口腔门诊时,遇到体检有高尿酸的病人前来就诊,“刘医生,你帮我看看尿酸这么高,听人说的太酸了容易导致牙齿脱矿,发生龋齿”
研究表明,酸性物质是会导致牙齿脱矿,可是,尿酸真是这样的吗?
作为一名有着丰富工作经验的口腔医生,我的回答是:常规来说,尿酸是血液值超过正常指标,可能会带来关节的疼痛不适(痛风)。但是这种酸并不会导致牙齿脱矿,发生龋坏。

痛风≠牙釉质脱矿
下面我们就分别来聊聊尿酸和牙齿脱矿之间的事吧!
为什么会有这种谣言呢
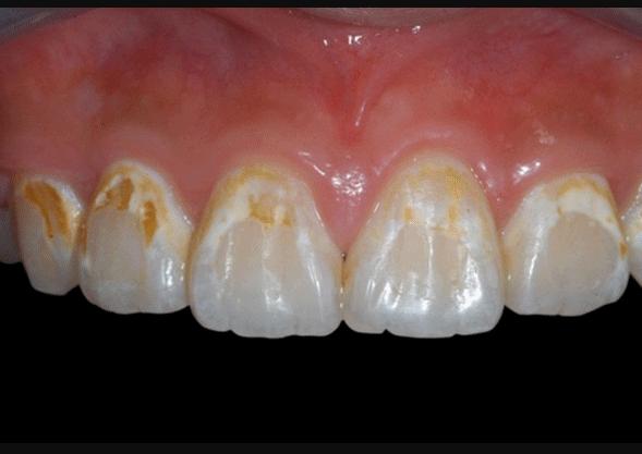
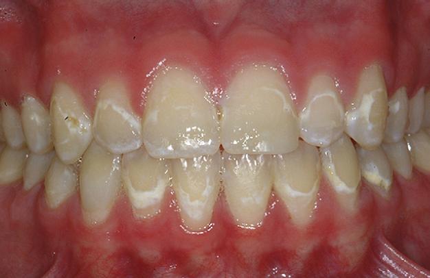
我们的牙齿,是人体最坚硬的组织,正是由于外面包裹一层厚厚的牙釉质所致。牙釉质质地坚硬,无机物占绝大部分。牙釉质虽然最硬,可是却怕酸,酸会导致牙齿脱矿,失去光泽,常见的表现为白垩色或黄色,最终导致牙釉质部分缺失,显露出里面的硬度较差的牙本质。
有研究表明[1]:碳酸饮料浸泡后的牙齿会发生牙釉质脱矿,在电镜下可以观察到釉质表面形成凹凸不平或者蜂窝状的粗糙面。

牙釉质脱矿
综上所述,人们也就联想到了尿酸高是不是也会导致牙齿脱矿,发生龋齿等问题。
什么是尿酸,有什么影响
1.尿酸是一种嘌呤代谢产物,呈弱酸性,我们人体正常情况下含有1200mg 左右,每天都在不断的排泄,同时也在源源不断的产生。当这个平衡的环节被打破,如人体产生尿酸增多或排除过少等,都会导致血液尿酸浓度增高。

产生高尿酸的原因
2.体内尿酸水平不断增多,逐步形成结晶,沉积于关节处,诱发疼痛的发生,给日常的生活和工作带来不适。如果没有引起足够的重视,体内持续处于高尿酸水平,可能会对肾脏功能造成损伤,反过来也会加重尿酸的潴留。

高尿酸的危害
牙齿脱矿相关事
1.牙齿发生脱矿,通俗讲就是牙釉质表面的矿物质由于外界的因素而发生改变。理论上讲,牙齿发生脱矿的同时,也会有再矿化的形成。不过这种平衡被打破后,就会具体表现为:牙齿外观呈斑点状的白垩色,发生在上下前牙时,影响美观。若是脱矿严重,牙齿表面可出现凹凸不平的窝洞,容易患龋,且进展较为迅速。

牙釉质脱矿
2.酸如何导致牙齿脱矿
牙釉质主要为无机物构成,而里面占多数的为羟基磷灰石。酸性物质作用与磷灰石晶体,使钙和磷离子游离出来,破坏羟基磷灰石的稳定性,牙釉质就会发生脱矿,硬度下降,咀嚼磨损或细菌侵入都会变得容易,因此发生龋齿的几率也大大增加!
3.尿酸对牙齿脱矿的影响
有人在担心,尿酸较高也会导致牙齿脱矿,真是这样吗?作为一名医生,我的回答是:高尿酸并不会导致牙齿脱矿,原因如下:高尿酸是指血液中尿酸浓度较高,主要累及关节和肾脏等。我们牙釉质发生脱矿所需的酸性,一般认为是P H ≤5,而尿酸是呈弱酸性,并且在口腔内的分泌物中浓度较低,是不会导致牙釉质脱矿,发生龋齿等风险的。

高尿酸并不会导致牙釉质脱矿
知识拓展1:进食酸性食物,如何护牙
当进食过酸的食物,如柠檬、橘子、碳酸饮料等,进食后附着于牙齿表面,会导致牙釉质发生轻微的脱矿,此时需要及时漱口,将酸性物质脱离牙齿表面。但不建议立即刷牙,避免破坏牙齿再矿化的过程。

刷牙、漱口
知识拓展2:牙齿脱矿,怎么办
牙齿脱矿,较轻微者,牙齿仅仅色泽改变或表面形成凹凸不平的小窝洞。特别是前牙,可以考虑使用贴面修复,只需要对牙齿表面进行轻微的处理,就可以取模后制作。贴面对于健康牙齿损伤小,且美观性能恢复好。如果牙齿脱矿,龋病快速发展已经累及了牙髓组织,那么就只有完善根管治疗后,选择全冠进行保护。

贴面修复
知识拓展3:正畸患者如何预防脱矿
传统的弓丝矫正的患者,因为口腔内所戴附件较多,进食后不易清洁。食物残渣发酵产酸或原有的酸性物质会附着在牙面,容易导致牙釉质发生脱矿,形成龋坏等。有研究表明[2]:正畸患者由于医从性较差,刷牙不到位等容易发生牙釉质脱矿,采用6个月左右的一次涂氟,可以在牙面形成保护层,有效降低釉质脱矿的发生几率。

正畸,涂氟预防脱矿
原创打油诗一首
人体最硬当属牙,遇上酸性却软化
美食过后勤漱口,正确刷牙时机好
牙齿脱矿非一日,缺损太多补及时
贴面全冠选合适,洁白牙齿笑开颜
总结:首先,尿酸高并不会导致牙齿脱矿。其次,如果发现尿酸高于正常值或者牙釉质发生脱矿,均需要积极至相关科室给予合适的治疗,避免病情进一步拖延,产生其他不必要的后果。最后,相信科学,不要盲目听信谣言,发生问题,及时寻求医生的帮助。
参考文献:
[1]:周娟.叶双.许琼莉等.碳酸饮料致离体年轻恒牙釉质脱矿深度的观察[J].齐鲁医学杂志.2017.08.32(04):447-449+452
[2]:覃猇姝.氟保护漆预防正畸治疗中牙釉质脱矿的效果[J].中国当代医学.2019.08.26(23):89-92
配图:网络(侵删)
#清风计划# #头条健康# #健康真相馆#