
自从2018年PD-1*制剂抑**进入临床,肿瘤治疗进入了免疫治疗时代,很多患者,即使是广泛转移、以往难治的患者,通过免疫治疗或联合治疗,获得了非常好的疗效,部分患者获得了长期存活。但是,随着接受免疫治疗的病友越来越多,药物获得性耐药的问题,逐渐成为大家最关心的热门话题。出现了获得性免疫耐药,怎么办?现给大家分享一个处理耐药的成功病例。
基本情况:
患者男,52岁。
2018年7月确诊:鼻咽非角化性未分化型癌累及鼻腔、椎前肌、左翼内肌、颅底、左破裂孔及左腮腺并双颈部多发淋巴结转移放化疗后纵隔淋巴结(T4N3M0,Ⅳa期)。
2018年7月至2018年9月:“多西他赛+奈达铂”方案,化疗3周期。
2018年10月起:一程标准剂量调强放疗,奈达铂单药同步化疗2周期。
疗效评价:CR。
第二阶段治疗:
2019年10月复查MRI示:肝多发转移瘤。

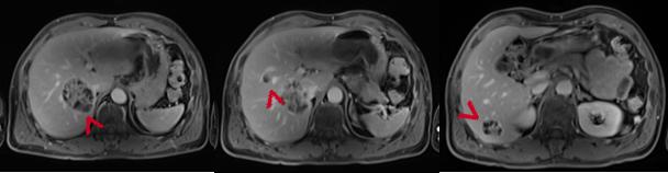
MRI示:肝内多发转移灶
2019年10月至2020年2月:吉西他滨+顺铂 + PD-1*制剂抑** /Q21d,5周期,中间复查MRI示:病灶明显缩小。疗效评价PR。
2020年2月至2020年10月:PD-1*制剂抑**/Q21d,共12周。
疗效评价SD。

MRI示:免疫联合化疗后,病灶明显缩小。上图:治疗前;下图:治疗后
第三阶段治疗:
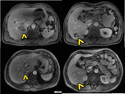
2020年11月复查上腹部MRI示:肝内多发转移灶较前增大,考虑治疗进展。
临床判断:鼻咽癌肝内多发转移免疫治疗后寡进展。

MRI示:肝内病灶较前增大,显示为寡进展。上图:耐药前;下图:耐药后
2020年11月:局部影像引导容积调强放疗,50Gy/20F/4w,替吉奥同步化疗2周期。
2020年12月至今:替吉奥维持治疗。
疗效评价:大PR。

MRI示:肝内病灶放疗后明显缩小。上图:放疗前;下图:放疗后
病例分析:
1.何为免疫治疗后寡进展。 临床肿瘤使用PD-1抗体明确出现过肿瘤缓解、过一段时间却再次出现明确的肿瘤进展的情况,称之为获得性耐药。耐药后寡进展定义为:不多于2个位置有疾病进展,全身性进展定义为至少3个位置有疾病进展。
2.免疫治疗耐药后可表现为寡进展。 2020年ASCO上,美国纽约斯隆凯特琳癌症中心报道,1201例接受PD-1*制剂抑**治疗的晚期非小细胞肺癌患者,243例患者有效一段时间后;有189名患者出现了获得性耐药:53%的获得性耐药发生在起效后的1年内;37%的获得性耐药发生在起效后的第2年;74%的获得性耐药发生在起效后的5年内。其中有35%的获得性耐药发生在淋巴结,超过一半(56%)的获得性耐药是寡进展。本例患者肝内病灶免疫后进展,但全身控制良好,因此,可以定义为寡进展。
3.局部放疗为免疫治疗寡进展有效治疗手段。 从全身治疗角度上,目前仍无有效治疗药物来逆转免疫治疗后耐药,从临床实践上,目前有抗血管生成、化疗、其它免疫*制剂抑**等,但治疗有效性太低、费有高、维持时间短等等,成为目前临床的难点。而放疗,作为局部治疗手段,精准放疗能够给予摧毁肿瘤足够剂量的同时,对正常组织进行很好的保护,是性价比非常高的有效手段。从而使部分寡进展患者获得长期存活的机会。本例鼻咽癌患者出现肝脏多发转移,肝转移是生存最差的预后因素,在出现寡进展后,给予局部放疗,联合替吉奥化疗,获得非常好的效果,使患者在花费不多、毒副反应轻的前提下,获得了长期生存的机会。
