作者:宁波一院 宗建平
病例由北京安贞医院提供
这是发生在北京安贞医院急诊室的一个案例,非常值得分享,或许你还没有遇到过,一旦遇到,如果没有经历过或付出过血的教训,极有可能会漏诊。
本期要介绍的病例,是一位年轻女性,患了三个致命疾病,没有想到背后还暗藏另一“杀手”。
病情及诊疗经过如下。
患者,女性,39 岁,是一个有四个孩子的母亲。四天前,患者感到颈肩部疼痛,就到附近私人诊所针刺治疗。诊所医师用针从下腹部的中线一直往上刺,当刺到胸部及心前区时,突然出现胸部剧烈刺痛,随即出现意识丧失,尿便*禁失**,约30秒后清醒。醒后有明显胸闷、憋气,头晕、黑矇,恶心、呕吐。急送到当地医院就诊,发现血压很低(60 /40 mm Hg),考虑“休克”,给右下肢深静脉置管,立即给予液体复苏及升压等治疗(多巴胺、去甲肾上腺素等),血压很快回升至正常。但不久发现右下肢股静脉插管处肿胀,超声做了超声检查,提示右下肢深静脉有血栓形成,并且发现右房内疑似条索状强回声( 血栓可能性大) ,心包积液( 中量) ,考虑“肺栓塞”。紧急转到北京安贞医院。
到了安贞医院急诊后,接诊医师进行了认真地评估:
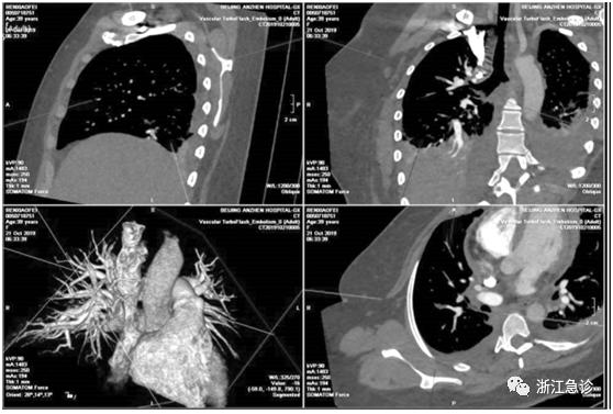
患者意识清,血压正常(110 /65mm Hg),心率快(110 次/min),双下肺呼吸音减低,心音弱,心律齐,双下肢不肿。C-反应蛋白轻度升高(36.24mg /L);血常规:白细胞计数基本正常( 白细胞计数 10.39 × 109 /L,中性粒细胞计数77.4%),轻度贫血(红细胞计数3.47 × 1012 /L,血红蛋白108 g /L,血小板计数119 × 109 /L)。血中D-二聚体明显升高(5410 ng /mL),反映心肌损伤和心衰的指标均正常(肌钙蛋白0.31 ng /mL,B-型钠尿肽30pg/mL)。在吸氧条件下血气分析显示氧分压偏低(PaO2 87.8mmHg)。超声心动图提示:少量心包积液( 左室后壁积液深6 mm,左室心尖积液深6 mm,右房顶积液深5 mm)。下肢静脉多普勒超声提示: 右侧股总静脉( 留置深静脉导管侧) 附壁血栓。心电图可见QⅢTⅢ,考虑急性肺栓塞( 见图3)。胸部CT 提示: 心包积液,密度偏高;双侧胸腔积液、双肺下叶、左肺舌叶实变、部分膨胀不全? ;左侧气胸( 见图1)。CT 肺动脉造影提示肺栓塞,累及右上肺动脉前段分支( 见图2) 。
这是一例因针刺治疗引起的心包积液、气胸及胸腔出血,后因抢救需要,深静脉置管后,右股总静脉出现血栓,血栓脱落又造成肺栓塞。
这一连串疾病,个个都是要命的!
这是一个四个孩子的妈妈(既往患者体健,无慢性疾病史。月经生育史: 末次月经2019 年10 月12 日,孕3 产4,剖宫产手术3 次,其中一次为双胎,无流产史,宫内节育器避孕。),没有想到一下就患上这些致命的疾病,家人庆幸及时转到了安贞医院,疾病得以明确诊断。
诊断明确了,但医师心情仍然非常沉重,要知道心包出血会随时要了患者命,但肺栓塞又要抗凝治疗,前者要止血,后者要抗凝,治疗上出现了矛盾,这时医师就像钢丝上的舞者,处理稍不慎,后果难以想象。殊不知,还有一个非常危险的疾病,在慢慢走来。
至此,你能猜得出那潜伏在背后的是什么疾病?

左侧气胸(2019 年10 月21 日)

胸部CT: 肺栓塞累及右上肺动脉前段分支(2019 年10 月21 日)

CTPA注: 提示QⅢTⅢ

患者2019 年10 月22 日心电图
入院后,患者生命体征稳定(体温36.4 ℃,脉搏 91 次/分,呼吸15 次/min,BP 110 /65 mm Hg),意识清,口唇无发绀;双肺呼吸运动对称,下肺呼吸音减低;心尖波动正常,心浊音界大致正常,心率91 次/分,心律齐,各瓣膜听诊区未及杂音;腹软,无包块、压痛及反跳痛,肝脾未触及。双下肢不肿。入院诊断初步考虑: 急性肺栓塞( 中低危) ,股静脉血栓成,心包积液,胸腔积液( 双侧) ,气胸( 左侧) 。用依诺肝素钠0.6 mL( 2 次/d) 皮下注射。经治疗后,血D -二聚体有下降趋势( 687 ng /mL) 。复查超声心动图( 入院第3 天) 心包积液量增加为中量,左室后壁积液深由6 mm 增至12 mm,左室心尖积液深由6 mm 增至11 mm,考虑到心包出血增加可能,被迫停用依诺肝素钠抗凝,但医师又怕肺栓塞加重,好在停用抗凝药物第3 天,复查超声心动图示,心包积液量逐渐减少( 左室后壁积液深8 mm,右房顶积液深4 mm);监测D- 二聚体无明显升高趋势。入院后行肺栓塞求因的相关实验室检查结果,没有发现明显异常,各种肿瘤标记物正常。
一切都在顺利康复之中,但那个背后“杀手”还没有完全露出真面目。
入院第二天,米玉红主任查房发现,患者月经至第11天还没有完全停止,问一线医生“颈肩痛与肺栓塞有什么关系?”,立即感受到了可能存在另一个危险的疾病——宫外孕可能。很多在场的医师心里存在疑问,为什么颈肩痛是宫外孕的一种表现?
经过检查,发现β-人绒毛膜促性腺激素明显升高(540 mIU/mL非妊娠期< 1 mIU/mL) ,隔天复查β - 人绒毛膜促性腺激素,迅速上升至5826.26 mIU/mL ( 月经第19 天);同时检查子宫附件彩色多普勒超声检查( 入院第2 天) 提示,宫内节育器位置正常,盆腔少量积液,子宫直肠窝见液性暗区( 深约0.9 cm) ; 入院第8 天经阴道子宫附件彩色多普勒超声检查提示,功能节育器位置正常,左附件区多发囊状结构伴分隔,最大囊2.8 cm × 2.9 cm ×2.9cm。考虑“宫外孕”。转入妇产科病房行手术。手术结果证实患者除了气胸、心包积液和肺栓塞外,还隐藏着另一个危险的疾病——宫外孕。
四种致命的疾病先后同时出现在这位年轻女性身上。想想真是后怕,治疗中如果没有考虑心包出血增加,没有及时停用肝素,或用长效抗凝药(华法林)治疗,不但可能出现心包大量出血,造成心包填塞,出现意外,还极有可能加速宫外孕的破裂,引起大出血,造成手术困难,后果不堪想象。
“好可怕、好危险,真的太危险了”事后米玉红教授感叹道。
我由衷感到,安贞医院急诊科好样的,米教授好样的!
但读者一定会问:米主任为什么因颈肩疼痛会想到宫外孕可能呢?这不但需要头脑里的知识,还需要心灵的知识(The knowing of the mind),需要感悟。
临床医学诠释
一、宫外孕患者以两肩部疼痛为表现来医院就诊的确是少见,极易造成误诊。
曾经有一位急诊高年制女医师,自己也曾遇到过这类病例。有一天晚上感到颈肩疼痛,没有注意,自己服了止痛药,没有想到,到后半夜出现休克,结果是宫外孕惹的,紧急手术,术中发现腹腔出血三千多,差点走上不归路。
我还遇到类似病例三例,但都是男性的,也都是双肩疼痛来院,平卧时加重,当然不可能是宫外孕,仔细询问病史,没有什么特别,B超检查确诊为腹腔内出血,脾破裂所致,诊断明确后,在反复追问下,才想起发病前一周左右有左上腹轻度外伤史,最后得到了验证。
大家有的可能会问,腹腔内出血为什么会表现颈肩疼痛?大家学过解剖,知道膈肌的外周部位是胸十一,十二神经支配,所以胸部疾病(肺底的疾病)会表现为腹痛,腹部疾病同样有时候恰恰表现胸痛,前二种情况是因为膈肌外周部位受到刺激;膈的中心部位由膈神经支配,膈神经来源于颈三、四神经,颈三~四神经放射部位正好是肩部,所以就不难理解,当腹腔出血时,平卧时血液易流向膈部,刺激膈肌的中心部位就表现为肩部疼痛;有时膈肌相应部位有炎症时,同样也会出现肩痛,当然后者与体位无关。
问题是当肩部有疼痛时会不会想到腹部疾病或腹部有少量出血吗?腹部疼痛会想到胸部疾病或胸痛会想到腹部病变吗?公众是怎么想的?医生不是神,有时真的很难很难!
二、本例病例是先出现颈肩疼痛,事后推断,患者当时可能处在宫外孕早期,当时只有少量出血,仅表现为颈肩痛,很难会考虑到宫外孕,结果针刺治疗时发生的心包出血、气胸及肺栓塞所掩盖,米教授能及时考虑到宫外孕难能可贵,值得称赞。好在宫外孕发展缓慢,如果当时宫外孕破裂相继出现大出血,但还没有表现明显贫血前,休克仅用肺栓塞解释,用了较多的抗凝药或溶栓药,那后果是不敢想象的,四个孩子有可能成为没有母亲的孩子。
三、临床医学是一种科学,但不像物理化学那样是一种“精准”的科学,类似于气象学,不可能做到预报100%的精准,因为这是每个患者的唯一性所决定的,不能完全用所谓的科学方*论法**来证实的,临床医学的偏差是难以避免的,所以临床医学必须建立临床医学诠释学,不能出现意外都是医师的错,这需要我们深入思考的。
本文首发于“浙江急诊”,医师报已获授权发布!