
支原体肺炎的治疗规范
基于今年儿童呼吸道疾病中发病率最高的小儿支原体肺炎, 上一篇我已经系统的将此病的发病原理、临床症状特征、诊断方法等详细的给家长介绍了,但是,随着后期家长在家庭治疗中,用药、护理、预后存在问题越来越突出,也有许多误区,在这里我们再给家长做解释。
孩子患了支原体肺炎,什么时候需要住院呢?
普通、轻型的咳嗽、发热,而且孩子精神状态比较好的情况下,在确定了支原体肺炎诊断时,会嘱咐家长在家悉心护理、规范用药治疗。但是如果是典型或重症支原体肺炎,是需要住院治疗的,这就需要家长了解孩子的病情轻重缓急,及时去医院住院治疗。

肺炎支原体肺炎住院指征
1、精神及一般情况改变:老话说,孩子不会装病,一般孩子精神萎靡、哭闹、烦躁、甚至激惹,不吃、不睡及少活动,尿少、盗汗等全身表现。
2、呼吸急促或呼吸困难: 所谓呼吸急促即 平均呼吸频率(RR)≥40次/分钟 ,可以称呼吸急促;具体按年(月)龄依次为:<2 个月龄>60次/分钟;2~12 月龄 ≥ 50 次/分钟;1~5 岁≥ 40 次/分钟;>5 岁 ≥ 30 次/分钟。如果5 岁以下的孩子呼吸频率增快则提示可能是肺炎,而且年龄越小,患肺炎就比较严重。

吸气性三凹征
呼吸困难, 如果孩子出现呼吸时鼻翼扇动、呼吸性*吟呻**、呼吸三凹征,即 锁骨上窝、肋间隙及胸骨下窝出现吸气性凹陷征 。
3、缺氧表现: 一般孩子出现呼吸困难时,由于呼吸道阻塞、气体交换障碍,容易出现缺氧表现如发现孩子口周或全身皮肤青紫发绀。

重症支原体肺炎症状、体征的比较
总而言之,当孩子出现以上的表现,尤其精神状态差、尿少,呼吸急促或呼吸困难,或口周发绀的现象,这是负荷住院的标准,而不适宜在家里观察用药治疗,必须住院治疗。
为什么肺炎支原体血清IgM 抗体检测经常显示阴性?

支原体检验
√ 血清IgM 抗体检测受多种因素影响,如年龄、发病时间及当时孩子的免疫功能影响;
年龄: 婴幼儿免疫识别及免疫调节能力比较差,因此,即使支原体感染,血清抗体生成也是非常不足的,抗体检测阳性率往往很低;
发病时间: 机体产生抗原后,刺激免疫产生免疫应答,形成抗体是需要经过一段时间的,而 支原体血清抗体IgM 一般发病 1 周左右 才开始上升,因此,发病早期病程<1 周的孩子,支原体-IgM 抗体因时间差,阳性检出率低,容易漏诊和误诊;
免疫功能: 年龄越小的孩子免疫反应越低,支原体-IgM 抗体阳性率越低,而且,特异性抗体的检出尚需一段时间,一般病程初期,临床医生是不会以支原体血清 IgM 抗体是作为早期诊断的依据。
那么,医生是怎么诊断支原体肺炎的?

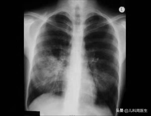
小儿支原体肺炎胸片改变
医生当然不会拿这种非特异性检查作为诊断依据的,一般是通过询问病史、了解临床特征来初步判断,比如咳嗽持续2~3周、且进行性加重;一般抗生素治疗均无效,临床咳嗽剧烈而肺部往往听不到啰音。然而,要诊断支原体肺炎就要依据胸片+病原学检测。
上篇文章中已经详细介绍了肺炎支原体的诊断标准:肺炎支原体来袭又怎样?识别、用药、预后全了,家长需做对这几点。 然而,利用实验室检测能早期、准确诊断支原体肺炎:
1)血清学检测:可以通过核酸检测(RNA、DNA高通量测序)及联合血清抗原-抗体(IgG、IgM)检测综合判断的。

支原体-SAT技术
2)支原体-SAT技术: 随着临床检测技术的不断发展,第三届中华儿科临床检验利用支原体-SAT技术(扩增检测 ): 更加有利于 早期诊断,与上述血清学方法结合具有互补作用,诊断更及时、准确。
阿奇霉素应用为什么与其他抗生素不同,需要用3天停4天?

服3停4
阿奇霉素属于大环内酯类抗菌药物,至今依然是肺炎支原体肺炎的首先药物,一般用法是10mg (kg/d) ,轻症的孩子口服阿奇霉素10mg/Kg,1天1次,连服3天,停4天,或首剂10mg/Kg,次日改5mg/Kg,1天1次,总共为5天,也是停4天,疗程2~3周。
1、药物持续时间长:由于阿奇霉素到达组织和血液中衰减缓慢,血液35~48小时、组织半衰期 >60小时;药物持续时间长,服药3天后,长达4天才从肾脏排泄完毕;这就是阿奇霉素应用的特点。 2、组织浓度高:大量临床数据显示,阿奇霉素在组织浓度高,尤其肺炎时肺内浓度是其他组织,浓度的数倍。服用阿奇霉素3~5天,停药至10天后,血清内仍有微量的药物浓度。因此,如果持续给药,对肝肾功能均有影响;因此,用3停4是阿奇霉素的合理用药原则。
一般给孩子应用阿奇霉素时,常见不合理现象有哪些?

不要联合应用抗菌药物
1、联合应用其他抗菌药物:根据《儿童肺炎支原体肺炎诊治专家共识(2019)》建议,轻型及不典型肺炎支原体肺炎,应该单用阿奇霉素制剂即可,没必要联合应用其他抗菌药物如用头孢类药物。 2、口服肠溶制剂(成人制剂):阿奇霉素肠溶片是按照成年人剂型制剂的,而孩子用药是 按照体重计算的,分开药物剂量是不准确的,因此,建议儿童服用颗粒剂为宜。 3、自行增加服药时间或剂量不准确:有些家长,担心口服3天、停4天,担心达不到应有的疗效,因此自行增加服药的时间,因此增加了用药不良反应的风险;或者虽然采用另一种方法,服5天停4天,但是这样剂量不准确,每公斤体重也未减量及5mg/Kg.天;这两种方法都是不足取的。
4、随意停药:有些家长担心药物不良反应,就随意停药,结果,不能肃清肺炎支原体,达不到应有的疗效,病情迁延时间更长。
在应用阿奇霉素后,何时可以停药?

阿奇霉素足量、足疗程
支原体肺炎,虽然孩子有持续的咳嗽,甚至有发热、咽痛、皮疹等症状,但是,我们在 整个疗程中, 一般为 2~3 周的时间。 一般,支原体肺炎应用阿奇霉素后停药, 应依据临床症状、胸片表现及化验炎性指标而决定。
但是, 如果是轻型或不典型支原体肺炎,症状缓解,疗程达到也可停药 ;因为,孩子 通过自身免疫识别、免疫锻炼,可以调动免疫系统发挥其免疫功能,有些孩子仅仅是携带肺炎支原体,不一定有咳嗽,这种情况,无需使用阿奇霉素或(红霉素)治疗。实际上,至今,阿奇霉素停药指征尚未有统一的标准。
综上所述:支原体肺炎的治疗首选大环内酯类抗菌药物,一般首选阿奇霉素,但是阿奇霉素用药也是有很多讲究,即足疗程、足量,一定要规范,不可滥用,不合理用药,也努克随意停药。否则会影响疗效,同时增加药物不良反应的风险。