猫口腔鳞癌(FOSCC)是猫最常见的口腔肿瘤,占所有口腔肿瘤的70% ~ 80%。鳞状细胞癌(SCC)起源于口腔的正常鳞状上皮。
猫有三种SCC:
口腔-影响口腔
皮肤——耳朵、鼻子、嘴唇、太阳穴和眼睑是最常见的部位
伯恩氏病——一种发生在皮肤多个部位的皮肤癌
SCC的平均年龄是12岁,然而,它可以发生在3到20岁以上的猫身上。
皮肤:
受影响区域的小凸起红点慢慢地增大成有鳞的红色斑块,结皮并流血
鼻子或脸上有不愈合的溃疡
沿耳缘结痂,可溃烂
瘙痒
受影响区域的脱发
打喷嚏
组织侵蚀是常见的肿瘤进展到更深的组织层
口腔:
嘴硬
口臭
不愿意吃东西,这反过来会导致缓慢和渐进的减肥
进食时掉落食物
流口水
上颌或下颌肿胀
牙齿松动
口腔疼痛
博文氏病:
头部和身体多处疼痛
溃疡
干硬皮,尤指头部
风险因素,致癌的潜在原因尚不清楚,但潜在的危险因素包括:
食用罐头食品,特别是金枪鱼罐头
使用跳蚤项圈
香烟烟雾暴露
在一项评估这些风险因素的研究中,食用罐头食品的猫患口腔癌的风险增加了3.6倍,而食用罐头金枪鱼的猫患口腔癌的风险增加了4.7倍。这种关联的机制可能是牙齿疾病发病率的增加或食物含量的差异,但还需要进一步的研究。使用跳蚤项圈与口腔鳞状细胞癌风险增加5.3倍相关,可能是由于在梳理过程中接触了口腔致癌物。一个常见的遗传原因可能是p53抑癌基因的丢失或突变,这种基因在DNA受损时帮助调节细胞周期。接触环境中的*草烟**烟雾与FOSCC活检结果中p53突变的风险增加4.5倍有关。人乳头瘤病毒是人类头颈部鳞状细胞癌的危险因素,但与FOSCC无相关性。
临床表现
临床症状
FOSCC常见的临床症状包括食欲不振或吞咽困难、口臭、流口水或口腔分泌物增多,或食物或水盘里有血。一些迹象,如体重减轻、仪容整洁程度下降或隐藏程度增加,可能是细微而不具体的。
如果你的猫出现了以上任何一种症状,它们可能患上了口腔鳞状细胞癌,你应该尽快与你的初级护理兽医安排一次检查。
过度流口水——你注意到你的猫流口水更多了吗?你注意到他们的唾液里有血吗?
进食困难——你有没有注意到你的猫吃得少了,因为它们咀嚼困难?
口臭——你注意到你的猫呼吸的气味有了显著的变化吗?即使刷牙后,口臭还会持续吗?
吞咽或咀嚼困难(取决于位置)——你的猫在喝水、吃东西或玩玩具时有困难吗?
体重减轻——你的猫的体重是否有显著而突然的下降?
松动的牙齿-你的猫的牙齿是松动还是脱落?
口腔出血——你的猫是否有明显的口腔出血?
首先,进行体格检查
FOSCC可出现于舌下区、唇、上颌骨或下颌骨(下图1,2),表现为局部侵袭性,具有广泛的组织侵犯,包括邻近骨的侵犯。

1

2
在牙科检查和清洁过程中可能会偶然发现肿块(图3,4)。在进行牙科评估时,如果存在严重的牙病或牙齿移动的病灶区域,或者在牙科活组织检查后仍存在不愈合的病变,应怀疑存在潜在的瘤变。

3

左下下颌细微病变(白色箭头)被确诊为鳞状细胞癌(A和B)。牙科x线照片显示下颌骨广泛溶解(黑色箭头)

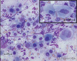
鳞状细胞癌的细胞学特征。注意背景中的炎症细胞和血管。插图提供了一个恶性鳞状细胞的近距离视图。(Wright-Giemsa stain;放大,600×)。
位于背侧的肿瘤可能更容易被主人发现,从而更早发现并可能更有效的治疗。由于淋巴管和血管的密度增加,位于口腔尾部的肿瘤可能增加转移的风险。
是否发生转移
转移通常被认为是罕见的;然而,最近一项通过三视图胸片和下颌淋巴结抽吸评估的49只猫的研究发现,分别有10%和31%的患者有转移。
猫口腔鳞状细胞癌分期
评估转移的分期试验可在原发肿块活检时进行,包括:
对下颌淋巴结进行细针穿刺(最好是同侧和对侧淋巴结,因为口腔淋巴引流并不是严格的单侧)
胸片拍摄
即使在触诊或计算机断层扫描(CT)中淋巴结显示正常,也应进行抽吸,因为对其他头颈部癌症的研究显示,淋巴结大小与是否存在转移性疾病之间存在差异。
在老年患者中,一般健康筛查的最低数据库——CBC、血清生化特征和尿路分析——是可取的。患有FOSCC的猫很少会出现高钙血症。
头盖骨造影可以进行,但受到组织重叠和需要大量镇静或麻醉的限制。
CT可以提供更多信息,因为它可以显示疾病的程度,用于治疗计划(手术或放射治疗)(图7)。建议在CT检查中包括胸部,以评估可能的肺转移性疾病。
最重要的是,如果放射治疗是一个治疗的考虑,CT扫描应该在相同的设施进行治疗,因为可能需要CT辐射规划和设置。

计算机断层扫描的猫与增殖性右上颌肿块,组织学证实为猫口腔鳞状细胞癌。
诊断
有口腔肿块或疑似有口腔肿块的猫,须在镇静下检查,以获得质量的大小和位置的最佳估计以及评估骨侵犯和可能延伸到淋巴管,包括扁桃体。
活组织检查
穿刺活检可在与口腔检查相同的镇静下完成,尽管并发症,包括颌骨骨折、伤口延迟愈合或继发性感染,可能是由于肿瘤的脆性和坏死性。不应从病灶中心取样,因为那里最有可能出现坏死,因为组织病理学结果可能模糊不清。
细胞学的评估
从细胞学上看,鳞状细胞癌典型表现为圆形或不规则形状的鳞状细胞,单个或成小簇出现。
恶性鳞状细胞与正常鳞状上皮的区别在于细胞核的保留以及更明显的不等核增生和不等核化。
炎症细胞可能存在,也可能不存在。在严重炎症的情况下,正常的鳞状细胞可能会发生与肿瘤相似的异常变化,这是推荐活检的原因之一。
治疗
外科手术治疗
手术被认为是大多数局部癌症的一线治疗,包括FOSCC。
FOSCC的手术治疗面临许多挑战,包括经常发生的舌下定位、骨侵蚀、晚期发现和晚期肿瘤。考虑到猫头骨的体积和解剖结构,外科手术切除以获得足够的手术边缘,甚至切除严重的疾病通常是有限的。此外,不像狗,猫往往不能忍受侵略性口腔手术没有显着发病率。
在文献中,一项研究评估了接受下颌骨切除术治疗口腔肿瘤的猫,其中21只被诊断为SCC:72%的患者术后出现吞咽困难或食欲不振,12%的人再也无法恢复进食能力,41%需要放置肠(食道)饲管。急性组总的并发症发生率为98%,而78%的猫有长期的副作用;并发症包括舌头突出、流涎、下颌移位,以及前面提到的吞咽困难和食欲不振。
尽管存在这些风险,83%的宠主对结果感到满意,并表示他们将再次进行下颌切除术。在这项研究中,与其他肿瘤类型的猫相比,患有FOSCC的猫的平均生存时间较低(217天,而患有纤维肉瘤或牙源性肿瘤的猫的中位生存时间较低)。
其他研究也报道了类似的结果和并发症发生率。在这些报告中,仅接受手术治疗的猫的平均生存期从1个月到10个月不等。据报道最长的生存期为14个月,是在一项评估手术和明确的放射治疗联合应用的研究中发现的。
术后放射治疗
术后放射治疗的作用是灭菌或减缓残余的微小疾病的生长,即使是切除最小的肿瘤后也常常会留下。不幸的是,FOSCC在诊断时往往是局部进展的;因此,对大多数受感染的猫来说,手术并不是一个可行的选择。
当由于解剖限制或宠主偏好而不进行手术时,通常可以考虑放射治疗。
一般而言,放射治疗可用于明确(治疗性)或姑息性的癌症治疗:
明确的治疗方案包括2至4周的每射放疗
姑息治疗疗程较短,治疗次数较少。
姑息性放射治疗的主要目标是减轻与肿瘤相关的疼痛和临床症状,而不是最大限度地杀灭癌细胞。疾病消退或延长患者生存期并不一定是预期的,尽管减轻临床症状和不适本身可能导致生存时间延长。
放射性治疗的副作用
在明确目的的放射治疗中,早期放射治疗的副作用,如粘膜炎和湿润脱皮更为普遍,而晚期放射治疗的副作用,如纤维化、骨坏死(骨放射坏死)和白内障则比较少见。
姑息性放疗早期副作用发生率低,符合姑息性放疗的治疗目标。虽然在这种情况下,晚期副作用的风险可能会增加,但这些并发症通常会发生在患者预期生存期之外。
明确性治疗:
由于大多数肿瘤合并缺氧和坏死,SCC被认为是相对耐辐射的,对辐射的反应性较低。此外,在放射治疗之间,细胞快速增殖/再生已被注意到,导致较差的长期肿瘤控制。
已经研究了各种确定的方案,包括加速辐射传输,但尽管试图优化辐射计划,确定辐射未能获得显著的生存益处。鉴于FOSCC的侵袭性和对最终辐射的不良反应,大多数猫的放射治疗的重点往往集中在减轻疼痛上。
姑息治疗:几种不同的姑息性或低分割辐射方案已在兽医文献中进行了评估。大多数报告显示,猫的平均生存时间为2到4个月,大约50%的猫经历了疼痛。
在一个兽医放射性治疗机构,典型的姑息治疗方案包括分4次8gray,每周一次,总辐射剂量为32gray。1周的间隔可以使口腔粘膜和外部皮肤愈合,减少早期的副作用。在一项研究中,对54只采用类似低分割方案的猫进行了评估,总体平均生存时间为113天。化疗并没有改善临床结果。另一种姑息性方案是在1周内使用5次4个gray(周一至周五共20个gray)进行评估,FOSCC猫的总体反应率为54.5%。平均生存期无进展和生存期较短(分别为1.8个月和3个月)
在较小的、不可切除的SCC病变(小于2厘米)中,更积极的放疗方案(10次4.8gray(48灰度总计),周一至周五连续2周,与放疗后的最佳临床结果相关。22只猫:该方案的总平均生存时间为174天。T1病变的猫(n = 4)平均生存时间为590天。所有的猫都经历了继发于放疗的2级口腔粘膜炎(定义为表面无疼痛的斑片状粘膜炎),经口服抗生素和止痛药有效治疗。
所有患者均预防性使用食道饲管,以处理早期辐射的副作用。
对于大多数患有FOSCC的猫来说,姑息性放疗是一种逻辑上可行的治疗方法,副作用最小。不幸的是,只有大约一半的病人获得了临床效果,而对大多数反应良好的动物来说,这种效果是短暂的。
化疗
FOSCC被认为对传统的细胞毒性化疗药物有耐药性。这些肿瘤的高水平坏死限制了化疗向癌细胞的传递,并导致化疗耐药性增加。因为每次化疗只杀死一小部分活跃分裂的癌细胞,所以大多数患者体内存在巨大的肿瘤意味着化疗的效果可能微乎其微。各种静脉或局部给药的化疗药物,包括bleomycin, carboplatin, doxorubicin, gemcitabine, mitoxantrone都已被使用,但效果甚微。
酪氨酸激酶*制剂抑**:磷酸托塞拉尼布(Palladia, zoetisus.com)是一种小分子*制剂抑**,以酪氨酸激酶受体为靶点,包括C-kit、血管内皮生长因子受体、血小板衍生生长因子受体和Flt-3。酪氨酸激酶受体是跨膜受体,控制下游细胞功能,如复制、生长、分化和血管生成。虽然该药物最初用于治疗犬肥大细胞肿瘤,但包括口腔鳞状细胞癌在内的多种犬、猫实体肿瘤的抗肿瘤活性已通过超说明书使用得到证实。
厌食症是最常见的不良事件,70%的猫都会出现。大多数的厌食症发作是短暂的和温和的,不需要医疗干预。其他报告的不良事件包括无溴低级别中性粒细胞减少症;肝酶升高;和进步的氮血症。
非甾体抗炎药
环氧化酶-1和-2 (COX-1和-2)已被证实在FOSCC中上调。在瘤变中,COX的上调可导致细胞增殖、生长、侵袭和血管生成的增加。因此,使用cox抑制的抗炎药物可能对患有SCC的猫有一些有益的影响,包括:缓解疼痛,减少与肿瘤相关的炎症和水肿,潜在的抗癌作用,如疾病反应或稳定。
虽然在一项研究中,非甾体抗炎药的使用与死亡危险比降低2倍相关,但还没有研究评估FOSCC单独对非甾体抗炎药的反应。临床经验表明,虽然非甾体类抗炎药对部分FOSCC猫有短暂的姑息作用,但未观察到明显的肿瘤反应。
目前,美洛昔康是美国唯一获准用于猫的非甾体类抗炎药,且仅用于围手术期疼痛一次注射(0.3 mg/kg)。
其他药物
其他口服药物可以用来增加病人的舒适度和控制疾病的临床症状。
猫最常用和有效的口服止痛药是丁丙诺啡。这种合成的阿片类药物起部分mu激动剂的作用。它对猫特别有益,因为它可以通过粘膜被给予和完全吸收。
口服抗生素可能有助于治疗继发于正常口腔菌群的肿瘤组织感染,这可能导致临床症状增加,并常常被误认为疾病进展。一般情况下,建议使用抗生素,如强力霉素、阿莫西林/克拉维酸钾、克林霉素等。
营养支持:随着肿瘤的进展和体积的增大,猫可能会出现进行性厌食症和吞咽困难,原因可能是难以理解、不适或两者兼而有之。如前所述,放疗后继发的粘膜炎也可能导致这些副作用。喂食管有时被认为是支持猫与FOSCC。在我们看来,饲管应该只考虑短期使用,以管理治疗的副作用。由口腔肿瘤引起的进食困难表明该疾病对患者的生活质量有负面影响。整体预后不良,缺乏有效的治疗方案,此时应考虑人道安乐死。
预后
尽管有放疗、化疗和磷酸托塞拉尼布等治疗方案,但FOSCC的预后仍然很差。大多数猫患有晚期(T2或更严重)、不可切除的局部疾病,治疗通常无效或与短暂的肿瘤反应相关。平均生存时间从2个月到5个月不等。患有小肿瘤的猫,尤其是那些位于下颌骨吻侧、可以手术切除的猫,可能会有更好的预后。在这种情况下,辅助明确放疗可能延缓肿瘤复发。
随着新的治疗方法的出现,多模式治疗,包括局部治疗、化疗和药物治疗的组合,可能会证明对这种一致侵袭性疾病是有益的,应该在未来的研究中进行评估。