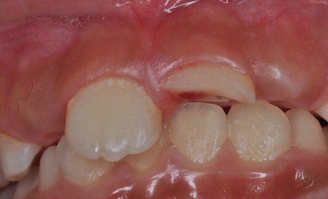
8岁小男孩,跟同学玩耍跌倒致左上中切牙折断8小时,查:左上中切牙折断漏髓,根尖X光片无异常,麻醉下行活髓切断,MTA盖髓,流体树脂封闭

橡皮障下MTA盖髓,流体树脂封闭

断牙消毒处理

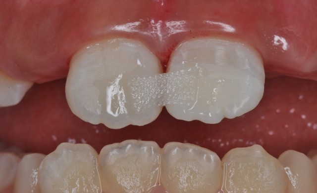
显微镜下复位对接

去除粘接剂

超强纤维临时加固

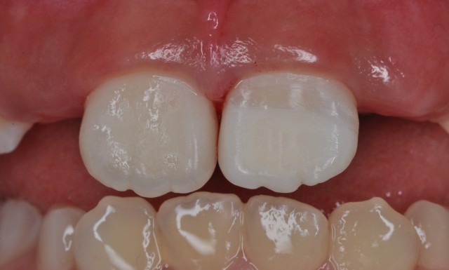
一周后拆除超强纤维唇面效果无对明显对接线

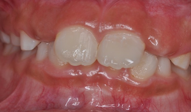
颚侧面效果无明显对接线

成功关键在于,无菌操作、隔湿、微创处理、显微镜下对接每一步都非常关键,每一步都非常严谨,细节决定成败!医者的喜悦源于每一次病例的完美成功!
8岁小男孩,跟同学玩耍跌倒致左上中切牙折断8小时,查:左上中切牙折断漏髓,根尖X光片无异常,麻醉下行活髓切断,MTA盖髓,流体树脂封闭

橡皮障下MTA盖髓,流体树脂封闭

断牙消毒处理

显微镜下复位对接

去除粘接剂

超强纤维临时加固

一周后拆除超强纤维唇面效果无对明显对接线

颚侧面效果无明显对接线

成功关键在于,无菌操作、隔湿、微创处理、显微镜下对接每一步都非常关键,每一步都非常严谨,细节决定成败!医者的喜悦源于每一次病例的完美成功!