血
血管源性水肿常见于继发于高血压、外伤、凝血病、淀粉样血管病、血管异常、中风和转移瘤的大面积颅内出血附近。据推测,该机制涉及血凝块形成过程中血清蛋白的渗出,导致血肿周围炎症和血脑屏障破坏。水肿在 CT 扫描上表现为周围低密度,在 MR 图像上表现为 T2/FLAIR 高信号。有时,它可能会产生高达原始病变体积两倍的占位效应(图6A , 6B, 和6C)。可以进行医疗管理以降低升高的颅内压。即将发生的脑疝可能需要手术清除和去骨瓣减压术。

图8-脑静脉血栓形成。A,增强CT图像显示左侧横窦和乙状窦内高密度血栓条索征(箭头)。有细微的邻近血管源性水肿(星号)。B,MR静脉图的旋转最大密度投影图像显示左侧乙状窦充盈缺损(箭头)。T1加权成像异常信号可以证实血栓的存在。

图9-动静脉畸形(AVM)。A,未增强CT图像显示分叶状高密度影伴钙化静脉石(箭头)。注意周围轻度血管源性水肿(星号)。B,CT血管造影显示AVM累及整个左大脑半球,病灶位于左额叶。


图10—硬脑膜动静脉瘘。A,未增强的CT图像显示左颞叶明显的血管源性水肿,伴有线性稀疏区(箭头)。B,T2加权磁共振图像显示与水肿相对应的信号增强。可见多个连续的内部流空影,伴有扩张的髓静脉(细白箭头)、经皮质静脉(黑箭头)和皮质静脉(粗白箭头)。C,增强T1加权磁共振图像显示硬脑膜动静脉瘘明显强化。
2.3静脉血栓形成
脑静脉血栓形成是一种罕见的梗死形式,其中静脉流出受阻,导致实质充血和正常血脑屏障的破坏。风险因素包括外伤、易栓塞病症(脱水、怀孕、癌症、药物、高凝血病)和慢性炎症或感染。患者可能会出现头痛、视力改变和癫痫发作。也可出现中风样症状,但与动脉疾病相比通常更无痛且偏侧性差。
在平扫 CT 上,受影响静脉内的高密度凝块可能会产生脐带征。周围的血管源性水肿并不局限于典型的动脉分布(图 8A)。出血性转化很常见,表现为不均匀性和回旋状。CT 静脉造影可以证实存在充盈缺损,上矢状窦血栓形成典型的空三角征。MR 静脉造影也可用于评估脑静脉血栓形成。然而,由于 T2 血流相关伪影很常见,因此应检查 T1 加权序列以验证疑似血栓区域的信号变化(图 8B )。
脑静脉血栓形成的治疗涉及抗凝剂;在极少数情况下,可能需要全身或血管造影溶栓。即使在出血性转化的情况下,抗凝治疗的潜在益处几乎总是大于风险。如果不进行治疗,增加的灌注压会传回动脉系统,导致动脉梗塞并伴有细胞毒性水肿。严重的病例可能需要脑室造瘘术或去骨瓣减压术以防止致命的脑疝。
2.4动静脉分流
脑动静脉分流可分为 AVM 或动静脉瘘 (AVF)。这些病变的特征是大脑动脉和静脉系统之间的异常交通。AVM 是先天性畸形,其特征是毛细血管床或中央病灶居中间。相比之下,AVF 具有直接的动静脉交通,并且后天获得性多于先天性。这些可能继发于静脉血栓形成或外伤、感染、高凝状态、肿瘤或血管疾病引起的阻塞。

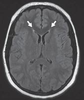
图 11 -颗粒性室管膜炎。FLAIR MR 图像显示前外侧额角周围的小三角形高信号区域(箭头)。这代表正常的解剖变异。
动静脉分流中脑水肿的机制尚不完全清楚。潜在的原因包括静脉引流受损、动脉窃血现象和破裂出血。静脉高压可由血液动力学分流、血栓形成、占位效应或脑积水引起。升高的静脉压导致流出道阻塞、水肿,并最终导致缺血。
在平扫 CT 上,动静脉畸形可能表现为带有内部钙化静脉石的分叶状高密度肿块。CT、MRI 或常规血管造影显示血管呈蛇形缠结,中央有一个病灶连接供血动脉和引流静脉(图9A ), 和9B)。AVF 的特点是大脑、硬脑膜或软脑膜动脉和静脉之间的直接连接。在 MRI 上,慢流畸形显示 T2(液体)信号增加,而高流量畸形和瘘管产生 T2 信号空洞(流空伪影)(图10A ), 10B, 和10C). 虽然水肿的主要形式是血管源性的,但血流动力学显着的病变可能会产生缺血并伴有细胞毒性水肿。

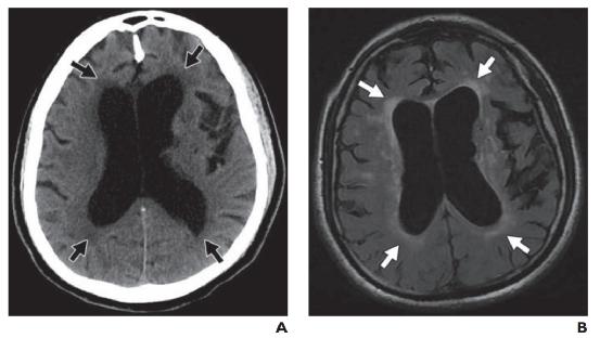
图12—正常压力脑积水。A,未增强的CT图像显示明显的侧脑室扩大,与脑沟不成比例。额角和枕角周围的低密度(箭头)反映了脑脊液跨室管膜的迁移。B,FLAIR磁共振图像再次显示脑室扩张和1级室周高信号(箭头)。也存在微血管疾病的分散病灶。


图13—创伤性脑损伤。A,未增强CT图像显示出血性挫伤,伴下额叶周围水肿,左侧(星号)大于右侧。B,与A相同患者的未增强CT图像显示左前颞叶出血性挫伤(星号)。C,另一弥漫性轴索损伤患者的未增强CT图像显示多个点状出血(箭头)。D,与C中相同的患者的FLAIR图像显示多个信号异常区域,指示水肿(箭头)。E,与C中相同患者的梯度回波图像显示了额外的微出血灶(箭头)。
大多数 AVM 都可以按预期进行管理。然而,AVF 和大型 AVM 需要干预,因为它会产生显着的血液动力学影响。根据病变大小、位置和静脉引流方式,可以进行经导管栓塞或手术切除。
3.间质性水肿
间质性(脑积水)水肿发生在脑室内压升高的情况下,这会导致脑室室管膜内层破裂。这允许脑脊液经室管膜迁移到细胞外空间,最常见的是脑室周围白质。液体成分与 CSF 相同,具有相似的离子浓度和可忽略不计的蛋白质(与血管源性水肿相反)。间质性水肿的各种原因包括阻塞性肿块、脑膜炎、蛛网膜下腔出血和正常压力脑积水。相比之下,颗粒性室管膜炎是指前外侧额角周围的小三角形异常信号区域(图 11 )). 这种正常的解剖变异是由于局部髓鞘减少、细胞外液增加或室管膜内层局部破裂伴神经胶质增生所致。在 CT 上,脑室扩大和脑室周围低密度增加的组合提示间质性水肿的诊断(图 12A )). MRI 是一种更敏感的成像方式,在 T1 加权成像上显示低信号,在 T2 加权成像/FLAIR 上显示脑室周围高信号(图 12B )). 脑室周围高信号可根据其严重程度分级。1 级(不连续)表现为靠近额角和枕角以及侧脑室的局灶性信号异常。2 级和 3 级(连续和脑室周围晕)完全围绕脑室并且厚度不同。4 级(弥漫性白质异常)延伸至灰白质交界处。由于水肿位于细胞外,DTI 图可能显示局部各向异性分数降低。然而,平均总体扩散率在 DWI 和 ADC 图上是正常的。
对于有症状的患者,通过切除阻塞性病变(非交通性脑积水)或放置脑室造瘘管(交通性脑积水)进行减压可使脑室压力恢复正常。反过来,这使得间质液能够正常顺行吸收穿过室管膜内层并回到脑室系统。如果不进行干预,这些发现最终会发展为脑萎缩和神经胶质增生。

图14-缺氧缺血性脑病。A,一氧化碳吸入性损伤患者磁共振图像显示双侧苍白球T2信号异常(箭头)。在扩散加权成像和表观扩散系数序列上发现慢扩散,表明有细胞毒性水肿。B,心脏骤停后全脑水肿患者的未增强CT图像显示细胞毒性和血管源性水肿的灰白色分化弥漫性丧失。脑明显肿胀,脑沟和脑室消失,基底池拥挤(箭头所示),产生“假性蛛网膜下腔出血”的外观。
4.混合型水肿
几种疾病会产生细胞毒性和血管源性水肿的混合模式。这可能是由于多灶性或全身性疾病或与疾病进展相关的病理生理学改变。原因包括外伤、缺氧缺血性脑病、代谢或中毒情况、多系统器官衰竭、高血压危象以及感染或炎症。在 CT 和 MRI 上,脑沟、脑室和基底池存在结构挤压或消失。如果不解决根本原因,则不可避免地会发展为小脑幕和致命性脑疝。需要进行积极的干预,包括如果病情难以通过药物治疗,需要进行手术减压。
4.1创伤
脑挫伤是由直接头部外伤引起的,通常影响下额叶和前颞叶。当移动的物体撞击静止的头部时,会发生直接伤害,伤害紧挨着外伤部位。当移动的头部撞击静止的物体时,就会发生对冲伤害,从而导致力惯性传递到受影响区域的另一侧。存在细胞毒性水肿和血管源性水肿,反映出反应性细胞内代谢物积累和血脑屏障的创伤性开放。血管损伤可能导致出血(图 13A)。


图15—后部可逆性脑病综合征。A,未增强的头颅CT显示枕叶后部低密度(箭头),主要是血管源性的,尽管有皮质受累的病灶区。B,FLAIR MR图像再次显示对称性高信号(箭头),同时累及白质和灰质。C,对比增强T1加权磁共振成像显示在这个区域有微弱的脑回状强化(箭头),被认为是继发于高血压引起的短暂血管扩张和血脑屏障的破坏。
剧烈的加速-减速力,例如在高速机动车事故中,可能会产生弥漫性轴索损伤。这是通过差异剪切机制发生的,并优先影响灰白质交界处、胼胝体和脑干。当在儿童和老年人身上看到时,这一系列的发现应该提示非意外创伤,特别是当病史与受伤程度不一致时。骨折、颅内出血和视网膜出血也是特征性的,并显示出空间和时间异质性。
在 CT 上,水肿或出血区域可能相当细微。MRI 更敏感,显示水肿区域在T2/FLAIR 呈高信号。微出血病灶在 GRE/磁敏感加权成像上更敏感(图 13B )). DWI 和 ADC 序列上的扩散受限表明存在缺血。带纤维束成像的 DTI 确定了白质纤维束的损伤程度。随着时间的推移,病变会发展并变得不那么明显。在晚期阶段,可能会发现残留的含铁血黄素和慢性萎缩。
弥漫性轴索损伤的治疗主要是支持性的。对于初始Glasgow Coma Scale量表评分低于 9、CT 异常、年龄大于 40 岁、运动姿势改变或收缩压低于 90 mm Hg 的患者,应持续监测颅内压。减压可能需要急诊脑室造瘘术或去骨瓣手术。
4.2缺氧缺血性脑病
缺氧缺血性脑病是一种由部分缺氧引起的脑损伤模式。病理生理学涉及能量依赖性线粒体损伤,导致嗜酸性粒细胞增多、巨噬细胞消化、皮质萎缩和神经胶质增生。它最常见于继发于出生窒息的早产新生儿,但可以发生在任何年龄。原因包括缺氧(环境氧气减少,可能发生在高海拔地区或继发于潜水或窒息)、低氧血症(血氧减少,如贫血、肺或心脏分流或一氧化碳中毒)、缺血(血流不足,如梗塞、休克、心脏骤停、颅内压升高)和组织毒性(氧代谢受损,如继发于儿童使用阿司匹林、氰化物、三乙基锡、铅、六氯酚)
损伤可能是局灶性、弥漫性或全局性的,严重程度从短暂性水肿到不可逆的梗塞和坏死不等。由于相关的水肿或脑软化,急性病变在 CT 上呈低密度,在 T1 加权成像上呈低信号,而在 T2 加权成像上呈高信号。对比度增强是可变的,并且作为持续损伤的反映表明预后较差。存在细胞毒性水肿模式,在 DWI 和 ADC 图上扩散受限。由于其高代谢要求(神经元细胞体和胶质细胞)和分水岭动脉分布,深部灰质通常受到最严重的影响。经典位置包括海马体;苍白球;以及较小程度上的尾状核、壳核和丘脑损伤(图 14A ))。小脑和脑干对缺氧有相当的抵抗力,这些区域的受累表明损伤程度更高。晚期缺氧缺血性脑病可产生涉及白质轴突和髓鞘的血管源性水肿模式。这会影响脑室周围和皮质下白质、胼胝体以及外囊和内囊(图 14B ))。缺氧缺血性脑病影像学表现的严重程度与发生迟发性神经精神综合征的临床可能性相关。

图16—辐射坏死。A,FLAIR MR图像显示广泛双额叶水肿(细箭头),主要为血管源性分布,累及胼胝体膝(粗箭头)。B,对比增强T1加权像显示轻度线性边缘强化(箭头)和中央区低强化。

图17—脑脓肿。A,T1加权增强图像显示右顶叶分叶状积液,边缘不规则强化(箭头)。B,FLAIR图像显示周围血管源性水肿(箭头)。
4.3渗透性水肿
当脑实质和血浆之间的溶质浓度不同时,会导致渗透性脑水肿。这会产生异常的渗透压梯度,导致液体从血清净流入大脑。原因包括稀释血浆的情况(包括水中毒、透析不平衡、低钠血症、抗利尿激素分泌异常综合征、糖尿病酮症酸中毒、肝肾衰竭和其他代谢情况)和增加组织渗透压的疾病(出血、梗塞、挫伤)。出现细胞内(细胞毒性水肿)和细胞外(间质和血管源性水肿)成分。
4.4流体静力型水肿
流体静力型水肿发生在颅内压急剧升高的情况下,并可能发生在神经外科患者、高血压危象、高血压肾病、子痫、嗜铬细胞瘤和库欣综合征中。血管内压升高引起脑血管反应性痉挛,导致脑缺血和细胞毒性水肿。最终,脑血管自动调节不堪重负,脑毛细血管床泛滥,导致间质或血管源性液体渗出到细胞外间隙。
4.5感染或炎症
脑部感染可能由细菌引起,或者病毒、菌类、和其他致病因素引起,例如朊病毒。影像学表现包括脓肿、脑膜炎、脑室炎和脑炎。炎症原因包括脱髓鞘疾病(多发性硬化症、后部可逆性脑病综合征(图15A ), 15B, 和15C)、进行性多灶性脑白质病)、血管炎、自身免疫综合征、癫痫、偏头痛、辐射(图16A )和16B), 和药物反应。这些病变由于血脑屏障的损伤而产生血管源性水肿。内部扩散受限区域也可能存在,并且可能表示蛋白质或出血性内容物(通常在 T1 加权成像上呈高信号)或伴有细胞毒性水肿的缺血(在 T2 加权成像上呈高信号,在 T1 加权成像上呈低信号)。对比增强在急性期最为强烈,并随时间推移而减弱。在脑部感染的情况下,不均匀性软组织强化提示蜂窝织炎,而具有致密边缘强化的机化液体则与脓肿有关(图17A )和17B)。